• 文献检索
  • 文档翻译
  • 深度研究
  • 学术资讯
  • Suppr Zotero 插件Zotero 插件
  • 邀请有礼
  • 套餐&价格
  • 历史记录
应用&插件
Suppr Zotero 插件Zotero 插件浏览器插件Mac 客户端Windows 客户端微信小程序
定价
高级版会员购买积分包购买API积分包
服务
文献检索文档翻译深度研究API 文档MCP 服务
关于我们
关于 Suppr公司介绍联系我们用户协议隐私条款
关注我们

Suppr 超能文献

核心技术专利:CN118964589B侵权必究
粤ICP备2023148730 号-1Suppr @ 2026

文献检索

告别复杂PubMed语法,用中文像聊天一样搜索,搜遍4000万医学文献。AI智能推荐,让科研检索更轻松。

立即免费搜索

文件翻译

保留排版,准确专业,支持PDF/Word/PPT等文件格式,支持 12+语言互译。

免费翻译文档

深度研究

AI帮你快速写综述,25分钟生成高质量综述,智能提取关键信息,辅助科研写作。

立即免费体验

p53 免疫组化在 HPV 无关型外阴鳞状细胞癌及相关皮肤病变中的表现:779 例研究。

p53 Immunohistochemical Patterns in HPV-Independent Squamous Cell Carcinomas of the Vulva and the Associated Skin Lesions: A Study of 779 Cases.

机构信息

Department of Pathology, ISGlobal, Hospital Clínic-Universitat de Barcelona, 08036 Barcelona, Spain.

Unit of Infections and Cancer, Cancer Epidemiology Research Program, Catalan Institute of Oncology, IDIBELL, 08908 L'Hospitalet de Llobregat, Spain.

出版信息

Int J Mol Sci. 2020 Oct 29;21(21):8091. doi: 10.3390/ijms21218091.

DOI:10.3390/ijms21218091
PMID:33138328
原文链接:https://pmc.ncbi.nlm.nih.gov/articles/PMC7662853/
Abstract

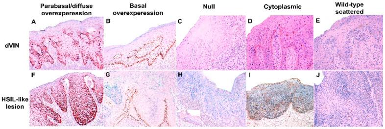
Human papillomavirus (HPV)-independent vulvar squamous cell carcinomas (VSCC) and its precursors frequently harbour mutations. Recently, six p53 immunohistochemical (IHC) patterns have been defined, which have shown strong correlation with mutation status. However, few studies have applied this new six-pattern framework and none of them exhaustively compared p53 IHC positivity and patterns between invasive VSCC and adjacent skin lesion. We performed p53 IHC in a series of 779 HPV-independent VSCC with adjacent skin and evaluated the IHC slides following the newly described classification. Some 74.1% invasive VSCC showed abnormal p53 IHC staining. A skin lesion was identified in 450 cases (57.8%), including 254 intraepithelial precursors and 196 inflammatory/reactive lesions. Two hundred and ten of 450 (47%) VSCC with associated skin lesions showed an abnormal p53 IHC stain, with an identical staining pattern between the VSCC and the adjacent skin lesion in 80% of the cases. A total of 144/450 (32%) VSCC showed wild-type p53 IHC both in the invasive VSCC and adjacent skin lesion. Finally, 96/450 (21%) VSCC showed p53 IHC abnormal staining in the invasive VSCC but a wild-type p53 staining in the skin lesion. Most of the discordant cases (70/96; 73%) showed adjacent inflammatory lesions. In conclusion, the p53 IHC staining and pattern are usually identical in the VSCC and the intraepithelial precursor.

摘要

人乳头瘤病毒(HPV)非依赖性外阴鳞状细胞癌(VSCC)及其前体通常存在 突变。最近,已经定义了六种 p53 免疫组织化学(IHC)模式,这些模式与 突变状态具有很强的相关性。然而,很少有研究应用这种新的六模式框架,也没有研究穷尽地比较浸润性 VSCC 与相邻皮肤病变之间的 p53 IHC 阳性率和模式。我们对 779 例 HPV 非依赖性 VSCC 及其相邻皮肤进行了 p53 IHC 检测,并按照新描述的分类对 IHC 切片进行了评估。一些 74.1%的浸润性 VSCC 显示出异常的 p53 IHC 染色。在 450 例病例中发现了皮肤病变(57.8%),包括 254 例上皮内前体和 196 例炎症/反应性病变。在 450 例 VSCC 中,有 210 例(47%)伴有皮肤病变显示异常的 p53 IHC 染色,其中 80%的病例 VSCC 与相邻皮肤病变具有相同的染色模式。在 450 例 VSCC 中,共有 144 例(32%)显示出侵袭性 VSCC 和相邻皮肤病变中 p53 IHC 野生型。最后,96 例(21%)VSCC 在侵袭性 VSCC 中显示 p53 IHC 异常染色,但在皮肤病变中显示 p53 IHC 野生型。大多数不一致的病例(70/96;73%)显示为相邻的炎症性病变。总之,VSCC 与上皮内前体中的 p53 IHC 染色和模式通常是一致的。

https://cdn.ncbi.nlm.nih.gov/pmc/blobs/2d47/7662853/7c2d4acb70f7/ijms-21-08091-g004.jpg
https://cdn.ncbi.nlm.nih.gov/pmc/blobs/2d47/7662853/67b41ebad065/ijms-21-08091-g001.jpg
https://cdn.ncbi.nlm.nih.gov/pmc/blobs/2d47/7662853/08d99c1a66ea/ijms-21-08091-g002.jpg
https://cdn.ncbi.nlm.nih.gov/pmc/blobs/2d47/7662853/49e5ba66fb6d/ijms-21-08091-g003.jpg
https://cdn.ncbi.nlm.nih.gov/pmc/blobs/2d47/7662853/7c2d4acb70f7/ijms-21-08091-g004.jpg
https://cdn.ncbi.nlm.nih.gov/pmc/blobs/2d47/7662853/67b41ebad065/ijms-21-08091-g001.jpg
https://cdn.ncbi.nlm.nih.gov/pmc/blobs/2d47/7662853/08d99c1a66ea/ijms-21-08091-g002.jpg
https://cdn.ncbi.nlm.nih.gov/pmc/blobs/2d47/7662853/49e5ba66fb6d/ijms-21-08091-g003.jpg
https://cdn.ncbi.nlm.nih.gov/pmc/blobs/2d47/7662853/7c2d4acb70f7/ijms-21-08091-g004.jpg

相似文献

1
p53 Immunohistochemical Patterns in HPV-Independent Squamous Cell Carcinomas of the Vulva and the Associated Skin Lesions: A Study of 779 Cases.p53 免疫组化在 HPV 无关型外阴鳞状细胞癌及相关皮肤病变中的表现:779 例研究。
Int J Mol Sci. 2020 Oct 29;21(21):8091. doi: 10.3390/ijms21218091.
2
Major p53 immunohistochemical patterns in in situ and invasive squamous cell carcinomas of the vulva and correlation with TP53 mutation status.外阴原位和浸润性鳞状细胞癌中 p53 的主要免疫组化模式及其与 TP53 基因突变状态的相关性。
Mod Pathol. 2020 Aug;33(8):1595-1605. doi: 10.1038/s41379-020-0524-1. Epub 2020 Mar 20.
3
Classification of Vulvar Squamous Cell Carcinoma and Precursor Lesions by p16 and p53 Immunohistochemistry: Considerations, Caveats, and an Algorithmic Approach.p16 和 p53 免疫组化在鉴别外阴鳞癌及癌前病变中的应用:注意事项、局限性及算法策略。
Mod Pathol. 2023 Jun;36(6):100145. doi: 10.1016/j.modpat.2023.100145. Epub 2023 Feb 22.
4
p53 Immunohistochemical patterns in HPV-related neoplasms of the female lower genital tract can be mistaken for TP53 null or missense mutational patterns.女性下生殖道 HPV 相关肿瘤中的 p53 免疫组化模式可能与 TP53 缺失或错义突变模式相混淆。
Mod Pathol. 2020 Sep;33(9):1649-1659. doi: 10.1038/s41379-020-0527-y. Epub 2020 Apr 1.
5
p53-Abnormal "Fields of Dysplasia" in Human Papillomavirus-Independent Vulvar Squamous Cell Carcinoma Impacts Margins and Recurrence Risk.p53 异常“发育不良区”在人乳头瘤病毒无关型外阴鳞癌中的作用:影响切缘和复发风险。
Mod Pathol. 2023 Feb;36(2):100010. doi: 10.1016/j.modpat.2022.100010. Epub 2023 Jan 9.
6
Molecular characterization of invasive and in situ squamous neoplasia of the vulva and implications for morphologic diagnosis and outcome.外阴浸润性和原位鳞状上皮肿瘤的分子特征及其对形态学诊断和预后的影响。
Mod Pathol. 2021 Feb;34(2):508-518. doi: 10.1038/s41379-020-00651-3. Epub 2020 Aug 13.
7
Immunohistochemical analysis of p53 in vulval intraepithelial neoplasia and vulval squamous cell carcinoma.外阴上皮内瘤变和外阴鳞状细胞癌中p53的免疫组织化学分析
Br J Cancer. 2003 Jan 27;88(2):251-6. doi: 10.1038/sj.bjc.6600677.
8
Differentiated Vulvar Intraepithelial Neoplasia-like and Lichen Sclerosus-like Lesions in HPV-associated Squamous Cell Carcinomas of the Vulva.外阴 HPV 相关鳞状细胞癌中分化的外阴上皮内瘤样病变样和硬化性苔藓样病变。
Am J Surg Pathol. 2018 Jun;42(6):828-835. doi: 10.1097/PAS.0000000000001047.
9
p16 Immunostaining Allows for Accurate Subclassification of Vulvar Squamous Cell Carcinoma Into HPV-Associated and HPV-Independent Cases.p16免疫染色有助于将外阴鳞状细胞癌准确地细分为人乳头瘤病毒(HPV)相关病例和HPV非相关病例。
Int J Gynecol Pathol. 2016 Jul;35(4):385-93. doi: 10.1097/PGP.0000000000000263.
10
Performance of the pattern-based interpretation of p53 immunohistochemistry as a surrogate for TP53 mutations in vulvar squamous cell carcinoma.p53 免疫组化模式解读作为外阴鳞癌 TP53 突变替代指标的性能。
Histopathology. 2020 Jul;77(1):92-99. doi: 10.1111/his.14109. Epub 2020 Jun 7.

引用本文的文献

1
Confusing Histopathological Features and HPV Testing Results in Vulvar Squamous Cell Carcinoma Arising in a Young Woman: A Case Solved Using Next-Generation Sequencing.年轻女性外阴鳞状细胞癌中令人困惑的组织病理学特征与HPV检测结果:一例通过二代测序解决的病例
Int J Gynecol Pathol. 2025 Mar 1;44(2):120-124. doi: 10.1097/PGP.0000000000001047. Epub 2024 Jul 24.
2
Network pharmacology and molecular docking to explore the mechanism of a clinical proved recipe for external use of clearing heat and removing dampness in the treatment of immune-related cutaneous adverse events.网络药理学和分子对接探讨清热祛湿外用临床验方治疗免疫相关皮肤不良反应的作用机制。
Medicine (Baltimore). 2024 Mar 15;103(11):e37504. doi: 10.1097/MD.0000000000037504.
3

本文引用的文献

1
Vulvar cancer subclassification by HPV and p53 status results in three clinically distinct subtypes.HPV 和 p53 状态可对外阴癌进行分类,将其分为三种具有明显临床特征的亚型。
Gynecol Oncol. 2020 Dec;159(3):649-656. doi: 10.1016/j.ygyno.2020.09.024. Epub 2020 Sep 21.
2
Comparison of p53 immunohistochemical staining in differentiated vulvar intraepithelial neoplasia (dVIN) with that in inflammatory dermatoses and benign squamous lesions in the vulva.比较分化型外阴上皮内瘤变(dVIN)与外阴炎症性皮肤病和良性鳞状病变中 p53 免疫组化染色的差异。
Histopathology. 2021 Feb;78(3):424-433. doi: 10.1111/his.14238. Epub 2020 Oct 27.
3
P53 in Penile Squamous Cell Carcinoma: A Pattern-Based Immunohistochemical Framework with Molecular Correlation.阴茎鳞状细胞癌中的P53:一个基于模式且与分子相关的免疫组织化学框架
Cancers (Basel). 2023 May 11;15(10):2719. doi: 10.3390/cancers15102719.
4
p53 and PTEN expression evaluation with molecular evident recent criteria in laryngeal carcinoma.用分子学最新标准评估喉癌中的 p53 和 PTEN 表达。
Medicine (Baltimore). 2023 May 12;102(19):e33676. doi: 10.1097/MD.0000000000033676.
5
Penile Squamous Cell Carcinomas in Sub-Saharan Africa and Europe: Differential Etiopathogenesis.撒哈拉以南非洲和欧洲的阴茎鳞状细胞癌:不同的病因发病机制
Cancers (Basel). 2022 Oct 27;14(21):5284. doi: 10.3390/cancers14215284.
6
Insight Into Biological Targets and Molecular Mechanisms in the Treatment of Arsenic-Related Dermatitis With Vitamin A Integrated Approach.维生素A综合疗法治疗砷相关皮炎的生物学靶点及分子机制洞察
Front Nutr. 2022 May 23;9:847320. doi: 10.3389/fnut.2022.847320. eCollection 2022.
7
Integrin αvβ6 as a Target for Tumor-Specific Imaging of Vulvar Squamous Cell Carcinoma and Adjacent Premalignant Lesions.整合素αvβ6作为外阴鳞状细胞癌及相邻癌前病变肿瘤特异性成像的靶点
Cancers (Basel). 2021 Nov 29;13(23):6006. doi: 10.3390/cancers13236006.
8
Topical 5% Imiquimod Sequential to Surgery for HPV-Related Squamous Cell Carcinoma of the Lip.手术切除联合 5%咪喹莫特局部治疗与 HPV 相关唇鳞状细胞癌。
Medicina (Kaunas). 2021 Jun 2;57(6):563. doi: 10.3390/medicina57060563.
9
Evaluation of Immunohistochemical Markers, CK17 and SOX2, as Adjuncts to p53 for the Diagnosis of Differentiated Vulvar Intraepithelial Neoplasia (dVIN).评估免疫组织化学标志物CK17和SOX2作为p53的辅助指标用于诊断分化型外阴上皮内瘤变(dVIN)。
Pharmaceuticals (Basel). 2021 Apr 2;14(4):324. doi: 10.3390/ph14040324.
10
Histological interpretation of differentiated vulvar intraepithelial neoplasia (dVIN) remains challenging-observations from a bi-national ring-study.分化型外阴上皮内瘤变(dVIN)的组织学解读仍然具有挑战性——一项跨国环研究的观察结果。
Virchows Arch. 2021 Aug;479(2):305-315. doi: 10.1007/s00428-021-03070-0. Epub 2021 Mar 8.
Molecular characterization of invasive and in situ squamous neoplasia of the vulva and implications for morphologic diagnosis and outcome.
外阴浸润性和原位鳞状上皮肿瘤的分子特征及其对形态学诊断和预后的影响。
Mod Pathol. 2021 Feb;34(2):508-518. doi: 10.1038/s41379-020-00651-3. Epub 2020 Aug 13.
4
Somatic Mutation Profiling in Premalignant Lesions of Vulvar Squamous Cell Carcinoma.外阴鳞状细胞癌癌前病变中的体细胞突变分析。
Int J Mol Sci. 2020 Jul 10;21(14):4880. doi: 10.3390/ijms21144880.
5
HPV-independent Precursors Mimicking High-grade Squamous Intraepithelial Lesions (HSIL) of the Vulva.HPV 非依赖性前体细胞模拟外阴高级别鳞状上皮内病变(HSIL)。
Am J Surg Pathol. 2020 Nov;44(11):1506-1514. doi: 10.1097/PAS.0000000000001540.
6
Genomic characterization of vulvar squamous cell carcinoma.外阴鳞状细胞癌的基因组特征分析。
Gynecol Oncol. 2020 Sep;158(3):547-554. doi: 10.1016/j.ygyno.2020.06.482. Epub 2020 Jun 24.
7
Differentiated exophytic vulvar intraepithelial lesion: Clinicopathologic and molecular analysis documenting its relationship with verrucous carcinoma of the vulva.分化型外阴上皮内赘生物:临床病理和分子分析证明其与外阴疣状癌的关系。
Mod Pathol. 2020 Oct;33(10):2011-2018. doi: 10.1038/s41379-020-0573-5. Epub 2020 May 19.
8
The Clinical Relevance of p16 and p53 Status in Patients with Squamous Cell Carcinoma of the Vulva.外阴鳞状细胞癌患者中p16和p53状态的临床相关性
J Oncol. 2020 Mar 24;2020:3739075. doi: 10.1155/2020/3739075. eCollection 2020.
9
p53 Immunohistochemical patterns in HPV-related neoplasms of the female lower genital tract can be mistaken for TP53 null or missense mutational patterns.女性下生殖道 HPV 相关肿瘤中的 p53 免疫组化模式可能与 TP53 缺失或错义突变模式相混淆。
Mod Pathol. 2020 Sep;33(9):1649-1659. doi: 10.1038/s41379-020-0527-y. Epub 2020 Apr 1.
10
Performance of the pattern-based interpretation of p53 immunohistochemistry as a surrogate for TP53 mutations in vulvar squamous cell carcinoma.p53 免疫组化模式解读作为外阴鳞癌 TP53 突变替代指标的性能。
Histopathology. 2020 Jul;77(1):92-99. doi: 10.1111/his.14109. Epub 2020 Jun 7.