• 文献检索
  • 文档翻译
  • 深度研究
  • 学术资讯
  • Suppr Zotero 插件Zotero 插件
  • 邀请有礼
  • 套餐&价格
  • 历史记录
应用&插件
Suppr Zotero 插件Zotero 插件浏览器插件Mac 客户端Windows 客户端微信小程序
定价
高级版会员购买积分包购买API积分包
服务
文献检索文档翻译深度研究API 文档MCP 服务
关于我们
关于 Suppr公司介绍联系我们用户协议隐私条款
关注我们

Suppr 超能文献

核心技术专利:CN118964589B侵权必究
粤ICP备2023148730 号-1Suppr @ 2026

文献检索

告别复杂PubMed语法,用中文像聊天一样搜索,搜遍4000万医学文献。AI智能推荐,让科研检索更轻松。

立即免费搜索

文件翻译

保留排版,准确专业,支持PDF/Word/PPT等文件格式,支持 12+语言互译。

免费翻译文档

深度研究

AI帮你快速写综述,25分钟生成高质量综述,智能提取关键信息,辅助科研写作。

立即免费体验

分化型外阴上皮内瘤变(dVIN)的组织学解读仍然具有挑战性——一项跨国环研究的观察结果。

Histological interpretation of differentiated vulvar intraepithelial neoplasia (dVIN) remains challenging-observations from a bi-national ring-study.

机构信息

Department of Pathology, Erasmus MC, University Medical Centre, Postbus 2040, Be-building, 3000CA, Rotterdam, The Netherlands.

Department of Pathology, Groene Hart Ziekenhuis, Gouda, The Netherlands.

出版信息

Virchows Arch. 2021 Aug;479(2):305-315. doi: 10.1007/s00428-021-03070-0. Epub 2021 Mar 8.

DOI:10.1007/s00428-021-03070-0
PMID:33682013
原文链接:https://pmc.ncbi.nlm.nih.gov/articles/PMC8364542/
Abstract

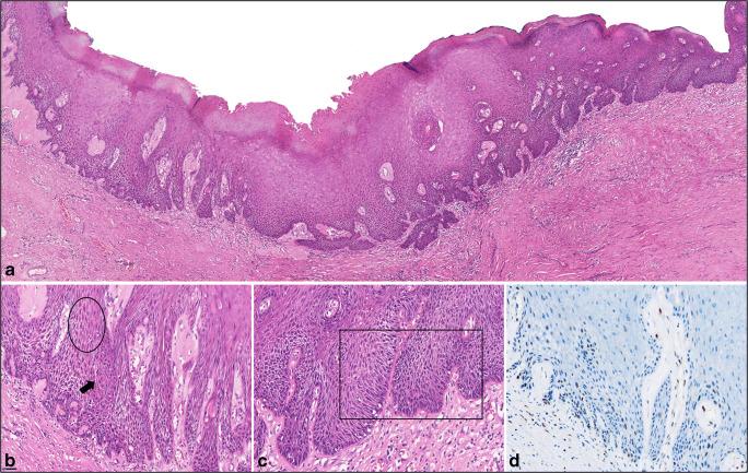
Differentiated vulvar intraepithelial neoplasia (dVIN) is a premalignant lesion that is known to progress rapidly to invasive carcinoma. Accurate histological diagnosis is therefore crucial to allow appropriate treatment. To identify reliable diagnostic features, we evaluated the inter-observer agreement in the histological assessment of dVIN, among a bi-national, multi-institutional group of pathologists. Two investigators from Erasmus MC selected 36 hematoxylin-eosin-stained glass slides of dVIN and no-dysplasia, and prepared a list of 15 histological features of dVIN. Nine participating pathologists (i) diagnosed each slide as dVIN or no-dysplasia, (ii) indicated which features they used for the diagnosis, and (iii) rated these features in terms of their diagnostic usefulness. Diagnoses rendered by > 50% participants were taken as the consensus (gold standard). p53-immunohistochemistry (IHC) was performed for all cases, and the expression patterns were correlated with the consensus diagnoses. Kappa (ĸ)-statistics were computed to measure inter-observer agreements, and concordance of the p53-IHC patterns with the consensus diagnoses. For the diagnosis of dVIN, overall agreement was moderate (ĸ = 0.42), and pair-wise agreements ranged from slight (ĸ = 0.10) to substantial (ĸ = 0.73). Based on the levels of agreement and ratings of usefulness, the most helpful diagnostic features were parakeratosis, cobblestone appearance, chromatin abnormality, angulated nuclei, atypia discernable under × 100, and altered cellular alignment. p53-IHC patterns showed substantial concordance (ĸ = 0.67) with the consensus diagnoses. Histological interpretation of dVIN remains challenging with suboptimal inter-observer agreement. We identified the histological features that may facilitate the diagnosis of dVIN. For cases with a histological suspicion of dVIN, consensus-based pathological evaluation may improve the reliability of the diagnosis.

摘要

分化型外阴上皮内瘤变(dVIN)是一种癌前病变,已知其会迅速进展为浸润性癌。因此,准确的组织学诊断对于提供适当的治疗至关重要。为了确定可靠的诊断特征,我们评估了一个跨国、多机构的病理学家小组在 dVIN 的组织学评估中的观察者间一致性。来自伊拉斯谟医学中心的两名研究人员选择了 36 张 dVIN 和无发育不良的苏木精-伊红染色玻片,并列出了 15 项 dVIN 的组织学特征。9 名参与的病理学家(i)将每张幻灯片诊断为 dVIN 或无发育不良,(ii)指出他们用于诊断的特征,以及(iii)根据其诊断有用性对这些特征进行评分。> 50%的参与者做出的诊断被视为共识(金标准)。对所有病例进行 p53-免疫组化(IHC)检测,并将表达模式与共识诊断相关联。计算 κ 统计量以测量观察者间的一致性,并评估 p53-IHC 模式与共识诊断的一致性。对于 dVIN 的诊断,总体一致性为中度(κ=0.42),并且两两一致性从轻微(κ=0.10)到显著(κ=0.73)不等。基于一致性水平和有用性评分,最有帮助的诊断特征是角化不良、鹅卵石样外观、染色质异常、角状核、在×100 下可识别的异型性和细胞排列改变。p53-IHC 模式与共识诊断具有显著的一致性(κ=0.67)。dVIN 的组织学解释仍然具有挑战性,观察者间一致性不佳。我们确定了可能有助于 dVIN 诊断的组织学特征。对于具有组织学怀疑为 dVIN 的病例,基于共识的病理评估可能会提高诊断的可靠性。

https://cdn.ncbi.nlm.nih.gov/pmc/blobs/5506/8364542/19dfadbf27b3/428_2021_3070_Fig5_HTML.jpg
https://cdn.ncbi.nlm.nih.gov/pmc/blobs/5506/8364542/e7042f98cdf7/428_2021_3070_Fig1_HTML.jpg
https://cdn.ncbi.nlm.nih.gov/pmc/blobs/5506/8364542/1706f3be4693/428_2021_3070_Fig2_HTML.jpg
https://cdn.ncbi.nlm.nih.gov/pmc/blobs/5506/8364542/3e816d14740b/428_2021_3070_Fig3_HTML.jpg
https://cdn.ncbi.nlm.nih.gov/pmc/blobs/5506/8364542/87e7f1ddae75/428_2021_3070_Fig4_HTML.jpg
https://cdn.ncbi.nlm.nih.gov/pmc/blobs/5506/8364542/19dfadbf27b3/428_2021_3070_Fig5_HTML.jpg
https://cdn.ncbi.nlm.nih.gov/pmc/blobs/5506/8364542/e7042f98cdf7/428_2021_3070_Fig1_HTML.jpg
https://cdn.ncbi.nlm.nih.gov/pmc/blobs/5506/8364542/1706f3be4693/428_2021_3070_Fig2_HTML.jpg
https://cdn.ncbi.nlm.nih.gov/pmc/blobs/5506/8364542/3e816d14740b/428_2021_3070_Fig3_HTML.jpg
https://cdn.ncbi.nlm.nih.gov/pmc/blobs/5506/8364542/87e7f1ddae75/428_2021_3070_Fig4_HTML.jpg
https://cdn.ncbi.nlm.nih.gov/pmc/blobs/5506/8364542/19dfadbf27b3/428_2021_3070_Fig5_HTML.jpg

相似文献

1
Histological interpretation of differentiated vulvar intraepithelial neoplasia (dVIN) remains challenging-observations from a bi-national ring-study.分化型外阴上皮内瘤变(dVIN)的组织学解读仍然具有挑战性——一项跨国环研究的观察结果。
Virchows Arch. 2021 Aug;479(2):305-315. doi: 10.1007/s00428-021-03070-0. Epub 2021 Mar 8.
2
Interobserver variability and the effect of education in the histopathological diagnosis of differentiated vulvar intraepithelial neoplasia.观察者间变异性及教育对分化型外阴上皮内瘤变的组织病理学诊断的影响。
Mod Pathol. 2013 Jun;26(6):874-80. doi: 10.1038/modpathol.2012.235. Epub 2013 Feb 1.
3
Expanding the morphologic spectrum of differentiated VIN (dVIN) through detailed mapping of cases with p53 loss.通过详细绘制 p53 缺失病例,扩展分化型外阴上皮内瘤变(dVIN)的形态谱。
Am J Surg Pathol. 2015 Jan;39(1):52-60. doi: 10.1097/PAS.0000000000000291.
4
Differentiated vulvar intraepithelial neoplasia (dVIN): the most helpful histological features and the utility of cytokeratins 13 and 17.分化型外阴上皮内瘤变(dVIN):最有帮助的组织学特征和细胞角蛋白 13 和 17 的应用。
Virchows Arch. 2018 Dec;473(6):739-747. doi: 10.1007/s00428-018-2436-8. Epub 2018 Sep 6.
5
Differentiated Vulvar Intraepithelial Neoplasia-like and Lichen Sclerosus-like Lesions in HPV-associated Squamous Cell Carcinomas of the Vulva.外阴 HPV 相关鳞状细胞癌中分化的外阴上皮内瘤样病变样和硬化性苔藓样病变。
Am J Surg Pathol. 2018 Jun;42(6):828-835. doi: 10.1097/PAS.0000000000001047.
6
Classic Vulvar Intraepithelial Neoplasia With Superimposed Lichen Simplex Chronicus: A Unique Variant Mimicking Differentiated Vulvar Intraepithelial Neoplasia.伴有慢性单纯性苔藓叠加的经典型外阴上皮内瘤变:一种酷似分化型外阴上皮内瘤变的独特变体。
Int J Gynecol Pathol. 2019 Mar;38(2):175-182. doi: 10.1097/PGP.0000000000000509.
7
Comparison of p53 immunohistochemical staining in differentiated vulvar intraepithelial neoplasia (dVIN) with that in inflammatory dermatoses and benign squamous lesions in the vulva.比较分化型外阴上皮内瘤变(dVIN)与外阴炎症性皮肤病和良性鳞状病变中 p53 免疫组化染色的差异。
Histopathology. 2021 Feb;78(3):424-433. doi: 10.1111/his.14238. Epub 2020 Oct 27.
8
Distinguishing Erosive Lichen Planus From Differentiated Vulvar Intraepithelial Neoplasia.糜烂性扁平苔藓与分化型外阴上皮内瘤变的鉴别
J Low Genit Tract Dis. 2016 Apr;20(2):174-9. doi: 10.1097/LGT.0000000000000179.
9
Accentuated p53 staining in usual type vulvar dysplasia-A potential diagnostic pitfall.寻常型外阴发育不良中 p53 染色增强——潜在的诊断陷阱。
Pathol Res Pract. 2018 Jan;214(1):76-79. doi: 10.1016/j.prp.2017.11.009. Epub 2017 Nov 16.
10
Clinicopathologic Diagnosis of Differentiated Vulvar Intraepithelial Neoplasia and Vulvar Aberrant Maturation.分化型外阴上皮内瘤变和外阴发育不良的临床病理诊断。
J Low Genit Tract Dis. 2020 Oct;24(4):392-398. doi: 10.1097/LGT.0000000000000569.

引用本文的文献

1
Early Diagnostics of Vulvar Intraepithelial Neoplasia.外阴上皮内瘤变的早期诊断
Cancers (Basel). 2022 Apr 4;14(7):1822. doi: 10.3390/cancers14071822.
2
Evaluation of Immunohistochemical Markers, CK17 and SOX2, as Adjuncts to p53 for the Diagnosis of Differentiated Vulvar Intraepithelial Neoplasia (dVIN).评估免疫组织化学标志物CK17和SOX2作为p53的辅助指标用于诊断分化型外阴上皮内瘤变(dVIN)。
Pharmaceuticals (Basel). 2021 Apr 2;14(4):324. doi: 10.3390/ph14040324.

本文引用的文献

1
p53 Immunohistochemical Patterns in HPV-Independent Squamous Cell Carcinomas of the Vulva and the Associated Skin Lesions: A Study of 779 Cases.p53 免疫组化在 HPV 无关型外阴鳞状细胞癌及相关皮肤病变中的表现:779 例研究。
Int J Mol Sci. 2020 Oct 29;21(21):8091. doi: 10.3390/ijms21218091.
2
Diagnostic Criteria for Differentiated Vulvar Intraepithelial Neoplasia and Vulvar Aberrant Maturation.外阴上皮内瘤变和外阴异常成熟的诊断标准。
J Low Genit Tract Dis. 2021 Jan 1;25(1):57-70. doi: 10.1097/LGT.0000000000000572.
3
Clinicopathologic Diagnosis of Differentiated Vulvar Intraepithelial Neoplasia and Vulvar Aberrant Maturation.
分化型外阴上皮内瘤变和外阴发育不良的临床病理诊断。
J Low Genit Tract Dis. 2020 Oct;24(4):392-398. doi: 10.1097/LGT.0000000000000569.
4
Expanding the Morphologic, Immunohistochemical, and HPV Genotypic Features of High-grade Squamous Intraepithelial Lesions of the Vulva With Morphology Mimicking Differentiated Vulvar Intraepithelial Neoplasia and/or Lichen Sclerosus.扩大外阴高级别鳞状上皮内病变的形态学、免疫组织化学和 HPV 基因特征,这些病变的形态类似于分化型外阴上皮内瘤变和/或硬化性苔藓。
Int J Gynecol Pathol. 2021 May 1;40(3):205-213. doi: 10.1097/PGP.0000000000000708.
5
Comparison of p53 immunohistochemical staining in differentiated vulvar intraepithelial neoplasia (dVIN) with that in inflammatory dermatoses and benign squamous lesions in the vulva.比较分化型外阴上皮内瘤变(dVIN)与外阴炎症性皮肤病和良性鳞状病变中 p53 免疫组化染色的差异。
Histopathology. 2021 Feb;78(3):424-433. doi: 10.1111/his.14238. Epub 2020 Oct 27.
6
Molecular characterization of invasive and in situ squamous neoplasia of the vulva and implications for morphologic diagnosis and outcome.外阴浸润性和原位鳞状上皮肿瘤的分子特征及其对形态学诊断和预后的影响。
Mod Pathol. 2021 Feb;34(2):508-518. doi: 10.1038/s41379-020-00651-3. Epub 2020 Aug 13.
7
Somatic Mutation Profiling in Premalignant Lesions of Vulvar Squamous Cell Carcinoma.外阴鳞状细胞癌癌前病变中的体细胞突变分析。
Int J Mol Sci. 2020 Jul 10;21(14):4880. doi: 10.3390/ijms21144880.
8
Pathologists should probably forget about kappa. Percent agreement, diagnostic specificity and related metrics provide more clinically applicable measures of interobserver variability.病理学家可能应该忘记 κ 值。百分比一致率、诊断特异性和相关指标为观察者间变异性提供了更具临床适用性的衡量标准。
Ann Diagn Pathol. 2020 Aug;47:151561. doi: 10.1016/j.anndiagpath.2020.151561. Epub 2020 Jun 28.
9
British Gynaecological Cancer Society (BGCS) vulval cancer guidelines: Recommendations for practice.英国妇科癌症协会(BGCS)外阴癌指南:实践建议。
Eur J Obstet Gynecol Reprod Biol. 2020 Sep;252:502-525. doi: 10.1016/j.ejogrb.2020.05.054. Epub 2020 Jun 8.
10
Can radical surgical treatment of the vulva be justified in the absence of a conclusive diagnosis of squamous cell carcinoma on biopsy? A retrospective 10-year cohort study.在活检未能明确诊断为鳞状细胞癌的情况下,是否可以对外阴进行激进的手术治疗?一项回顾性的 10 年队列研究。
Eur J Obstet Gynecol Reprod Biol. 2020 May;248:238-244. doi: 10.1016/j.ejogrb.2020.03.027. Epub 2020 Mar 19.