Suppr超能文献

猫牙转录组分析突出了基质金属蛋白酶 9(MMP9)在牙齿吸收中的作用。

Transcriptomic profiling of feline teeth highlights the role of matrix metalloproteinase 9 (MMP9) in tooth resorption.

机构信息

The Royal (Dick) School of Veterinary Studies and The Roslin Institute, The University of Edinburgh, Easter Bush Campus, Midlothian, EH25 9RG, UK.

Nuffield Department of Medicine, University of Oxford, Oxford, OX3 7LF, UK.

出版信息

Sci Rep. 2020 Nov 3;10(1):18958. doi: 10.1038/s41598-020-75998-3.

Abstract

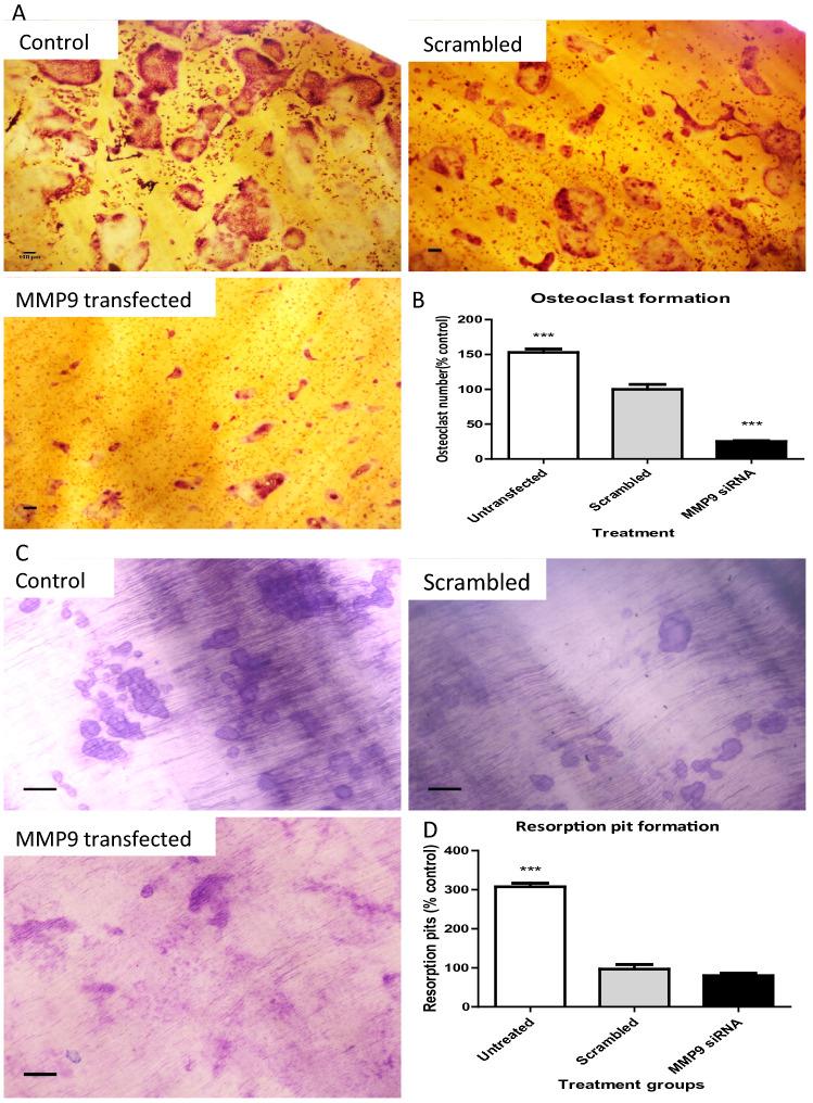
Tooth resorption (TR) in domestic cats is a common and painful disease characterised by the loss of mineralised tissues from the tooth. Due to its progressive nature and unclear aetiology the only treatment currently available is to extract affected teeth. To gain insight into TR pathogenesis, we characterised the transcriptomic changes involved in feline TR by sequencing RNA extracted from 14 teeth (7 with and 7 without signs of resorption) collected from 11 cats. A paired comparison of teeth from the same cat with and without signs of resorption identified 1,732 differentially expressed genes, many of which were characteristic of osteoclast activity and differentiation, in particular matrix metalloproteinase 9 (MMP9). MMP9 expression was confirmed by qPCR and immunocytochemistry of odontoclasts located in TR lesions. A hydroxamate-based MMP9 inhibitor reduced both osteoclast formation and resorption activity while siRNA targeting MMP9 also inhibited osteoclast differentiation although had little effect on resorption activity. Overall, these results suggest that increased MMP9 expression is involved in the progress of TR pathogenesis and that MMP9 may be a potential therapeutic target in feline TR.

摘要

猫的牙齿吸收(TR)是一种常见且痛苦的疾病,其特征是牙齿的矿化组织丢失。由于其进行性和不明原因,目前唯一的治疗方法是拔牙。为了深入了解 TR 的发病机制,我们通过对从 11 只猫的 14 颗牙齿(7 颗有吸收迹象和 7 颗无吸收迹象)中提取的 RNA 进行测序,对涉及猫 TR 的转录组变化进行了表征。对来自同一猫的有和无吸收迹象的牙齿进行配对比较,鉴定出 1732 个差异表达基因,其中许多基因与破骨细胞活性和分化有关,特别是基质金属蛋白酶 9(MMP9)。通过 qPCR 和 MMP9 阳性破骨细胞位于 TR 病变处的免疫细胞化学染色,证实了 MMP9 的表达。基于羟肟酸的 MMP9 抑制剂减少了破骨细胞的形成和吸收活性,而靶向 MMP9 的 siRNA 也抑制了破骨细胞的分化,尽管对吸收活性影响不大。总的来说,这些结果表明,MMP9 表达的增加与 TR 发病机制的进展有关,MMP9 可能是猫 TR 的潜在治疗靶点。

https://cdn.ncbi.nlm.nih.gov/pmc/blobs/9465/7641192/384443619b61/41598_2020_75998_Fig1_HTML.jpg

文献检索

告别复杂PubMed语法,用中文像聊天一样搜索,搜遍4000万医学文献。AI智能推荐,让科研检索更轻松。

立即免费搜索

文件翻译

保留排版,准确专业,支持PDF/Word/PPT等文件格式,支持 12+语言互译。

免费翻译文档

深度研究

AI帮你快速写综述,25分钟生成高质量综述,智能提取关键信息,辅助科研写作。

立即免费体验