• 文献检索
  • 文档翻译
  • 深度研究
  • 学术资讯
  • Suppr Zotero 插件Zotero 插件
  • 邀请有礼
  • 套餐&价格
  • 历史记录
应用&插件
Suppr Zotero 插件Zotero 插件浏览器插件Mac 客户端Windows 客户端微信小程序
定价
高级版会员购买积分包购买API积分包
服务
文献检索文档翻译深度研究API 文档MCP 服务
关于我们
关于 Suppr公司介绍联系我们用户协议隐私条款
关注我们

Suppr 超能文献

核心技术专利:CN118964589B侵权必究
粤ICP备2023148730 号-1Suppr @ 2026

文献检索

告别复杂PubMed语法,用中文像聊天一样搜索,搜遍4000万医学文献。AI智能推荐,让科研检索更轻松。

立即免费搜索

文件翻译

保留排版,准确专业,支持PDF/Word/PPT等文件格式,支持 12+语言互译。

免费翻译文档

深度研究

AI帮你快速写综述,25分钟生成高质量综述,智能提取关键信息,辅助科研写作。

立即免费体验

使用血管导管内镜切除脑室内神经囊尾蚴囊肿:一项回顾性分析

Endoscopic Excision of Intraventricular Neurocysticercosis Cyst with an Angiocatheter: A Retrospective Analysis.

作者信息

Aggarwal Varun Kumar, Krishna Gopal, Singh Ishwar

机构信息

Department of Neurosurgery, PGIMS, Rohtak, Haryana, India.

出版信息

Asian J Neurosurg. 2020 Aug 28;15(3):527-531. doi: 10.4103/ajns.AJNS_112_20. eCollection 2020 Jul-Sep.

DOI:10.4103/ajns.AJNS_112_20
PMID:33145202
原文链接:https://pmc.ncbi.nlm.nih.gov/articles/PMC7591220/
Abstract

INTRODUCTION

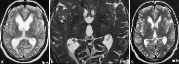
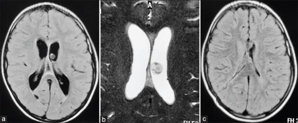
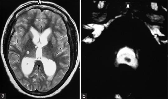
An intraventricular cysticercus cyst is observed in 7%-30% patients of neurocysticercosis (NCC). Apart from causing arachnoiditis, intraventricular NCC (IVNCC) can cause sudden death due to acute episodes of hydrocephalus. Various treatment modalities available are external cerebrospinal fluid (CSF) diversion, microsurgical removal, and endoscopic management. There is no consensus regarding the optimal surgical treatment strategy. We are presenting our experience by doing a retrospective analysis of 26 patients having endoscopic removal of IVNCC with a rigid endoscope and angiocatheter.

AIM

The aim of this study is to evaluate the results of neuroendoscopy in restoring the CSF pathway and removal of the cyst in patients of IVNCC.

MATERIALS AND METHODS

Retrospective analysis of clinical record and follow-up of 26 patients of IVNCC who were treated endoscopically between 2010 and 2018 was done. The diagnosis of IVNCC was made based on contrast enhanced magnetic resonance imaging of the brain. Transcranial endoscopy with 0° endoscope was performed through the frontal burr hole. Third ventriculostomy and removal of the cysticercus cyst with angiocatheter were the procedures done.

RESULTS

The success rate of intraventricular cyst excision, whether complete or partial, was 100% (14/14) in the third ventricular cyst, 62.5% (5/8) in the fourth ventricular cyst and 100% (4/4) in the lateral ventricular cyst. The overall success rate of cyst excision by endoscopy was 88.46%. The overall successful CSF flow pathway was established in 88.46% cases. The mean duration of follow-up was 44 months, and all the patients were found symptom free in the follow-up period.

CONCLUSION

Neuroendoscopy, being a single burr hole technique successfully providing internal CSF diversion and cyst removal, is the treatment modality of choice for IVNCC.

摘要

引言

脑囊尾蚴病(NCC)患者中7%-30%可观察到脑室内囊尾蚴囊肿。除了引起蛛网膜炎外,脑室内NCC(IVNCC)可因急性脑积水发作导致猝死。现有的各种治疗方式包括外部脑脊液(CSF)分流、显微手术切除和内镜治疗。关于最佳手术治疗策略尚无共识。我们通过对26例使用硬式内镜和血管导管进行内镜下切除IVNCC的患者进行回顾性分析,介绍我们的经验。

目的

本研究的目的是评估神经内镜在恢复IVNCC患者CSF通路和切除囊肿方面的效果。

材料与方法

对2010年至2018年间接受内镜治疗的26例IVNCC患者的临床记录和随访进行回顾性分析。IVNCC的诊断基于脑部增强磁共振成像。通过额部钻孔进行0°内镜经颅内镜检查。进行第三脑室造瘘术并用血管导管切除囊尾蚴囊肿。

结果

第三脑室内囊肿的脑室内囊肿切除成功率,无论是完全切除还是部分切除,均为100%(14/14);第四脑室内囊肿为62.5%(5/8);侧脑室内囊肿为100%(4/4)。内镜下囊肿切除的总体成功率为88.46%。88.46%的病例成功建立了CSF流动通路。平均随访时间为44个月,所有患者在随访期间均无症状。

结论

神经内镜作为一种单钻孔技术,成功实现了内部CSF分流和囊肿切除,是IVNCC的首选治疗方式。

https://cdn.ncbi.nlm.nih.gov/pmc/blobs/1cf8/7591220/7c9cc7a31eeb/AJNS-15-527-g003.jpg
https://cdn.ncbi.nlm.nih.gov/pmc/blobs/1cf8/7591220/93a780c265c9/AJNS-15-527-g001.jpg
https://cdn.ncbi.nlm.nih.gov/pmc/blobs/1cf8/7591220/6b0ced377aa2/AJNS-15-527-g002.jpg
https://cdn.ncbi.nlm.nih.gov/pmc/blobs/1cf8/7591220/7c9cc7a31eeb/AJNS-15-527-g003.jpg
https://cdn.ncbi.nlm.nih.gov/pmc/blobs/1cf8/7591220/93a780c265c9/AJNS-15-527-g001.jpg
https://cdn.ncbi.nlm.nih.gov/pmc/blobs/1cf8/7591220/6b0ced377aa2/AJNS-15-527-g002.jpg
https://cdn.ncbi.nlm.nih.gov/pmc/blobs/1cf8/7591220/7c9cc7a31eeb/AJNS-15-527-g003.jpg

相似文献

1
Endoscopic Excision of Intraventricular Neurocysticercosis Cyst with an Angiocatheter: A Retrospective Analysis.使用血管导管内镜切除脑室内神经囊尾蚴囊肿:一项回顾性分析
Asian J Neurosurg. 2020 Aug 28;15(3):527-531. doi: 10.4103/ajns.AJNS_112_20. eCollection 2020 Jul-Sep.
2
Endoscopic Management of Intraventricular Neurocysticercosis.脑室内神经囊尾蚴病的内镜治疗
Turk Neurosurg. 2019;29(1):59-65. doi: 10.5137/1019-5149.JTN.21389-17.3.
3
Endoscopic intervention for intraventricular neurocysticercal cyst: Challenges and outcome analysis from a single institute experience.脑室神经囊虫病内镜干预:单中心经验的挑战和结果分析。
Clin Neurol Neurosurg. 2020 Nov;198:106179. doi: 10.1016/j.clineuro.2020.106179. Epub 2020 Sep 2.
4
Neuro-endoscopic management of intraventricular neurocysticercosis (NCC).脑室内神经囊尾蚴病(NCC)的神经内镜治疗
Acta Neurochir (Wien). 2007;149(4):341-6. doi: 10.1007/s00701-006-1059-z. Epub 2007 Mar 8.
5
Endoscopic excision of intraventricular neurocysticercosis in children: a series of six cases and review.儿童脑室内神经囊尾蚴病的内镜切除:6例病例系列及文献复习
Childs Nerv Syst. 2008 Feb;24(2):281-5. doi: 10.1007/s00381-007-0462-y. Epub 2007 Nov 10.
6
A case-based review on the neuroendoscopic management of intraventricular and subarachnoid basal neurocysticercosis.脑室内和蛛网膜下腔基底神经囊虫病的神经内镜治疗病例分析。
Clin Neurol Neurosurg. 2024 May;240:108268. doi: 10.1016/j.clineuro.2024.108268. Epub 2024 Mar 29.
7
Flexible neuroendoscopy for endoscopic third ventriculostomy and fourth ventricular arachnoid cyst fenestration in an infant.婴儿内镜第三脑室造瘘和第四脑室蛛网膜囊肿开窗术的软性神经内镜治疗。
J Neurosurg Pediatr. 2023 Feb 10;31(5):391-396. doi: 10.3171/2022.12.PEDS22437. Print 2023 May 1.
8
Added value of 3D-DRIVE and SWI Magnetic Resonance Imaging Sequences in Intraventricular Neurocysticercosis (IVNCC): An Institutional Experience from Northeast India.3D-DRIVE和SWI磁共振成像序列在脑室内神经囊尾蚴病(IVNCC)中的附加价值:来自印度东北部的一项机构经验。
Acta Med Litu. 2021;28(2):285-297. doi: 10.15388/Amed.2021.28.2.21. Epub 2021 Dec 29.
9
Endoscopic Management of Fourth Ventricle Neurocysticercosis: Description of the New Technique in a Case Series of 5 Cases and Review of the Literature.第四脑室神经囊尾蚴病的内镜治疗:5例病例系列中的新技术描述及文献综述
World Neurosurg. 2019 Feb;122:e647-e654. doi: 10.1016/j.wneu.2018.10.117. Epub 2018 Oct 26.
10
Transventricular, transaqueductal scope-in-scope endoscopic excision of fourth ventricular neurocysticercosis: a series of 13 cases and a review.经脑室、经导水管套入式内镜切除第四脑室神经囊尾蚴病:13例病例系列及文献复习
J Neurosurg Pediatr. 2008 Jan;1(1):35-9. doi: 10.3171/PED-08/01/035.

引用本文的文献

1
Neurocysticercosis: challenges in pediatric neurosurgery practice.神经囊尾蚴病:小儿神经外科实践中的挑战
Childs Nerv Syst. 2023 Mar;39(3):743-750. doi: 10.1007/s00381-022-05784-1. Epub 2023 Jan 23.

本文引用的文献

1
Transventricular, transaqueductal scope-in-scope endoscopic excision of fourth ventricular neurocysticercosis: a series of 13 cases and a review.经脑室、经导水管套入式内镜切除第四脑室神经囊尾蚴病:13例病例系列及文献复习
J Neurosurg Pediatr. 2008 Jan;1(1):35-9. doi: 10.3171/PED-08/01/035.
2
Endoscopic transaqueductal removal of fourth ventricular neurocysticercosis with an angiographic catheter.使用血管造影导管经内镜经导水管切除第四脑室神经囊尾蚴病
Neurosurgery. 2007 Apr;60(4 Suppl 2):249-53; discussion 254. doi: 10.1227/01.NEU.0000255382.72593.81.
3
Imaging features and surgery-related outcomes in intraventricular neurocysticercosis.
脑室内神经囊尾蚴病的影像学特征及手术相关结果
Neurosurg Focus. 2002 Jun 15;12(6):e6. doi: 10.3171/foc.2002.12.6.7.
4
Intraventricular neurocysticercosis: 18 consecutive patients and review of the literature.脑室内神经囊尾蚴病:18例连续病例及文献复习
Neurosurg Focus. 2002 Jun 15;12(6):e5. doi: 10.3171/foc.2002.12.6.6.
5
Endoscopic management of supratentorial ventricular neurocysticercosis: case series and review of the literature.
Minim Invasive Neurosurg. 2003 Dec;46(6):331-4. doi: 10.1055/s-2003-812470.
6
Endoscopic approach to fourth ventricle cysticercosis.内镜治疗第四脑室囊尾蚴病。
Arq Neuropsiquiatr. 2003 Jun;61(2A):204-7. doi: 10.1590/s0004-282x2003000200009. Epub 2003 Jun 9.
7
Endoscopic approach to intraventricular cysticercal lesions.
Minim Invasive Neurosurg. 2001 Dec;44(4):194-6. doi: 10.1055/s-2001-19928.
8
Endoscopic removal of a third ventricular cysticercal cyst.
Br J Neurosurg. 1998 Oct;12(5):452-4. doi: 10.1080/02688699844691.
9
Neurocysticercosis: focus on intraventricular disease.神经囊尾蚴病:关注脑室疾病
Clin Infect Dis. 1997 Feb;24(2):157-64. doi: 10.1093/clinids/24.2.157.
10
Taeniasis and cysticercosis due to Taenia solium.猪带绦虫所致的猪带绦虫病和囊尾蚴病。
Prog Clin Parasitol. 1994;4:77-116.