• 文献检索
  • 文档翻译
  • 深度研究
  • 学术资讯
  • Suppr Zotero 插件Zotero 插件
  • 邀请有礼
  • 套餐&价格
  • 历史记录
应用&插件
Suppr Zotero 插件Zotero 插件浏览器插件Mac 客户端Windows 客户端微信小程序
定价
高级版会员购买积分包购买API积分包
服务
文献检索文档翻译深度研究API 文档MCP 服务
关于我们
关于 Suppr公司介绍联系我们用户协议隐私条款
关注我们

Suppr 超能文献

核心技术专利:CN118964589B侵权必究
粤ICP备2023148730 号-1Suppr @ 2026

文献检索

告别复杂PubMed语法,用中文像聊天一样搜索,搜遍4000万医学文献。AI智能推荐,让科研检索更轻松。

立即免费搜索

文件翻译

保留排版,准确专业,支持PDF/Word/PPT等文件格式,支持 12+语言互译。

免费翻译文档

深度研究

AI帮你快速写综述,25分钟生成高质量综述,智能提取关键信息,辅助科研写作。

立即免费体验

在一级水上运动员中,踩水时股骨髋臼撞击综合征解剖结构的患病率。

The prevalence of femoroacetabular impingement anatomy in Division 1 aquatic athletes who tread water.

作者信息

Langner Joanna L, Black Marianne S, MacKay James W, Hall Kimberly E, Safran Marc R, Kogan Feliks, Gold Garry E

机构信息

Department of Radiology.

Department of Orthopaedic Surgery.

出版信息

J Hip Preserv Surg. 2020 Mar 26;7(2):233-241. doi: 10.1093/jhps/hnaa009. eCollection 2020 Jul.

DOI:10.1093/jhps/hnaa009
PMID:33163207
原文链接:https://pmc.ncbi.nlm.nih.gov/articles/PMC7605769/
Abstract

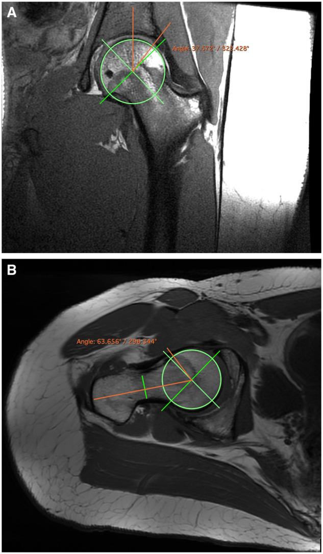
Femoroacetabular impingement (FAI) is a disorder that causes hip pain and disability in young patients, particularly athletes. Increased stress on the hip during development has been associated with increased risk of cam morphology. The specific forces involved are unclear, but may be due to continued rotational motion, like the eggbeater kick. The goal of this prospective cohort study was to use magnetic resonance imaging (MRI) to identify the prevalence of FAI anatomy in athletes who tread water and compare it to the literature on other sports. With university IRB approval, 20 Division 1 water polo players and synchronized swimmers (15 female, 5 male), ages 18-23 years (mean age 20.7 ± 1.4), completed the 33-item International Hip Outcome Tool and underwent non-contrast MRI scans of both hips using a 3 Tesla scanner. Recruitment was based on sport, with both symptomatic and asymptomatic individuals included. Cam and pincer morphology were identified. The Wilcoxon Signed-Rank/Rank Sum tests were used to assess outcomes. Seventy per cent (14/20) of subjects reported pain in their hips yet only 15% (3/20) sought clinical evaluation. Cam morphology was present in 67.5% (27/40) of hips, while 22.5% (9/40) demonstrated pincer morphology. The prevalence of cam morphology in water polo players and synchronized swimmers is greater than that reported for the general population and at a similar level as some other sports. From a clinical perspective, acknowledgment of the high prevalence of cam morphology in water polo players and synchronized swimmers should be considered when these athletes present with hip pain.

摘要

股骨髋臼撞击症(FAI)是一种导致年轻患者,尤其是运动员出现髋关节疼痛和功能障碍的病症。发育过程中髋关节承受的压力增加与凸轮形态风险增加有关。具体涉及的力尚不清楚,但可能是由于持续的旋转运动,如打蛋器踢腿动作。这项前瞻性队列研究的目的是使用磁共振成像(MRI)确定踩水运动员中FAI解剖结构的患病率,并将其与其他运动项目的文献进行比较。经大学机构审查委员会批准,20名一级水球运动员和花样游泳运动员(15名女性,5名男性),年龄在18至23岁之间(平均年龄20.7±1.4岁),完成了33项国际髋关节结果工具评估,并使用3特斯拉扫描仪对双侧髋关节进行了非增强MRI扫描。招募基于运动项目,包括有症状和无症状的个体。确定了凸轮和钳夹形态。使用Wilcoxon符号秩/秩和检验来评估结果。70%(14/20)的受试者报告髋关节疼痛,但只有15%(3/20)寻求临床评估。67.5%(27/40)的髋关节存在凸轮形态,而22.5%(9/40)表现为钳夹形态。水球运动员和花样游泳运动员中凸轮形态的患病率高于一般人群的报告患病率,与其他一些运动项目的患病率处于相似水平。从临床角度来看,当这些运动员出现髋关节疼痛时,应考虑到水球运动员和花样游泳运动员中凸轮形态的高患病率。

https://cdn.ncbi.nlm.nih.gov/pmc/blobs/94e5/7605769/595199a75409/hnaa009f1.jpg
https://cdn.ncbi.nlm.nih.gov/pmc/blobs/94e5/7605769/595199a75409/hnaa009f1.jpg
https://cdn.ncbi.nlm.nih.gov/pmc/blobs/94e5/7605769/595199a75409/hnaa009f1.jpg

相似文献

1
The prevalence of femoroacetabular impingement anatomy in Division 1 aquatic athletes who tread water.在一级水上运动员中,踩水时股骨髋臼撞击综合征解剖结构的患病率。
J Hip Preserv Surg. 2020 Mar 26;7(2):233-241. doi: 10.1093/jhps/hnaa009. eCollection 2020 Jul.
2
Femoral acetabular impingement labral pathology on MRI is correlated with greater hip flexion and decreased abduction in collegiate water polo players: A pilot study.一项初步研究表明:在大学水球运动员中,MRI显示的股骨髋臼撞击综合征盂唇病变与更大的髋关节屈曲度及外展减少相关。
J ISAKOS. 2022 Feb;7(1):7-12. doi: 10.1016/j.jisako.2021.10.003. Epub 2021 Nov 17.
3
Does the Capital Femoral Physis Bony MorphologyDiffer in Children with Symptomatic Cam-type Femoroacetabular Impingement.患有症状性凸轮型股骨髋臼撞击症的儿童,其股骨头骺骨形态是否存在差异。
Clin Orthop Relat Res. 2021 May 1;479(5):922-931. doi: 10.1097/CORR.0000000000001602.
4
Cam Deformities and Limited Hip Range of Motion Are Associated With Early Osteoarthritic Changes in Adolescent Athletes: A Prospective Matched Cohort Study.凸轮畸形与青少年运动员髋关节活动范围受限与早期骨关节炎变化相关:一项前瞻性配对队列研究。
Am J Sports Med. 2017 Nov;45(13):3036-3043. doi: 10.1177/0363546517719460. Epub 2017 Aug 18.
5
Professional soccer is associated with radiographic cam and pincer hip morphology.职业足球与 X 线摄影凸轮和蟹钳髋形态有关。
Knee Surg Sports Traumatol Arthrosc. 2019 Oct;27(10):3142-3148. doi: 10.1007/s00167-018-5008-1. Epub 2018 Jun 6.
6
Prevalence of Cam-Type Morphology in Elite Ice Hockey Players.精英冰球运动员中凸轮型形态的患病率。
Am J Sports Med. 2016 Apr;44(4):1024-30. doi: 10.1177/0363546515624671. Epub 2016 Jan 28.
7
Imaging prevalence of femoroacetabular impingement in symptomatic patients, athletes, and asymptomatic individuals: A systematic review.有症状患者、运动员和无症状个体中股骨髋臼撞击症的影像学患病率:一项系统评价。
Eur J Radiol. 2016 Jan;85(1):73-95. doi: 10.1016/j.ejrad.2015.10.016. Epub 2015 Nov 2.
8
Characterizing femoroacetabular impingement in professional Nordic Skiers.专业北欧滑雪运动员中股骨髋臼撞击症的特征。
Phys Sportsmed. 2023 Jun;51(3):285-290. doi: 10.1080/00913847.2022.2056770. Epub 2022 Mar 29.
9
Soft Tissue Cam Impingement in Adolescents: MRI Reveals Impingement Lesions Underappreciated on Radiographs.青少年软组织撞击征:MRI 显示 X 线片上易被漏诊的撞击病变。
Am J Sports Med. 2023 Dec;51(14):3749-3755. doi: 10.1177/03635465231206815. Epub 2023 Nov 9.
10
Radiographic prevalence of femoroacetabular impingement in collegiate football players: AAOS Exhibit Selection.大学生足球运动员中股骨髋臼撞击症的放射学患病率:AAOS 精选展品。
J Bone Joint Surg Am. 2011 Oct 5;93(19):e111(1-10). doi: 10.2106/JBJS.K.00544.

引用本文的文献

1
Injuries Affecting Intercollegiate Water Polo Athletes: A Descriptive Epidemiologic Study.影响大学生水球运动员的损伤:一项描述性流行病学研究。
Orthop J Sports Med. 2022 Jul 21;10(7):23259671221110208. doi: 10.1177/23259671221110208. eCollection 2022 Jul.
2
The prevalence and risk factors of pubic bone marrow edema in femoroacetabular impingement and hip dysplasia.股骨髋臼撞击症和髋关节发育不良中耻骨骨髓水肿的患病率及危险因素
J Hip Preserv Surg. 2021 Nov 9;8(4):318-324. doi: 10.1093/jhps/hnab081. eCollection 2021 Dec.
3
Incidence of Symptomatic Femoroacetabular Impingement: A 4-Year Study at a National Collegiate Athletic Association Division I Institution.

本文引用的文献

1
The association between specific sports activities and sport performance following hip arthroscopy for femoroacetabular impingement syndrome: A secondary analysis of a cross-sectional cohort study including 184 athletes.股骨髋臼撞击综合征髋关节镜检查后特定体育活动与运动表现之间的关联:一项纳入184名运动员的横断面队列研究的二次分析
J Hip Preserv Surg. 2019 Jun 5;6(2):124-133. doi: 10.1093/jhps/hnz017. eCollection 2019 Jul.
2
What is the Prevalence of Hip Intra-Articular Pathologies and Osteoarthritis in Active Athletes with Hip and Groin Pain Compared with Those Without? A Systematic Review and Meta-Analysis.患有髋关节和腹股沟疼痛的现役运动员髋关节腔内病变和骨关节炎的患病率与无髋关节和腹股沟疼痛的现役运动员相比如何?系统评价和荟萃分析。
Sports Med. 2019 Jun;49(6):951-972. doi: 10.1007/s40279-019-01092-y.
3
有症状的股骨髋臼撞击症的发病率:在一所美国国家大学体育协会第一分区院校进行的为期4年的研究。
Orthop J Sports Med. 2022 Apr 12;10(4):23259671221084979. doi: 10.1177/23259671221084979. eCollection 2022 Apr.
4
Sex differences in the prevalence of radiographic findings of structural hip deformities in patients with symptomatic femoroacetabular impingement.有症状的股骨髋臼撞击症患者结构性髋关节畸形影像学表现患病率的性别差异。
J Hip Preserv Surg. 2021 Jun 22;8(3):233-239. doi: 10.1093/jhps/hnab050. eCollection 2021 Aug.
5
Prevalence and mechanisms of injuries in water polo: a systematic review.水球运动中损伤的患病率及机制:一项系统综述
BMJ Open Sport Exerc Med. 2021 Jun 3;7(2):e001081. doi: 10.1136/bmjsem-2021-001081. eCollection 2021.
Estimating the hydrodynamic forces during eggbeater kicking by pressure distribution analysis.通过压力分布分析估算打蛋器式踢腿过程中的水动力。
Heliyon. 2018 Dec 28;4(12):e01095. doi: 10.1016/j.heliyon.2018.e01095. eCollection 2018 Dec.
4
Higher patient activity level and subchondral stiffening in asymptomatic cam femoroacetabular impingement subjects.无症状凸轮型股骨髋臼撞击症患者具有更高的活动水平和软骨下硬化。
J Hip Preserv Surg. 2018 Jun 22;5(3):259-266. doi: 10.1093/jhps/hny017. eCollection 2018 Aug.
5
Statistical mistakes and how to avoid them - lessons learned from the reproducibility crisis.统计错误及如何避免它们——从可重复性危机中吸取的教训
Osteoarthritis Cartilage. 2018 Nov;26(11):1409-1411. doi: 10.1016/j.joca.2018.07.017. Epub 2018 Aug 8.
6
What Are the Reference Values and Associated Factors for Center-edge Angle and Alpha Angle? A Population-based Study.中心边缘角和α角的参考值及其相关因素是什么?一项基于人群的研究。
Clin Orthop Relat Res. 2018 Nov;476(11):2249-2259. doi: 10.1097/CORR.0000000000000410.
7
The morphologic characteristics and range of motion in the hips of athletes and non-athletes.运动员与非运动员髋关节的形态学特征及活动范围。
J Hip Preserv Surg. 2016 Jul 15;3(4):325-332. doi: 10.1093/jhps/hnw023. eCollection 2016 Oct.
8
Prevalence of femoroacetabular impingement morphology in asymptomatic youth soccer players: magnetic resonance imaging study with clinical correlation.无症状青少年足球运动员中股骨髋臼撞击形态的患病率:磁共振成像研究及其临床相关性
Rev Bras Ortop. 2017 Jun 24;52(Suppl 1):14-20. doi: 10.1016/j.rboe.2017.06.005. eCollection 2017.
9
The Influence of Squat Kinematics and Cam Morphology on Acetabular Stress.深蹲运动学和凸轮形态对髋臼应力的影响。
Arthroscopy. 2017 Oct;33(10):1797-1803. doi: 10.1016/j.arthro.2017.03.018.
10
Cam morphology and inguinal pathologies: is there a possible connection?凸轮形态与腹股沟病变:是否存在可能的关联?
J Orthop Traumatol. 2017 Dec;18(4):439-450. doi: 10.1007/s10195-017-0470-y. Epub 2017 Sep 18.