• 文献检索
  • 文档翻译
  • 深度研究
  • 学术资讯
  • Suppr Zotero 插件Zotero 插件
  • 邀请有礼
  • 套餐&价格
  • 历史记录
应用&插件
Suppr Zotero 插件Zotero 插件浏览器插件Mac 客户端Windows 客户端微信小程序
定价
高级版会员购买积分包购买API积分包
服务
文献检索文档翻译深度研究API 文档MCP 服务
关于我们
关于 Suppr公司介绍联系我们用户协议隐私条款
关注我们

Suppr 超能文献

核心技术专利:CN118964589B侵权必究
粤ICP备2023148730 号-1Suppr @ 2026

文献检索

告别复杂PubMed语法,用中文像聊天一样搜索,搜遍4000万医学文献。AI智能推荐,让科研检索更轻松。

立即免费搜索

文件翻译

保留排版,准确专业,支持PDF/Word/PPT等文件格式,支持 12+语言互译。

免费翻译文档

深度研究

AI帮你快速写综述,25分钟生成高质量综述,智能提取关键信息,辅助科研写作。

立即免费体验

老年患者接受帕博利珠单抗治疗后肺鳞状细胞癌完全缓解:一例报告。

Complete response of squamous cell carcinoma of the lung following treatment with pembrolizumab in an elderly patient: A case report.

机构信息

Department of Clinical Investigation, National Hospital Organization Kochi Hospital, Kochi, Japan.

Department of Respiratory Medicine, Japanese Red Cross Kochi Hospital, Kochi, Japan.

出版信息

Thorac Cancer. 2021 Jan;12(2):259-263. doi: 10.1111/1759-7714.13733. Epub 2020 Nov 10.

DOI:10.1111/1759-7714.13733
PMID:33174378
原文链接:https://pmc.ncbi.nlm.nih.gov/articles/PMC7812064/
Abstract

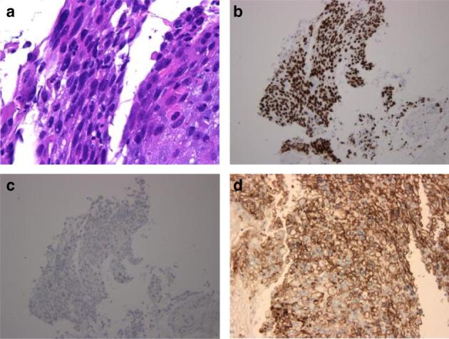
Complete response of non-small cell lung cancer (NSCLC) with immune checkpoint inhibitor (ICI) monotherapy is rare. Here, we encountered an elderly patient who showed complete response of NSCLC following treatment with pembrolizumab. An 84-year-old man with a history of bloody sputum for several weeks visited a general physician. At that time, a chest X-ray revealed a tumor shadow in the left middle lung field, and the patient was referred to our hospital. Following transbronchial biopsy, he was diagnosed with squamous cell carcinoma of the lung. Expression of programmed death ligand 1 (PD-L1) in tumor cells was 80% or more by immunostaining. Based on the above, immunotherapy with pembrolizumab was performed as first-line therapy. The cancer cells completely disappeared at the end of the fifth cycle. There were no side effects during the therapeutic course. Treatment with pembrolizumab continued for two years and was then discontinued at the patient's request. Since then, no tumor recurrence has been detected for about one and a half years without treatment. There have been few reports of lung cancer disappearing after treatment with pembrolizumab. In conclusion, in elderly NSCLC patients with PD-L1 expression of 50% or more, pembrolizumab should be considered as first-line treatment with the treatment period, and mechanism suggested in this report.

摘要

免疫检查点抑制剂 (ICI) 单药治疗的非小细胞肺癌 (NSCLC) 完全缓解罕见。在此,我们遇到了一位接受派姆单抗治疗后 NSCLC 完全缓解的老年患者。一位 84 岁的男性,有几周的咯血病史,前往全科医生就诊。当时,胸部 X 射线显示左肺中叶有肿瘤阴影,患者被转介到我们医院。经支气管镜活检后,他被诊断为肺鳞状细胞癌。肿瘤细胞的程序性死亡配体 1 (PD-L1) 表达通过免疫染色为 80%或更高。基于以上结果,采用派姆单抗进行免疫治疗作为一线治疗。第五个周期结束时,癌细胞完全消失。在治疗过程中没有副作用。派姆单抗治疗持续了两年,然后应患者要求停药。此后,在没有治疗的情况下,大约一年半没有发现肿瘤复发。在接受派姆单抗治疗后肺癌消失的报道很少。总之,对于 PD-L1 表达 50%或更高的老年 NSCLC 患者,应考虑将派姆单抗作为一线治疗,并考虑该报告中提出的治疗期和机制。

https://cdn.ncbi.nlm.nih.gov/pmc/blobs/afb3/7812064/a8f163df9ff4/TCA-12-259-g004.jpg
https://cdn.ncbi.nlm.nih.gov/pmc/blobs/afb3/7812064/38f9ea3d3d3e/TCA-12-259-g001.jpg
https://cdn.ncbi.nlm.nih.gov/pmc/blobs/afb3/7812064/ad45515c48b8/TCA-12-259-g002.jpg
https://cdn.ncbi.nlm.nih.gov/pmc/blobs/afb3/7812064/f2a20d483af5/TCA-12-259-g003.jpg
https://cdn.ncbi.nlm.nih.gov/pmc/blobs/afb3/7812064/a8f163df9ff4/TCA-12-259-g004.jpg
https://cdn.ncbi.nlm.nih.gov/pmc/blobs/afb3/7812064/38f9ea3d3d3e/TCA-12-259-g001.jpg
https://cdn.ncbi.nlm.nih.gov/pmc/blobs/afb3/7812064/ad45515c48b8/TCA-12-259-g002.jpg
https://cdn.ncbi.nlm.nih.gov/pmc/blobs/afb3/7812064/f2a20d483af5/TCA-12-259-g003.jpg
https://cdn.ncbi.nlm.nih.gov/pmc/blobs/afb3/7812064/a8f163df9ff4/TCA-12-259-g004.jpg

相似文献

1
Complete response of squamous cell carcinoma of the lung following treatment with pembrolizumab in an elderly patient: A case report.老年患者接受帕博利珠单抗治疗后肺鳞状细胞癌完全缓解:一例报告。
Thorac Cancer. 2021 Jan;12(2):259-263. doi: 10.1111/1759-7714.13733. Epub 2020 Nov 10.
2
A single dose of pembrolizumab treatment causing a profound and durable response in lung cancer.帕博利珠单抗单剂治疗导致肺癌产生深远且持久的应答。
Thorac Cancer. 2022 Feb;13(4):648-652. doi: 10.1111/1759-7714.14314. Epub 2022 Jan 12.
3
Safety and efficacy of pembrolizumab monotherapy in elderly patients with PD-L1-positive advanced non-small-cell lung cancer: Pooled analysis from the KEYNOTE-010, KEYNOTE-024, and KEYNOTE-042 studies.帕博利珠单抗单药治疗 PD-L1 阳性晚期非小细胞肺癌老年患者的安全性和有效性:来自 KEYNOTE-010、KEYNOTE-024 和 KEYNOTE-042 研究的汇总分析。
Lung Cancer. 2019 Sep;135:188-195. doi: 10.1016/j.lungcan.2019.07.004. Epub 2019 Jul 8.
4
Efficacy and safety of first-line pembrolizumab monotherapy in elderly patients (aged ≥ 75 years) with non-small cell lung cancer.一线帕博利珠单抗单药治疗高龄(≥75 岁)非小细胞肺癌患者的疗效和安全性。
J Cancer Res Clin Oncol. 2020 Feb;146(2):457-466. doi: 10.1007/s00432-019-03072-1. Epub 2019 Dec 18.
5
Pembrolizumab plus chemotherapy versus chemotherapy alone in patients with advanced non-small cell lung cancer without tumor PD-L1 expression: A pooled analysis of 3 randomized controlled trials.帕博利珠单抗联合化疗对比单纯化疗用于无肿瘤 PD-L1 表达的晚期非小细胞肺癌患者:3 项随机对照研究的汇总分析。
Cancer. 2020 Nov 15;126(22):4867-4877. doi: 10.1002/cncr.33142. Epub 2020 Sep 11.
6
Real-World Efficacy of First-Line Pembrolizumab in Patients With Advanced or Recurrent Non-Small-Cell Lung Cancer and High PD-L1 Tumor Expression.一线帕博利珠单抗治疗高 PD-L1 肿瘤表达的晚期或复发性非小细胞肺癌患者的真实世界疗效。
Clin Lung Cancer. 2020 Sep;21(5):e366-e379. doi: 10.1016/j.cllc.2020.02.017. Epub 2020 Feb 26.
7
Pulmonary pleomorphic carcinoma in an elderly patient treated with pembrolizumab shows a marked response.老年患者的肺多形性癌经帕博利珠单抗治疗后显示出显著的缓解。
J Cancer Res Ther. 2021 Oct-Dec;17(6):1580-1582. doi: 10.4103/jcrt.JCRT_361_19.
8
[An elderly case of squamous cell lung cancer treated continuously with pembrolizumab without any decline in the life function].[一例老年肺鳞状细胞癌患者持续接受帕博利珠单抗治疗,生活功能未出现任何下降]
Nihon Ronen Igakkai Zasshi. 2018;55(4):679-685. doi: 10.3143/geriatrics.55.679.
9
Clinical outcomes in non-small cell lung cancer patients with an ultra-high expression of programmed death ligand-1 treated using pembrolizumab as a first-line therapy: A retrospective multicenter cohort study in Japan.帕博利珠单抗作为一线治疗药物治疗程序性死亡配体-1 超高表达的非小细胞肺癌患者的临床结局:日本多中心回顾性队列研究。
PLoS One. 2019 Jul 31;14(7):e0220570. doi: 10.1371/journal.pone.0220570. eCollection 2019.
10
Cost-effectiveness analysis of pembrolizumab versus standard-of-care chemotherapy for first-line treatment of PD-L1 positive (>50%) metastatic squamous and non-squamous non-small cell lung cancer in France.帕博利珠单抗对比标准治疗化疗用于 PD-L1 阳性(>50%)转移性鳞状和非鳞状非小细胞肺癌一线治疗的成本效果分析。在法国。
Lung Cancer. 2019 Jan;127:44-52. doi: 10.1016/j.lungcan.2018.11.008. Epub 2018 Nov 23.

引用本文的文献

1
Pathologic complete response of hepatoid adenocarcinoma of the stomach after chemo-immunotherapy: A rare case report and literature review.胃肝样腺癌化疗免疫治疗后病理完全缓解:1例罕见病例报告及文献复习
Front Surg. 2023 Mar 30;10:1133335. doi: 10.3389/fsurg.2023.1133335. eCollection 2023.
2
Immunotherapy in Elderly Patients Affected by Non-Small Cell Lung Cancer: A Narrative Review.老年非小细胞肺癌患者的免疫治疗:一项叙述性综述
J Clin Med. 2023 Feb 24;12(5):1833. doi: 10.3390/jcm12051833.
3
Dramatic, significant metabolic response to a one-time pembrolizumab treatment following a relapse of pre-existing organizing pneumonia in a patient with advanced non-small cell lung cancer: A case report.

本文引用的文献

1
A randomized phase III study comparing continuation and discontinuation of PD-1 pathway inhibitors for patients with advanced non-small-cell lung cancer (JCOG1701, SAVE study).一项比较晚期非小细胞肺癌患者继续或停止 PD-1 通路抑制剂治疗的随机 III 期研究(JCOG1701,SAVE 研究)。
Jpn J Clin Oncol. 2020 Jul 9;50(7):821-825. doi: 10.1093/jjco/hyaa054.
2
Duration of nivolumab for pretreated, advanced non-small-cell lung cancer.纳武利尤单抗治疗预处理的晚期非小细胞肺癌的持续时间。
Cancer Med. 2020 Oct;9(19):6923-6932. doi: 10.1002/cam4.3120. Epub 2020 May 15.
3
Pembrolizumab for Previously Untreated Patients with Advanced Non-small-cell Lung Cancer and Preexisting Interstitial Lung Disease.
患者为晚期非小细胞肺癌,在原有机化性肺炎复发后,单次帕博利珠单抗治疗后出现显著代谢反应:一例病例报告。
Thorac Cancer. 2021 Nov;12(22):3076-3079. doi: 10.1111/1759-7714.14185. Epub 2021 Oct 6.
帕博利珠单抗用于既往未治疗的晚期非小细胞肺癌合并间质性肺疾病患者。
Intern Med. 2020 Aug 15;59(16):1939-1945. doi: 10.2169/internalmedicine.4552-20. Epub 2020 May 8.
4
Treatment discontinuation and re-initiation of anti-PD-(L)1 agents in metastatic cancers.抗 PD-(L)1 药物在转移性癌症中的停药和重新启动。
J Cancer Res Clin Oncol. 2020 Aug;146(8):2153-2160. doi: 10.1007/s00432-020-03217-7. Epub 2020 Apr 18.
5
Drastic healing process after pembrolizumab monotherapy in a case of advanced squamous cell carcinoma with severe bronchial stenosis observed over a two-year period using continuous bronchoscopy: A case report.在连续支气管镜检查下观察到一例晚期鳞状细胞癌伴严重支气管狭窄的患者,经过两年的帕博利珠单抗单药治疗后出现了显著的愈合过程:一例病例报告。
Thorac Cancer. 2020 May;11(5):1339-1343. doi: 10.1111/1759-7714.13390. Epub 2020 Mar 6.
6
Drastic Response of Rechallenge of Nivolumab in a Patient with NSCLC Who Progressed on the First Nivolumab Treatment.在首次使用纳武利尤单抗治疗时病情进展的非小细胞肺癌患者中,再次使用纳武利尤单抗后的剧烈反应。
J Thorac Oncol. 2020 Jan;15(1):e20-e22. doi: 10.1016/j.jtho.2019.10.012.
7
Exceptional response of brain metastases to short course nivolumab while on high-dose steroids.脑转移瘤在大剂量使用类固醇激素的同时对短期使用纳武单抗有显著反应。
Neth J Med. 2019 Dec;77(9):338-340.
8
Four-Year Lasting Sustained Complete Response After Nivolumab in a Patient With Non-Small-Cell Lung Cancer and Confirmed Leptomeningeal Carcinomatosis: Changing the Paradigm.一名非小细胞肺癌合并确诊软脑膜癌病患者接受纳武利尤单抗治疗后出现四年持续完全缓解:改变治疗模式
Clin Lung Cancer. 2020 Jan;21(1):e1-e5. doi: 10.1016/j.cllc.2019.07.012. Epub 2019 Aug 3.
9
PD-L1 expression on tumor-infiltrating immune cells is highly associated with M2 TAM and aggressive malignant potential in patients with resected non-small cell lung cancer.肿瘤浸润免疫细胞的 PD-L1 表达与 M2 TAM 高度相关,并与接受手术切除的非小细胞肺癌患者侵袭性恶性潜能相关。
Lung Cancer. 2019 Oct;136:136-144. doi: 10.1016/j.lungcan.2019.08.023. Epub 2019 Aug 31.
10
Durable response after discontinuation of nivolumab therapy in the absence of disease progression or toxicity with two advanced NSCLC patients.两名晚期非小细胞肺癌患者在停止纳武单抗治疗后出现持久反应,且无疾病进展或毒性反应。
J Oncol Pharm Pract. 2020 Apr;26(3):761-767. doi: 10.1177/1078155219867131. Epub 2019 Aug 18.