Cell Biology and Gene Expression Section, National Institute on Aging, National Institutes of Health, Bethesda, MD 20892, USA.
Cell Biology and Neurobiology Branch, National Institute of Child Health and Human Development, National Institutes of Health, Bethesda, MD 20892, USA.
Sci Adv. 2020 Nov 11;6(46). doi: 10.1126/sciadv.abb2454. Print 2020 Nov.
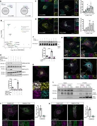
Genetic variation around the LRRK2 gene affects risk of both familial and sporadic Parkinson's disease (PD). However, the biological functions of LRRK2 remain incompletely understood. Here, we report that LRRK2 is recruited to lysosomes after exposure of cells to the lysosome membrane-rupturing agent LLOME. Using an unbiased proteomic screen, we identified the motor adaptor protein JIP4 as an LRRK2 partner at the lysosomal membrane. LRRK2 can recruit JIP4 to lysosomes in a kinase-dependent manner via the phosphorylation of RAB35 and RAB10. Using super-resolution live-cell imaging microscopy and FIB-SEM, we demonstrate that JIP4 promotes the formation of LAMP1-negative tubules that release membranous content from lysosomes. Thus, we describe a new process orchestrated by LRRK2, which we name LYTL (LYsosomal Tubulation/sorting driven by LRRK2), by which lysosomal tubulation is used to release vesicles from lysosomes. Given the central role of the lysosome in PD, LYTL is likely to be disease relevant.
LRRK2 基因周围的遗传变异会影响家族性和散发性帕金森病 (PD) 的风险。然而,LRRK2 的生物学功能仍不完全清楚。在这里,我们报告说,细胞暴露于溶酶体膜破裂剂 LLOME 后,LRRK2 会被招募到溶酶体中。通过使用无偏的蛋白质组学筛选,我们鉴定出运动衔接蛋白 JIP4 是溶酶体膜上 LRRK2 的伴侣。LRRK2 可以通过 RAB35 和 RAB10 的磷酸化以激酶依赖的方式将 JIP4 招募到溶酶体中。使用超分辨率活细胞成像显微镜和 FIB-SEM,我们证明 JIP4 促进了形成 LAMP1 阴性小管,从小泡中释放溶酶体膜的内容物。因此,我们描述了由 LRRK2 协调的一个新过程,我们将其命名为 LYTL(由 LRRK2 驱动的溶酶体小管化/分选),通过该过程,溶酶体小管化被用来从小泡中释放小泡。鉴于溶酶体在 PD 中的核心作用,LYTL 可能与疾病相关。