• 文献检索
  • 文档翻译
  • 深度研究
  • 学术资讯
  • Suppr Zotero 插件Zotero 插件
  • 邀请有礼
  • 套餐&价格
  • 历史记录
应用&插件
Suppr Zotero 插件Zotero 插件浏览器插件Mac 客户端Windows 客户端微信小程序
定价
高级版会员购买积分包购买API积分包
服务
文献检索文档翻译深度研究API 文档MCP 服务
关于我们
关于 Suppr公司介绍联系我们用户协议隐私条款
关注我们

Suppr 超能文献

核心技术专利:CN118964589B侵权必究
粤ICP备2023148730 号-1Suppr @ 2026

文献检索

告别复杂PubMed语法,用中文像聊天一样搜索,搜遍4000万医学文献。AI智能推荐,让科研检索更轻松。

立即免费搜索

文件翻译

保留排版,准确专业,支持PDF/Word/PPT等文件格式,支持 12+语言互译。

免费翻译文档

深度研究

AI帮你快速写综述,25分钟生成高质量综述,智能提取关键信息,辅助科研写作。

立即免费体验

古德综合征的非典型表现:乙型肝炎病毒再激活所致急性肝炎

Atypical presentation of Good syndrome: acute hepatitis from hepatitis B virus reactivation.

作者信息

Lai Yi Wye, Tan Teck-Choon

机构信息

Tan Tock Seng Hospital, Internal Medicine, Singapore.

Khoo Teck Puat Hospital, Division of Rheumatology, Allergy and Immunology, Department of General Mediine, Singapore.

出版信息

Asia Pac Allergy. 2020 Oct 20;10(4):e37. doi: 10.5415/apallergy.2020.10.e37. eCollection 2020 Oct.

DOI:10.5415/apallergy.2020.10.e37
PMID:33178562
原文链接:https://pmc.ncbi.nlm.nih.gov/articles/PMC7610089/
Abstract

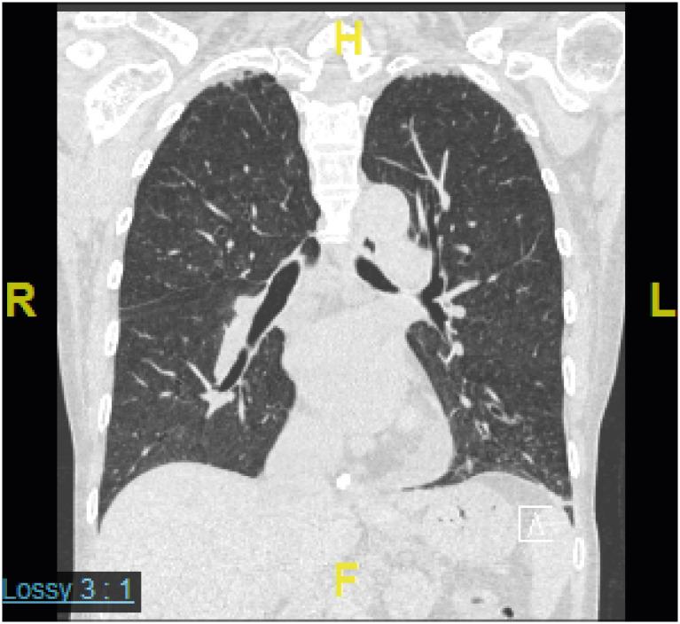
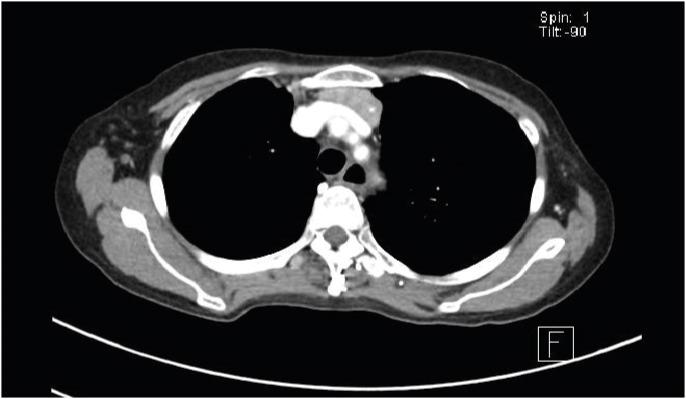
Good syndrome (GS) is a primary immunodeficiency (PID) that presents in middle aged to older adults with features of thymoma, hypogammaglobulinemia, CD4 T lymphopenia, inverted CD4/CD8+ ratio, and impaired T-cell mitogen proliferative responses. We present a patient, a 62-year-old female, who first presented with disease manifestation of acute hepatitis from hepatitis B virus (HBV) reactivation, which was subsequently complicated by recurrent hospitalizations for recurrent pneumonia and concomitant and cytomegalovirus enteritis. She was later found to have thymoma and hypogammaglobulinemia and was diagnosed with GS. Although the well-known importance of T cell is in directing B-cell responses in the immunopathology of thymoma, low levels of natural killer and CD4+ γδ T cells may also be the cause of both low immune surveillance of tumor development and weak clearance of viral infection. Hence, the temporal sequence of opportunistic infections following HBV reactivation and thymoma discovery may reflect a loss of immune surveillance as the first manifestation of PID.

摘要

古德综合征(GS)是一种原发性免疫缺陷病(PID),多见于中老年人,伴有胸腺瘤、低丙种球蛋白血症、CD4 T淋巴细胞减少、CD4/CD8 +比值倒置以及T细胞丝裂原增殖反应受损等特征。我们报告一例62岁女性患者,最初表现为乙型肝炎病毒(HBV)再激活导致的急性肝炎,随后因反复肺炎和巨细胞病毒性肠炎反复发作而多次住院。后来发现她患有胸腺瘤和低丙种球蛋白血症,被诊断为GS。虽然T细胞在胸腺瘤免疫病理学中指导B细胞反应的重要性已广为人知,但自然杀伤细胞和CD4 +γδT细胞水平较低也可能是肿瘤发生的免疫监视低下和病毒感染清除能力减弱的原因。因此,HBV再激活后机会性感染与发现胸腺瘤的时间顺序可能反映了作为PID首发表现的免疫监视丧失。

https://cdn.ncbi.nlm.nih.gov/pmc/blobs/1ba7/7610089/772722320d25/apa-10-e37-g005.jpg
https://cdn.ncbi.nlm.nih.gov/pmc/blobs/1ba7/7610089/a5ca4ef80ed3/apa-10-e37-g001.jpg
https://cdn.ncbi.nlm.nih.gov/pmc/blobs/1ba7/7610089/f4e1efe0b183/apa-10-e37-g002.jpg
https://cdn.ncbi.nlm.nih.gov/pmc/blobs/1ba7/7610089/cea2a644419f/apa-10-e37-g003.jpg
https://cdn.ncbi.nlm.nih.gov/pmc/blobs/1ba7/7610089/1ae1fc8e3837/apa-10-e37-g004.jpg
https://cdn.ncbi.nlm.nih.gov/pmc/blobs/1ba7/7610089/772722320d25/apa-10-e37-g005.jpg
https://cdn.ncbi.nlm.nih.gov/pmc/blobs/1ba7/7610089/a5ca4ef80ed3/apa-10-e37-g001.jpg
https://cdn.ncbi.nlm.nih.gov/pmc/blobs/1ba7/7610089/f4e1efe0b183/apa-10-e37-g002.jpg
https://cdn.ncbi.nlm.nih.gov/pmc/blobs/1ba7/7610089/cea2a644419f/apa-10-e37-g003.jpg
https://cdn.ncbi.nlm.nih.gov/pmc/blobs/1ba7/7610089/1ae1fc8e3837/apa-10-e37-g004.jpg
https://cdn.ncbi.nlm.nih.gov/pmc/blobs/1ba7/7610089/772722320d25/apa-10-e37-g005.jpg

相似文献

1
Atypical presentation of Good syndrome: acute hepatitis from hepatitis B virus reactivation.古德综合征的非典型表现:乙型肝炎病毒再激活所致急性肝炎
Asia Pac Allergy. 2020 Oct 20;10(4):e37. doi: 10.5415/apallergy.2020.10.e37. eCollection 2020 Oct.
2
Infections in patients with immunodeficiency with thymoma (Good syndrome). Report of 5 cases and review of the literature.胸腺瘤合并免疫缺陷患者的感染(古德综合征)。5例报告及文献复习。
Medicine (Baltimore). 2001 Mar;80(2):123-33. doi: 10.1097/00005792-200103000-00005.
3
Severe T- and B-cell immune deficiency associated with malignant thymoma.与恶性胸腺瘤相关的严重T细胞和B细胞免疫缺陷。
Ann Allergy Asthma Immunol. 2003 Nov;91(5):501-5. doi: 10.1016/S1081-1206(10)61522-0.
4
Thymoma and immunodeficiency (Good syndrome): a report of 2 unusual cases and review of the literature.胸腺瘤与免疫缺陷(古德综合征):2例罕见病例报告及文献复习
Ann Allergy Asthma Immunol. 2007 Feb;98(2):185-90. doi: 10.1016/S1081-1206(10)60695-3.
5
Clinicopathologic features of Good's syndrome: Two cases and literature review.古德综合征的临床病理特征:两例病例及文献综述
Open Med (Wars). 2021 Apr 1;16(1):532-539. doi: 10.1515/med-2021-0256. eCollection 2021.
6
[Thymoma with immunodeficiency/Good syndrome associated with myasthenia gravis].[胸腺瘤伴免疫缺陷/古德综合征合并重症肌无力]
Rinsho Shinkeigaku. 2017 May 27;57(5):208-213. doi: 10.5692/clinicalneurol.cn-000984. Epub 2017 Apr 27.
7
Combined GS-4774 and Tenofovir Therapy Can Improve HBV-Specific T-Cell Responses in Patients With Chronic Hepatitis.联合 GS-4774 和替诺福韦治疗可改善慢性乙型肝炎患者的乙型肝炎病毒特异性 T 细胞应答。
Gastroenterology. 2019 Jul;157(1):227-241.e7. doi: 10.1053/j.gastro.2019.03.044. Epub 2019 Mar 28.
8
[Hypogammaglobulinemia and thymoma (Good's syndrome): a case report and a literature review].[低丙种球蛋白血症与胸腺瘤(古德综合征):一例病例报告及文献综述]
Ann Ital Med Int. 2005 Jan-Mar;20(1):58-61.
9
Good's Syndrome-Association of the Late Onset Combined Immunodeficiency with Thymoma: Review of Literature and Case Report.古德综合征——迟发性联合免疫缺陷与胸腺瘤的关联:文献综述及病例报告
Iran J Allergy Asthma Immunol. 2018 Feb;17(1):85-93.
10
Thymoma, immunodeficiency, and herpes simplex virus infections.胸腺瘤、免疫缺陷与单纯疱疹病毒感染。
Med Mal Infect. 2009 May;39(5):344-7. doi: 10.1016/j.medmal.2009.01.008. Epub 2009 Mar 9.

引用本文的文献

1
Unusual presentation of cytomegalovirus and varicella-zoster virus infection in a patient with good's syndrome: A case report.一名患有古德综合征患者的巨细胞病毒和水痘-带状疱疹病毒感染的不寻常表现:病例报告
Radiol Case Rep. 2024 Sep 26;19(12):6474-6478. doi: 10.1016/j.radcr.2024.09.013. eCollection 2024 Dec.
2
[Patient with Good's syndrome and COVID-19. Report of a clinical case].[患有古德综合征和新冠病毒病的患者。一例临床病例报告]
Rev Med Inst Mex Seguro Soc. 2022 Jul 4;60(4):474-479.
3
When the Good Syndrome Goes Bad: A Systematic Literature Review.

本文引用的文献

1
Clinical and laboratory features of seventy-eight UK patients with Good's syndrome (thymoma and hypogammaglobulinaemia).78 例英国 Good 综合征(胸腺瘤和低丙种球蛋白血症)患者的临床和实验室特征。
Clin Exp Immunol. 2019 Jan;195(1):132-138. doi: 10.1111/cei.13216. Epub 2018 Oct 21.
2
International Union of Immunological Societies: 2017 Primary Immunodeficiency Diseases Committee Report on Inborn Errors of Immunity.国际免疫学联合会:2017 年原发性免疫缺陷疾病委员会关于免疫先天错误的报告。
J Clin Immunol. 2018 Jan;38(1):96-128. doi: 10.1007/s10875-017-0464-9. Epub 2017 Dec 11.
3
Characteristics of Good's Syndrome in China: A Systematic Review.
当“好综合征”变得糟糕:系统文献回顾。
Front Immunol. 2021 May 25;12:679556. doi: 10.3389/fimmu.2021.679556. eCollection 2021.
4
The way we communicate in allergy.我们在过敏领域的沟通方式。
Asia Pac Allergy. 2020 Oct 30;10(4):e45. doi: 10.5415/apallergy.2020.10.e45. eCollection 2020 Oct.
中国的古德综合征特征:一项系统评价
Chin Med J (Engl). 2017 Jul 5;130(13):1604-1609. doi: 10.4103/0366-6999.208234.
4
Prognosis of Good syndrome: mortality and morbidity of thymoma associated immunodeficiency in perspective.“好综合征”的预后:胸腺oma相关免疫缺陷的死亡率和发病率展望
Clin Immunol. 2016 Oct;171:12-17. doi: 10.1016/j.clim.2016.07.025. Epub 2016 Aug 4.
5
Good's Syndrome Patients Hospitalized for Infections: A Single-Center Retrospective Study.因感染住院的古德综合征患者:一项单中心回顾性研究。
Medicine (Baltimore). 2015 Nov;94(47):e2090. doi: 10.1097/MD.0000000000002090.
6
Good syndrome: an adult-onset immunodeficiency remarkable for its high incidence of invasive infections and autoimmune complications.Good 综合征:一种成人发病的免疫缺陷病,其特点是侵袭性感染和自身免疫并发症的发病率高。
Clin Infect Dis. 2015 Jul 15;61(2):e13-9. doi: 10.1093/cid/civ269. Epub 2015 Mar 31.
7
Good syndrome, bad problem.综合征虽好,但问题棘手。
Front Oncol. 2014 Nov 10;4:307. doi: 10.3389/fonc.2014.00307. eCollection 2014.
8
Recent US Food and Drug Administration warnings on hepatitis B reactivation with immune-suppressing and anticancer drugs: just the tip of the iceberg?美国食品药品监督管理局近期就免疫抑制药物和抗癌药物引发的乙型肝炎再激活发出警告:这只是冰山一角吗?
Hepatology. 2015 Feb;61(2):703-11. doi: 10.1002/hep.27609.
9
BAFF-R mutations in Good's syndrome.古德综合征中的BAFF-R突变。
Clin Immunol. 2014 Jul;153(1):91-3. doi: 10.1016/j.clim.2014.04.002. Epub 2014 Apr 13.
10
Clinical picture and treatment of 2212 patients with common variable immunodeficiency.2212 例普通变异性免疫缺陷患者的临床特征及治疗。
J Allergy Clin Immunol. 2014 Jul;134(1):116-26. doi: 10.1016/j.jaci.2013.12.1077. Epub 2014 Feb 28.