Shanks Allison, Laun Jake, Holstein Amanda, Varshney Saksham, Messina Jane, Cruse Carl Wayne
Department of Plastic Surgery, University of South Florida, Tampa, FL, USA.
Morsani College of Medicine, University of South Florida, Tampa, FL, USA.
Case Reports Plast Surg Hand Surg. 2020 Oct 19;7(1):124-129. doi: 10.1080/23320885.2020.1833334.
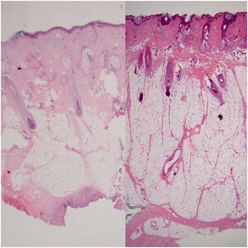
Muir-Torre syndrome (MTS) a genetic disorder characterized by predisposition to cutaneous neoplasms. Lipedematous scalp is characterized by the presentation of a thick, sponge-like scalp due to the altered and increased deposition of adipose tissue. We present a case of Muir-Torre-associated sebaceous carcinoma of the scalp consistent with a lipedematous scalp.
穆尔-托雷综合征(MTS)是一种遗传性疾病,其特征是易患皮肤肿瘤。脂性头皮的特征是由于脂肪组织沉积改变和增加,出现厚的、海绵状的头皮。我们报告一例与穆尔-托雷综合征相关的头皮皮脂腺癌,伴有脂性头皮。