Suppr超能文献

先天性脂肪性脱发:补充先天性脱发的鉴别诊断。

Congenital lipedematous alopecia: adding to the differential diagnosis of congenital alopecia.

作者信息

Lee Hae-Eul, Kim Sue-Jeong, Im Myung, Kim Chang-Deok, Seo Young-Joon, Lee Jeung-Hoon, Lee Young

机构信息

Department of Dermatology, Chungnam National University School of Medicine, Daejeon, Korea.

出版信息

Ann Dermatol. 2015 Feb;27(1):87-9. doi: 10.5021/ad.2015.27.1.87. Epub 2015 Feb 3.

Abstract

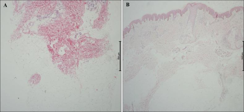
Lipedematous alopecia is a rare condition of unknown etiology characterized by a thick boggy scalp with varying degrees of hair loss. It is usually seen in adult African-American females, and a case in a 9-year-old was the youngest patient reported thus far. We report on the appearance of this condition in two children, a 6-year-old child and a 10-year-old child. Each presented with congenital patchy hair loss on the occipital area and the left temple. A boggy hairless scalp with soft swelling was detected in both patients. Histological examination showed increased thickness of the subcutaneous fat tissue with a decrease in hair follicles. These features were consistent with a diagnosis of lipedematous alopecia. We report two cases of congenital lipedematous alopecia, which has not been reported previously. Although congenital, these distinct clinical features should be kept in mind in the diagnosis of alopecic hair loss.

摘要

脂肪性水肿性脱发是一种病因不明的罕见病症,其特征为头皮增厚、松软,伴有不同程度的脱发。该病通常见于成年非裔美国女性,有报道的最年轻患者为一名9岁儿童。我们报告了两例儿童脂肪性水肿性脱发病例,分别为一名6岁儿童和一名10岁儿童。两名患儿均表现为枕部和左侧颞部先天性斑片状脱发。检查发现两名患者头皮均松软、无毛且肿胀。组织学检查显示皮下脂肪组织增厚,毛囊减少。这些特征符合脂肪性水肿性脱发的诊断。我们报告了两例先天性脂肪性水肿性脱发病例,此前尚无相关报道。尽管是先天性的,但在诊断脱发时应牢记这些独特的临床特征。

https://cdn.ncbi.nlm.nih.gov/pmc/blobs/1257/4323610/416fe270a670/ad-27-87-g001.jpg

文献AI研究员

20分钟写一篇综述,助力文献阅读效率提升50倍。

立即体验

用中文搜PubMed

大模型驱动的PubMed中文搜索引擎

马上搜索

文档翻译

学术文献翻译模型,支持多种主流文档格式。

立即体验