• 文献检索
  • 文档翻译
  • 深度研究
  • 学术资讯
  • Suppr Zotero 插件Zotero 插件
  • 邀请有礼
  • 套餐&价格
  • 历史记录
应用&插件
Suppr Zotero 插件Zotero 插件浏览器插件Mac 客户端Windows 客户端微信小程序
定价
高级版会员购买积分包购买API积分包
服务
文献检索文档翻译深度研究API 文档MCP 服务
关于我们
关于 Suppr公司介绍联系我们用户协议隐私条款
关注我们

Suppr 超能文献

核心技术专利:CN118964589B侵权必究
粤ICP备2023148730 号-1Suppr @ 2026

文献检索

告别复杂PubMed语法,用中文像聊天一样搜索,搜遍4000万医学文献。AI智能推荐,让科研检索更轻松。

立即免费搜索

文件翻译

保留排版,准确专业,支持PDF/Word/PPT等文件格式,支持 12+语言互译。

免费翻译文档

深度研究

AI帮你快速写综述,25分钟生成高质量综述,智能提取关键信息,辅助科研写作。

立即免费体验

泛素-蛋白酶体系统对全基因组核苷酸切除修复中 DNA 损伤识别的功能影响。

Functional impacts of the ubiquitin-proteasome system on DNA damage recognition in global genome nucleotide excision repair.

机构信息

Biosignal Research Center, Kobe University, Kobe, 657-8501, Japan.

Graduate School of Science, Kobe University, Kobe, 657-8501, Japan.

出版信息

Sci Rep. 2020 Nov 12;10(1):19704. doi: 10.1038/s41598-020-76898-2.

DOI:10.1038/s41598-020-76898-2
PMID:33184426
原文链接:https://pmc.ncbi.nlm.nih.gov/articles/PMC7665181/
Abstract

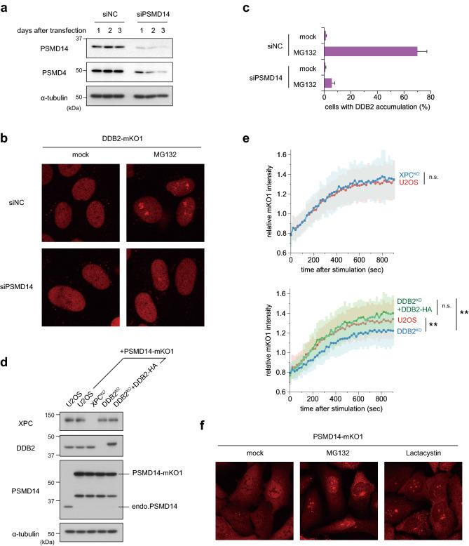
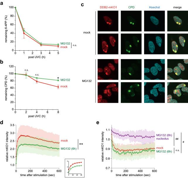
The ubiquitin-proteasome system (UPS) plays crucial roles in regulation of various biological processes, including DNA repair. In mammalian global genome nucleotide excision repair (GG-NER), activation of the DDB2-associated ubiquitin ligase upon UV-induced DNA damage is necessary for efficient recognition of lesions. To date, however, the precise roles of UPS in GG-NER remain incompletely understood. Here, we show that the proteasome subunit PSMD14 and the UPS shuttle factor RAD23B can be recruited to sites with UV-induced photolesions even in the absence of XPC, suggesting that proteolysis occurs at DNA damage sites. Unexpectedly, sustained inhibition of proteasome activity results in aggregation of PSMD14 (presumably with other proteasome components) at the periphery of nucleoli, by which DDB2 is immobilized and sequestered from its lesion recognition functions. Although depletion of PSMD14 alleviates such DDB2 immobilization induced by proteasome inhibitors, recruitment of DDB2 to DNA damage sites is then severely compromised in the absence of PSMD14. Because all of these proteasome dysfunctions selectively impair removal of cyclobutane pyrimidine dimers, but not (6-4) photoproducts, our results indicate that the functional integrity of the proteasome is essential for the DDB2-mediated lesion recognition sub-pathway, but not for GG-NER initiated through direct lesion recognition by XPC.

摘要

泛素-蛋白酶体系统(UPS)在调节各种生物学过程中发挥着关键作用,包括 DNA 修复。在哺乳动物全基因组核苷酸切除修复(GG-NER)中,DDB2 相关泛素连接酶在 UV 诱导的 DNA 损伤后被激活,对于有效识别损伤至关重要。然而,迄今为止,UPS 在 GG-NER 中的精确作用仍不完全清楚。在这里,我们表明,蛋白酶体亚基 PSMD14 和 UPS 穿梭因子 RAD23B 可以在没有 XPC 的情况下被招募到 UV 诱导的光损伤部位,这表明蛋白酶体在 DNA 损伤部位发生了降解。出乎意料的是,持续抑制蛋白酶体活性会导致 PSMD14(推测与其他蛋白酶体成分)在核仁外围聚集,从而使 DDB2 固定并与其损伤识别功能隔离。尽管 PSMD14 的耗竭减轻了蛋白酶体抑制剂诱导的这种 DDB2 固定,但在没有 PSMD14 的情况下,DDB2 招募到 DNA 损伤部位的能力则严重受损。由于所有这些蛋白酶体功能障碍选择性地损害了环丁烷嘧啶二聚体的去除,但不影响(6-4)光产物,我们的结果表明,蛋白酶体的功能完整性对于 DDB2 介导的损伤识别亚途径至关重要,但对于 XPC 直接识别损伤启动的 GG-NER 则不重要。

https://cdn.ncbi.nlm.nih.gov/pmc/blobs/e54c/7665181/4c7dd317bc89/41598_2020_76898_Fig7_HTML.jpg
https://cdn.ncbi.nlm.nih.gov/pmc/blobs/e54c/7665181/8c4e791c217e/41598_2020_76898_Fig1_HTML.jpg
https://cdn.ncbi.nlm.nih.gov/pmc/blobs/e54c/7665181/387fd5293898/41598_2020_76898_Fig2_HTML.jpg
https://cdn.ncbi.nlm.nih.gov/pmc/blobs/e54c/7665181/49a7eb36c677/41598_2020_76898_Fig3_HTML.jpg
https://cdn.ncbi.nlm.nih.gov/pmc/blobs/e54c/7665181/66779ce61861/41598_2020_76898_Fig4_HTML.jpg
https://cdn.ncbi.nlm.nih.gov/pmc/blobs/e54c/7665181/9510a9f20a96/41598_2020_76898_Fig5_HTML.jpg
https://cdn.ncbi.nlm.nih.gov/pmc/blobs/e54c/7665181/b4952ddb3a80/41598_2020_76898_Fig6_HTML.jpg
https://cdn.ncbi.nlm.nih.gov/pmc/blobs/e54c/7665181/4c7dd317bc89/41598_2020_76898_Fig7_HTML.jpg
https://cdn.ncbi.nlm.nih.gov/pmc/blobs/e54c/7665181/8c4e791c217e/41598_2020_76898_Fig1_HTML.jpg
https://cdn.ncbi.nlm.nih.gov/pmc/blobs/e54c/7665181/387fd5293898/41598_2020_76898_Fig2_HTML.jpg
https://cdn.ncbi.nlm.nih.gov/pmc/blobs/e54c/7665181/49a7eb36c677/41598_2020_76898_Fig3_HTML.jpg
https://cdn.ncbi.nlm.nih.gov/pmc/blobs/e54c/7665181/66779ce61861/41598_2020_76898_Fig4_HTML.jpg
https://cdn.ncbi.nlm.nih.gov/pmc/blobs/e54c/7665181/9510a9f20a96/41598_2020_76898_Fig5_HTML.jpg
https://cdn.ncbi.nlm.nih.gov/pmc/blobs/e54c/7665181/b4952ddb3a80/41598_2020_76898_Fig6_HTML.jpg
https://cdn.ncbi.nlm.nih.gov/pmc/blobs/e54c/7665181/4c7dd317bc89/41598_2020_76898_Fig7_HTML.jpg

相似文献

1
Functional impacts of the ubiquitin-proteasome system on DNA damage recognition in global genome nucleotide excision repair.泛素-蛋白酶体系统对全基因组核苷酸切除修复中 DNA 损伤识别的功能影响。
Sci Rep. 2020 Nov 12;10(1):19704. doi: 10.1038/s41598-020-76898-2.
2
Cullin 4A-mediated proteolysis of DDB2 protein at DNA damage sites regulates in vivo lesion recognition by XPC.Cullin 4A介导的DNA损伤位点处DDB2蛋白的蛋白水解作用调节XPC在体内对损伤的识别。
J Biol Chem. 2006 May 12;281(19):13404-13411. doi: 10.1074/jbc.M511834200. Epub 2006 Mar 8.
3
Mechanism and regulation of DNA damage recognition in mammalian nucleotide excision repair.哺乳动物核苷酸切除修复中DNA损伤识别的机制与调控
Enzymes. 2019;45:99-138. doi: 10.1016/bs.enz.2019.06.004. Epub 2019 Jul 8.
4
Timely upstream events regulating nucleotide excision repair by ubiquitin-proteasome system: ubiquitin guides the way.及时调控核苷酸切除修复的上游事件:泛素指引方向。
DNA Repair (Amst). 2021 Jul;103:103128. doi: 10.1016/j.dnarep.2021.103128. Epub 2021 May 12.
5
UV radiation-induced SUMOylation of DDB2 regulates nucleotide excision repair.紫外线辐射诱导的DDB2的SUMO化修饰调节核苷酸切除修复。
Carcinogenesis. 2017 Oct 1;38(10):976-985. doi: 10.1093/carcin/bgx076.
6
Poly(ADP-ribose) polymerase 1 escorts XPC to UV-induced DNA lesions during nucleotide excision repair.聚(ADP-核糖)聚合酶 1 在核苷酸切除修复过程中引导 XPC 到 UV 诱导的 DNA 损伤处。
Proc Natl Acad Sci U S A. 2017 Aug 15;114(33):E6847-E6856. doi: 10.1073/pnas.1706981114. Epub 2017 Jul 31.
7
Cellular concentrations of DDB2 regulate dynamic binding of DDB1 at UV-induced DNA damage.DDB2的细胞浓度调节DDB1在紫外线诱导的DNA损伤处的动态结合。
Mol Cell Biol. 2008 Dec;28(24):7402-13. doi: 10.1128/MCB.01108-08. Epub 2008 Oct 20.
8
DNA damage binding protein component DDB1 participates in nucleotide excision repair through DDB2 DNA-binding and cullin 4A ubiquitin ligase activity.DNA损伤结合蛋白组分DDB1通过DDB2的DNA结合和Cullin 4A泛素连接酶活性参与核苷酸切除修复。
Cancer Res. 2006 Sep 1;66(17):8590-7. doi: 10.1158/0008-5472.CAN-06-1115.
9
Molecular basis for damage recognition and verification by XPC-RAD23B and TFIIH in nucleotide excision repair.XPC-RAD23B 和 TFIIH 在核苷酸切除修复中对损伤的识别和验证的分子基础。
DNA Repair (Amst). 2018 Nov;71:33-42. doi: 10.1016/j.dnarep.2018.08.005. Epub 2018 Aug 23.
10
DNA repair factor XPC is modified by SUMO-1 and ubiquitin following UV irradiation.DNA修复因子XPC在紫外线照射后被SUMO-1和泛素修饰。
Nucleic Acids Res. 2005 Jul 19;33(13):4023-34. doi: 10.1093/nar/gki684. Print 2005.

引用本文的文献

1
Prominent fibroblast growth factor 21 with less abundant tumor-associated macrophages in hepatic mass of the conditional mgmt-deleted mice using LysM-Cre system.在使用LysM-Cre系统的条件性mgmt缺失小鼠的肝脏肿块中,成纤维细胞生长因子21显著,而肿瘤相关巨噬细胞较少。
Inflamm Res. 2025 Aug 9;74(1):109. doi: 10.1007/s00011-025-02077-6.
2
Exposure of cells to near-infrared irradiation relaxes chromatin compaction and facilitates recognition of cyclo-butane pyrimidine dimers.将细胞暴露于近红外辐射下可使染色质压缩松弛,并促进对环丁烷嘧啶二聚体的识别。
Sci Rep. 2025 Jul 1;15(1):22312. doi: 10.1038/s41598-025-08763-z.
3
XPC-RAD23B enhances UV-DDB binding to DNA to facilitate lesion search in nucleotide excision repair.

本文引用的文献

1
Mechanism and regulation of DNA damage recognition in mammalian nucleotide excision repair.哺乳动物核苷酸切除修复中DNA损伤识别的机制与调控
Enzymes. 2019;45:99-138. doi: 10.1016/bs.enz.2019.06.004. Epub 2019 Jul 8.
2
Principles of Ubiquitin-Dependent Signaling.泛素依赖性信号转导原理
Annu Rev Cell Dev Biol. 2018 Oct 6;34:137-162. doi: 10.1146/annurev-cellbio-100617-062802. Epub 2018 Aug 15.
3
In Vivo Ubiquitin Linkage-type Analysis Reveals that the Cdc48-Rad23/Dsk2 Axis Contributes to K48-Linked Chain Specificity of the Proteasome.
XPC-RAD23B增强紫外线损伤DNA结合蛋白(UV-DDB)与DNA的结合,以促进核苷酸切除修复中的损伤搜寻。
Nucleic Acids Res. 2025 Jun 6;53(11). doi: 10.1093/nar/gkaf463.
4
Social context prevents heat hormetic effects against mutagens during fish development.社会环境会阻碍鱼类发育过程中热应激对诱变剂的影响。
FEBS Lett. 2025 Apr 23;599(15):2107-28. doi: 10.1002/1873-3468.70047.
5
Genome-scale CRISPR/Cas9 screening reveals the role of in colibactin-mediated cell cycle arrest.全基因组规模的CRISPR/Cas9筛选揭示了[具体内容缺失]在大肠杆菌素介导的细胞周期停滞中的作用。
mSphere. 2025 Mar 25;10(3):e0069224. doi: 10.1128/msphere.00692-24. Epub 2025 Feb 7.
6
Limiting 20S proteasome assembly leads to unbalanced nucleo-cytoplasmic distribution of 26S/30S proteasomes and chronic proteotoxicity.限制20S蛋白酶体组装会导致26S/30S蛋白酶体在核质分布失衡以及慢性蛋白毒性。
iScience. 2024 Oct 4;27(11):111095. doi: 10.1016/j.isci.2024.111095. eCollection 2024 Nov 15.
7
Regulation of Drp1 and enhancement of mitochondrial fission by the deubiquitinating enzyme PSMD14 facilitates the proliferation of bladder cancer cells.去泛素化酶 PSMD14 调控 Drp1 和增强线粒体分裂促进膀胱癌细胞的增殖。
Oncol Rep. 2024 Jan;51(1). doi: 10.3892/or.2023.8665. Epub 2023 Nov 17.
8
Less Severe Polymicrobial Sepsis in Conditional -Deleted Mice Using LysM-Cre System, Impacts of DNA Methylation and MGMT Inhibitor in Sepsis.条件性缺失 LysM-Cre 系统小鼠中严重程度较轻的多微生物性败血症,败血症中 DNA 甲基化和 MGMT 抑制剂的影响。
Int J Mol Sci. 2023 Jun 15;24(12):10175. doi: 10.3390/ijms241210175.
9
Lesion recognition by XPC, TFIIH and XPA in DNA excision repair.XPC、TFIIH 和 XPA 在 DNA 切除修复中的损伤识别。
Nature. 2023 May;617(7959):170-175. doi: 10.1038/s41586-023-05959-z. Epub 2023 Apr 19.
10
A Whole New Comprehension about ncRNA-Encoded Peptides/Proteins in Cancers.关于癌症中ncRNA编码的肽/蛋白质的全新理解
Cancers (Basel). 2022 Oct 23;14(21):5196. doi: 10.3390/cancers14215196.
体内泛素连接类型分析揭示了 Cdc48-Rad23/Dsk2 轴有助于蛋白酶体的 K48 连接链特异性。
Mol Cell. 2017 May 18;66(4):488-502.e7. doi: 10.1016/j.molcel.2017.04.024.
4
Single-Molecule Imaging Reveals that Rad4 Employs a Dynamic DNA Damage Recognition Process.单分子成像揭示Rad4采用动态DNA损伤识别过程。
Mol Cell. 2016 Oct 20;64(2):376-387. doi: 10.1016/j.molcel.2016.09.005. Epub 2016 Oct 6.
5
Structural Insight into the Mechanism of TFIIH Recognition by the Acidic String of the Nucleotide Excision Repair Factor XPC.核苷酸切除修复因子XPC酸性序列识别TFIIH机制的结构洞察
Structure. 2015 Oct 6;23(10):1827-1837. doi: 10.1016/j.str.2015.07.009. Epub 2015 Aug 13.
6
SUMO and ubiquitin-dependent XPC exchange drives nucleotide excision repair.小泛素样修饰物(SUMO)和泛素依赖性XPC交换驱动核苷酸切除修复。
Nat Commun. 2015 Jul 7;6:7499. doi: 10.1038/ncomms8499.
7
SUMOylation of xeroderma pigmentosum group C protein regulates DNA damage recognition during nucleotide excision repair.着色性干皮病C组蛋白的类泛素化修饰在核苷酸切除修复过程中调节DNA损伤识别。
Sci Rep. 2015 Jun 4;5:10984. doi: 10.1038/srep10984.
8
Functional regulation of the DNA damage-recognition factor DDB2 by ubiquitination and interaction with xeroderma pigmentosum group C protein.通过泛素化作用以及与着色性干皮病C组蛋白相互作用对DNA损伤识别因子DDB2进行功能调控。
Nucleic Acids Res. 2015 Feb 18;43(3):1700-13. doi: 10.1093/nar/gkv038. Epub 2015 Jan 27.
9
Kinetic gating mechanism of DNA damage recognition by Rad4/XPC.Rad4/XPC对DNA损伤识别的动力学门控机制
Nat Commun. 2015 Jan 6;6:5849. doi: 10.1038/ncomms6849.
10
Understanding nucleotide excision repair and its roles in cancer and ageing.理解核苷酸切除修复及其在癌症和衰老中的作用。
Nat Rev Mol Cell Biol. 2014 Jul;15(7):465-81. doi: 10.1038/nrm3822.