Suppr超能文献

以ST段抬高型心肌梗死表现的左冠状动脉主干近端动脉瘤经支架置入治疗

Proximal Left Main Coronary Artery Aneurysm Presenting as ST-Elevation Myocardial Infarction Treated by Stenting.

作者信息

Vinod Vijay Chander, Yousif Zuhair Eltayeb, Salim Najat Omer, Majwal Talib

机构信息

Mediclinic City Hospital, Dubai, UAE.

出版信息

Case Rep Cardiol. 2020 Nov 6;2020:8833917. doi: 10.1155/2020/8833917. eCollection 2020.

Abstract

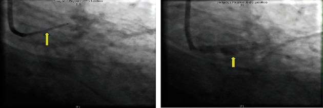
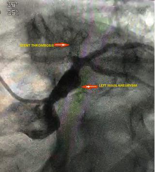
Coronary artery aneurysm (CAA) is a rare cardiac anomaly with a reported incidence of 0.3-4.9% of patients who undergo coronary angiography. The term is used when the coronary artery diameter exceeds more than 50% or 1.5 times the reference diameter. It can be congenital or acquired. The commonest acquired cause in an adult is atherosclerosis and in a child is Kawasaki's disease. The commonest culprit vessel is the Right Coronary Artery (RCA), followed by Left Circumflex (LCx) and Left Anterior Descending (LAD). Left main coronary aneurysms are extremely rare in clinical practice. Coronary angiography is the gold standard procedure, both for diagnosis and treatment. We report a 49-year-old male who presented with anterior wall ST-Elevation Myocardial Infarction (STEMI). The initial angiography showed LAD stent thrombosis, but when the second angiography was done, there was spontaneous recanalization of the LAD. Coronary angiography was performed at our hospital, which revealed a long left main coronary artery aneurysm measuring 9.8 mm-maximum diameter. This was treated with a size 5 × 24 mm Begraft coronary stent.

摘要

冠状动脉瘤(CAA)是一种罕见的心脏异常,在接受冠状动脉造影的患者中报告的发生率为0.3%-4.9%。当冠状动脉直径超过参考直径的50%以上或1.5倍时使用该术语。它可以是先天性的或后天获得的。成人中最常见的后天病因是动脉粥样硬化,儿童中是川崎病。最常见的受累血管是右冠状动脉(RCA),其次是左旋支(LCx)和左前降支(LAD)。左主干冠状动脉瘤在临床实践中极为罕见。冠状动脉造影是诊断和治疗的金标准程序。我们报告一名49岁男性,表现为前壁ST段抬高型心肌梗死(STEMI)。初次血管造影显示LAD支架血栓形成,但在进行第二次血管造影时,LAD出现自发再通。在我们医院进行了冠状动脉造影,显示一个最大直径为9.8毫米的长左主干冠状动脉瘤。使用5×24毫米的Begraft冠状动脉支架对其进行了治疗。

https://cdn.ncbi.nlm.nih.gov/pmc/blobs/05cd/7665934/5b88332adf9f/CRIC2020-8833917.001.jpg

文献检索

告别复杂PubMed语法,用中文像聊天一样搜索,搜遍4000万医学文献。AI智能推荐,让科研检索更轻松。

立即免费搜索

文件翻译

保留排版,准确专业,支持PDF/Word/PPT等文件格式,支持 12+语言互译。

免费翻译文档

深度研究

AI帮你快速写综述,25分钟生成高质量综述,智能提取关键信息,辅助科研写作。

立即免费体验