Suppr超能文献

乳腺骨化生:一例伴有骨分化的化生性乳腺癌病例报告

Bone in the breast: A case report of a metaplastic breast cancer with osseous differentiation.

作者信息

Luo Kyle, Wang Xiaoqin

机构信息

University of Kentucky College of Medicine, 800 Rose Street, MN 150, Lexington, KY 40536, USA.

Department of Radiology and Markey Cancer Center, University of Kentucky, 800 Rose Street, HX-302, Lexington, KY 40536, USA.

出版信息

Radiol Case Rep. 2020 Nov 12;16(1):136-139. doi: 10.1016/j.radcr.2020.11.001. eCollection 2021 Jan.

Abstract

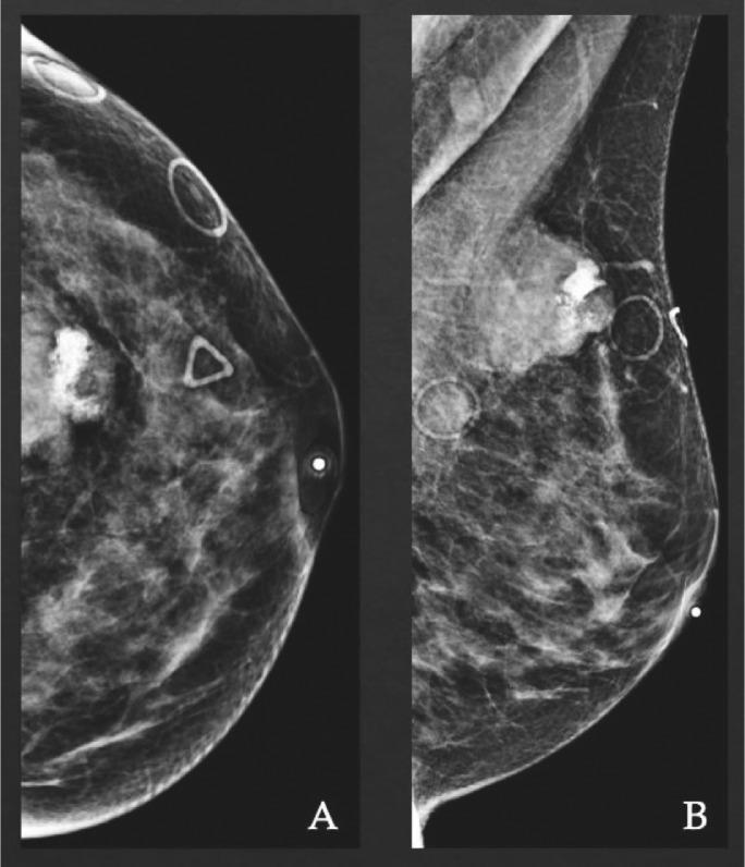
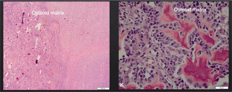
Metaplastic breast carcinoma is an uncommon malignant tumor with various pathologic subtypes. Diagnosis is often challenging due to the wide spectrum of clinical and imaging presentations. Here, we present the case of a very rare subtype of metaplastic breast carcinoma-a mixed-type metaplastic breast cancer with osseous differentiation in a 55-year-old female patient. The clinical presentation, imaging-pathology diagnosis, and treatment options are reviewed. Knowing this rarely reported but aggressive breast cancer is very important for clinicians to establish a timely diagnosis for effective management.

摘要

化生性乳腺癌是一种具有多种病理亚型的罕见恶性肿瘤。由于临床和影像学表现范围广泛,诊断往往具有挑战性。在此,我们报告一例非常罕见的化生性乳腺癌亚型——一名55岁女性患者的伴有骨分化的混合型化生性乳腺癌。本文对其临床表现、影像-病理诊断及治疗选择进行了综述。了解这种罕见但侵袭性强的乳腺癌对于临床医生及时做出诊断以进行有效管理非常重要。

https://cdn.ncbi.nlm.nih.gov/pmc/blobs/9e63/7666369/5fd486d1e2ba/gr1.jpg

文献AI研究员

20分钟写一篇综述,助力文献阅读效率提升50倍。

立即体验

用中文搜PubMed

大模型驱动的PubMed中文搜索引擎

马上搜索

文档翻译

学术文献翻译模型,支持多种主流文档格式。

立即体验