Suppr超能文献

乳腺伴有骨肉瘤分化的化生性癌:病例报告

Metaplastic carcinoma with osteosarcomatous differentiation in the breast: Case report.

作者信息

Asare Belinda, White Marissa Janine, Rossi Joanna

机构信息

Johns Hopkins University School of Medicine, 601 N. Caroline St, Baltimore, MD 21287, USA.

出版信息

Radiol Case Rep. 2023 Sep 23;18(12):4272-4280. doi: 10.1016/j.radcr.2023.08.101. eCollection 2023 Dec.

Abstract

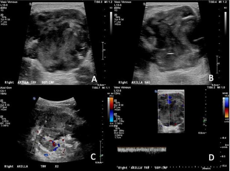
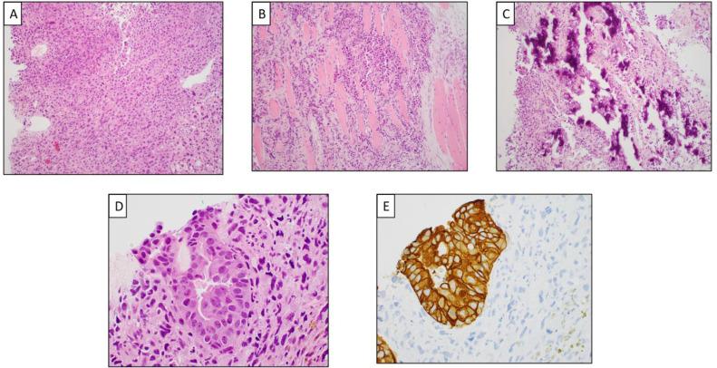
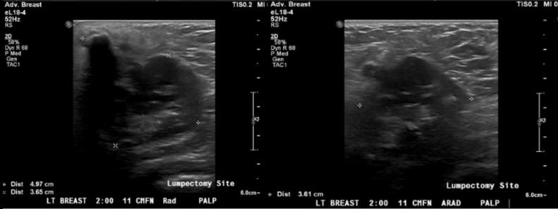
Metaplastic breast carcinoma is rare and may present as a highly aggressive subtype of breast cancer. In this case report of metastatic metaplastic breast carcinoma with osteosarcomatous differentiation in a female patient previously treated for invasive ductal carcinoma, we describe the new presentation of a palpable mass with associated calcifications on imaging near the site of prior partial mastectomy. This article will detail the clinical presentation, imaging findings, histopathology, and clinical course following treatment of our case. Knowledge of the clinical and imaging presentation of this rare subtype, which can present with benign features on mammography and ultrasound, can facilitate timely diagnosis as treatment paradigms evolve.

摘要

化生性乳腺癌较为罕见,可能是一种侵袭性很强的乳腺癌亚型。在本病例报告中,一名曾接受浸润性导管癌治疗的女性患者发生了具有骨肉瘤分化的转移性化生性乳腺癌,我们描述了在先前保乳手术部位附近出现可触及肿块并伴有影像学钙化的新表现。本文将详细介绍我们病例的临床表现、影像学检查结果、组织病理学以及治疗后的临床病程。随着治疗模式的发展,了解这种罕见亚型在乳腺X线摄影和超声检查中可能表现出良性特征的临床和影像学表现,有助于及时诊断。

https://cdn.ncbi.nlm.nih.gov/pmc/blobs/9cb1/10522872/07ae98bbf576/gr1.jpg

文献AI研究员

20分钟写一篇综述,助力文献阅读效率提升50倍。

立即体验

用中文搜PubMed

大模型驱动的PubMed中文搜索引擎

马上搜索

文档翻译

学术文献翻译模型,支持多种主流文档格式。

立即体验