Institute of Developmental Immunology, Biocenter, Medical University of Innsbruck, Innsbruck, Austria.
Department of Biomolecular Health Sciences, Faculty of Veterinary Medicine, Utrecht University, Utrecht, The Netherlands.
EMBO Rep. 2020 Dec 3;21(12):e50893. doi: 10.15252/embr.202050893. Epub 2020 Nov 23.
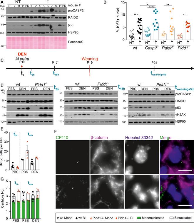
Polyploidization frequently precedes tumorigenesis but also occurs during normal development in several tissues. Hepatocyte ploidy is controlled by the PIDDosome during development and regeneration. This multi-protein complex is activated by supernumerary centrosomes to induce p53 and restrict proliferation of polyploid cells, otherwise prone for chromosomal instability. PIDDosome deficiency in the liver results in drastically increased polyploidy. To investigate PIDDosome-induced p53-activation in the pathogenesis of liver cancer, we chemically induced hepatocellular carcinoma (HCC) in mice. Strikingly, PIDDosome deficiency reduced tumor number and burden, despite the inability to activate p53 in polyploid cells. Liver tumors arise primarily from cells with low ploidy, indicating an intrinsic pro-tumorigenic effect of PIDDosome-mediated ploidy restriction. These data suggest that hyperpolyploidization caused by PIDDosome deficiency protects from HCC. Moreover, high tumor cell density, as a surrogate marker of low ploidy, predicts poor survival of HCC patients receiving liver transplantation. Together, we show that the PIDDosome is a potential therapeutic target to manipulate hepatocyte polyploidization for HCC prevention and that tumor cell density may serve as a novel prognostic marker for recurrence-free survival in HCC patients.
多倍体化经常先于肿瘤发生,但也发生在几个组织的正常发育过程中。在发育和再生过程中,多倍体细胞的 PIDDosome 由多倍体细胞控制。这种多蛋白复合物被多余的中心体激活,诱导 p53 并限制多倍体细胞的增殖,否则多倍体细胞容易发生染色体不稳定。肝脏中 PIDDosome 的缺乏会导致多倍体明显增加。为了研究 PIDDosome 在肝癌发病机制中诱导的 p53 激活,我们在小鼠中化学诱导肝细胞癌 (HCC)。令人惊讶的是,尽管不能在多倍体细胞中激活 p53,但 PIDDosome 缺乏会减少肿瘤数量和负担。肝肿瘤主要来源于低倍体的细胞,表明 PIDDosome 介导的倍性限制具有内在的促肿瘤作用。这些数据表明,PIDDosome 缺乏引起的超多倍体化可预防 HCC。此外,高肿瘤细胞密度作为低倍体的替代标志物,预示着接受肝移植的 HCC 患者的生存不良。总之,我们表明 PIDDosome 是一种潜在的治疗靶点,可以操纵肝细胞多倍体化以预防 HCC,并且肿瘤细胞密度可以作为 HCC 患者无复发生存的新的预后标志物。