• 文献检索
  • 文档翻译
  • 深度研究
  • 学术资讯
  • Suppr Zotero 插件Zotero 插件
  • 邀请有礼
  • 套餐&价格
  • 历史记录
应用&插件
Suppr Zotero 插件Zotero 插件浏览器插件Mac 客户端Windows 客户端微信小程序
定价
高级版会员购买积分包购买API积分包
服务
文献检索文档翻译深度研究API 文档MCP 服务
关于我们
关于 Suppr公司介绍联系我们用户协议隐私条款
关注我们

Suppr 超能文献

核心技术专利:CN118964589B侵权必究
粤ICP备2023148730 号-1Suppr @ 2026

文献检索

告别复杂PubMed语法,用中文像聊天一样搜索,搜遍4000万医学文献。AI智能推荐,让科研检索更轻松。

立即免费搜索

文件翻译

保留排版,准确专业,支持PDF/Word/PPT等文件格式,支持 12+语言互译。

免费翻译文档

深度研究

AI帮你快速写综述,25分钟生成高质量综述,智能提取关键信息,辅助科研写作。

立即免费体验

缰核连接与静脉用氯胺酮治疗抵抗性抑郁症。

Habenula Connectivity and Intravenous Ketamine in Treatment-Resistant Depression.

机构信息

Menninger Department of Psychiatry and Behavioral Sciences, Baylor College of Medicine, Houston, Texas, USA.

Department of Neuroscience, Baylor College of Medicine, Houston, Texas, USA.

出版信息

Int J Neuropsychopharmacol. 2021 May 18;24(5):383-391. doi: 10.1093/ijnp/pyaa089.

DOI:10.1093/ijnp/pyaa089
PMID:33249434
原文链接:https://pmc.ncbi.nlm.nih.gov/articles/PMC8130203/
Abstract

BACKGROUND

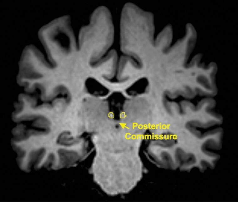
Ketamine's potent and rapid antidepressant properties have shown great promise to treat severe forms of major depressive disorder (MDD). A recently hypothesized antidepressant mechanism of action of ketamine is the inhibition of N-methyl-D-aspartate receptor-dependent bursting activity of the habenula (Hb), a small brain structure that modulates reward and affective states.

METHODS

Resting-state functional magnetic resonance imaging was conducted in 35 patients with MDD at baseline and 24 hours following treatment with i.v. ketamine. A seed-to-voxel functional connectivity (FC) analysis was performed with the Hb as a seed-of-interest. Pre-post changes in FC and the associations between changes in FC of the Hb and depressive symptom severity were examined.

RESULTS

A reduction in Montgomery-Åsberg Depression Rating Scale scores from baseline to 24 hours after ketamine infusion was associated with increased FC between the right Hb and a cluster in the right frontal pole (t = 4.65, P = .03, false discovery rate [FDR]-corrected). A reduction in Quick Inventory of Depressive Symptomatology-Self Report score following ketamine was associated with increased FC between the right Hb and clusters in the right occipital pole (t = 5.18, P < .0001, FDR-corrected), right temporal pole (t = 4.97, P < .0001, FDR-corrected), right parahippocampal gyrus (t = 5.80, P = .001, FDR-corrected), and left lateral occipital cortex (t = 4.73, P = .03, FDR-corrected). Given the small size of the Hb, it is possible that peri-habenular regions contributed to the results.

CONCLUSIONS

These preliminary results suggest that the Hb might be involved in ketamine's antidepressant action in patients with MDD, although these findings are limited by the lack of a control group.

摘要

背景

氯胺酮具有强大而快速的抗抑郁作用,有望治疗重度抑郁症(MDD)。氯胺酮最近提出的一种抗抑郁作用机制是抑制 N-甲基-D-天冬氨酸受体依赖性缰核(Hb)爆发活动,Hb 是调节奖赏和情感状态的一个小的脑结构。

方法

在基线时和静脉注射氯胺酮治疗后 24 小时对 35 例 MDD 患者进行静息态功能磁共振成像。使用 Hb 作为感兴趣区进行种子到体素功能连接(FC)分析。检查 FC 的前后变化以及 Hb 的 FC 变化与抑郁症状严重程度之间的相关性。

结果

与氯胺酮输注后 24 小时相比,蒙哥马利-阿斯伯格抑郁评定量表(MADRS)评分的降低与右侧 Hb 与右侧额极内一个簇之间的 FC 增加有关(t=4.65,P=0.03,经 FDR 校正)。氯胺酮治疗后,快速抑郁症状自评量表(QIDS-SR)评分降低与右侧 Hb 与右侧枕极内簇(t=5.18,P<0.0001,经 FDR 校正)、右侧颞极(t=4.97,P<0.0001,经 FDR 校正)、右侧海马旁回(t=5.80,P=0.001,经 FDR 校正)和左侧外侧枕叶皮层(t=4.73,P=0.03,经 FDR 校正)之间的 FC 增加有关。鉴于 Hb 的体积较小,peri-habenular 区域可能对结果有贡献。

结论

这些初步结果表明,Hb 可能参与了 MDD 患者氯胺酮的抗抑郁作用,尽管这些发现受到缺乏对照组的限制。

https://cdn.ncbi.nlm.nih.gov/pmc/blobs/0b67/8130203/b17fb5e908a4/pyaa089f0003.jpg
https://cdn.ncbi.nlm.nih.gov/pmc/blobs/0b67/8130203/3220d91fe96d/pyaa089f0001.jpg
https://cdn.ncbi.nlm.nih.gov/pmc/blobs/0b67/8130203/917d996dd9e5/pyaa089f0002.jpg
https://cdn.ncbi.nlm.nih.gov/pmc/blobs/0b67/8130203/b17fb5e908a4/pyaa089f0003.jpg
https://cdn.ncbi.nlm.nih.gov/pmc/blobs/0b67/8130203/3220d91fe96d/pyaa089f0001.jpg
https://cdn.ncbi.nlm.nih.gov/pmc/blobs/0b67/8130203/917d996dd9e5/pyaa089f0002.jpg
https://cdn.ncbi.nlm.nih.gov/pmc/blobs/0b67/8130203/b17fb5e908a4/pyaa089f0003.jpg

相似文献

1
Habenula Connectivity and Intravenous Ketamine in Treatment-Resistant Depression.缰核连接与静脉用氯胺酮治疗抵抗性抑郁症。
Int J Neuropsychopharmacol. 2021 May 18;24(5):383-391. doi: 10.1093/ijnp/pyaa089.
2
Modulation of habenular and nucleus accumbens functional connectivity by ketamine in major depression.在重度抑郁症中,氯胺酮对缰核和伏隔核功能连接的调制作用。
Brain Behav. 2024 Jun;14(6):e3511. doi: 10.1002/brb3.3511.
3
Effects of ketamine on circadian rhythm and synaptic homeostasis in patients with treatment-resistant depression: A protocol for mechanistic studies of its rapid and sustained antidepressant actions in humans.氯胺酮对治疗抵抗性抑郁症患者昼夜节律和突触稳态的影响:其在人类中快速和持续抗抑郁作用的机制研究方案。
Brain Behav. 2019 Nov;9(11):e01423. doi: 10.1002/brb3.1423. Epub 2019 Oct 15.
4
Differences between ketamine's short-term and long-term effects on brain circuitry in depression.氯胺酮在抑郁症中对大脑回路的短期和长期影响的差异。
Transl Psychiatry. 2019 Jun 28;9(1):172. doi: 10.1038/s41398-019-0506-6.
5
Functional Dysconnectivity of Frontal Cortex to Striatum Predicts Ketamine Infusion Response in Treatment-Resistant Depression.前额叶皮层与纹状体的功能连接障碍可预测难治性抑郁症患者对氯胺酮输注治疗的反应。
Int J Neuropsychopharmacol. 2020 Dec 29;23(12):791-798. doi: 10.1093/ijnp/pyaa056.
6
Functional connectivity between the habenula and default mode network and its association with the antidepressant effect of ketamine.缰核与默认模式网络之间的功能连接及其与氯胺酮抗抑郁作用的关联。
Depress Anxiety. 2022 May;39(5):352-362. doi: 10.1002/da.23238. Epub 2021 Dec 28.
7
Ketamine-Associated Brain Changes: A Review of the Neuroimaging Literature.氯胺酮相关的脑改变:神经影像学文献综述。
Harv Rev Psychiatry. 2018 Nov/Dec;26(6):320-339. doi: 10.1097/HRP.0000000000000179.
8
Ketamine Treatment and Global Brain Connectivity in Major Depression.氯胺酮治疗与重度抑郁症中的全脑连通性
Neuropsychopharmacology. 2017 May;42(6):1210-1219. doi: 10.1038/npp.2016.186. Epub 2016 Sep 8.
9
Resting-State Functional Connectivity of the Habenula in Mood Disorder Patients With and Without Suicide-Related Behaviors.伴或不伴有自杀相关行为的心境障碍患者缰核的静息态功能连接
J Neuropsychiatry Clin Neurosci. 2019 Winter;31(1):49-56. doi: 10.1176/appi.neuropsych.17120351. Epub 2018 Oct 4.
10
Neural correlates of rapid antidepressant response to ketamine in treatment-resistant unipolar depression: a preliminary positron emission tomography study.快速抗抑郁反应的神经相关性 : 氯胺酮治疗难治性单相抑郁的初步正电子发射断层扫描研究。
Biol Psychiatry. 2013 Jun 15;73(12):1213-21. doi: 10.1016/j.biopsych.2013.02.008. Epub 2013 Mar 27.

引用本文的文献

1
The habenula in mood disorders: A systematic review of human studies.情绪障碍中的缰核:对人体研究的系统综述
Mol Psychiatry. 2025 Aug 1. doi: 10.1038/s41380-025-03105-x.
2
Neuropharmacology of Ketamine and Its Use in the Treatment of Major Depressive Disorder: A Review.氯胺酮的神经药理学及其在重度抑郁症治疗中的应用:综述
Cureus. 2025 Apr 30;17(4):e83244. doi: 10.7759/cureus.83244. eCollection 2025 Apr.
3
Towards an expanded neurocognitive account of ketamine's rapid antidepressant effects.迈向对氯胺酮快速抗抑郁作用的扩展神经认知解释。

本文引用的文献

1
Circuits and functions of the lateral habenula in health and in disease.外侧缰核在健康和疾病中的回路和功能。
Nat Rev Neurosci. 2020 May;21(5):277-295. doi: 10.1038/s41583-020-0292-4. Epub 2020 Apr 8.
2
Opioid system is necessary but not sufficient for antidepressive actions of ketamine in rodents.阿片系统是氯胺酮在啮齿类动物中发挥抗抑郁作用所必需的,但不是充分条件。
Proc Natl Acad Sci U S A. 2020 Feb 4;117(5):2656-2662. doi: 10.1073/pnas.1916570117. Epub 2020 Jan 15.
3
Detailed mapping of human habenula resting-state functional connectivity.
Int J Neuropsychopharmacol. 2025 Feb 4;28(2). doi: 10.1093/ijnp/pyaf010.
4
Modulation of habenular and nucleus accumbens functional connectivity by ketamine in major depression.在重度抑郁症中,氯胺酮对缰核和伏隔核功能连接的调制作用。
Brain Behav. 2024 Jun;14(6):e3511. doi: 10.1002/brb3.3511.
5
Depression with comorbid borderline personality disorder - could ketamine be a treatment catalyst?伴有边缘型人格障碍的抑郁症——氯胺酮能否成为治疗的催化剂?
Front Psychiatry. 2024 Apr 29;15:1398859. doi: 10.3389/fpsyt.2024.1398859. eCollection 2024.
6
Disrupted functional connectivity of the habenula links psychomotor retardation and deficit of verbal fluency and working memory in late-life depression.缰核功能连接中断与老年抑郁症中的精神运动迟缓、语言流畅性缺陷及工作记忆障碍有关。
CNS Neurosci Ther. 2024 Apr;30(4):e14490. doi: 10.1111/cns.14490. Epub 2023 Oct 7.
7
Habenular molecular targets for depression, impulsivity, and addiction.用于治疗抑郁症、冲动行为和成瘾的缰核分子靶点。
Expert Opin Ther Targets. 2023 Jul-Dec;27(9):757-761. doi: 10.1080/14728222.2023.2257390. Epub 2023 Sep 14.
8
Brain-based correlates of antidepressant response to ketamine: a comprehensive systematic review of neuroimaging studies.基于大脑的抗抑郁药氯胺酮反应的相关性:神经影像学研究的综合系统评价。
Lancet Psychiatry. 2023 Oct;10(10):790-800. doi: 10.1016/S2215-0366(23)00183-9. Epub 2023 Aug 22.
9
Review: The use of functional magnetic resonance imaging (fMRI) in clinical trials and experimental research studies for depression.综述:功能磁共振成像(fMRI)在抑郁症临床试验和实验研究中的应用。
Front Neuroimaging. 2023 Jun 27;2:1110258. doi: 10.3389/fnimg.2023.1110258. eCollection 2023.
10
Functional MRI markers for treatment-resistant depression: Insights and challenges.功能磁共振成像标记物在治疗抵抗性抑郁症中的应用:研究现状与挑战。
Prog Brain Res. 2023;278:117-148. doi: 10.1016/bs.pbr.2023.04.001. Epub 2023 Jun 5.
人类缰核静息态功能连接的详细图谱。
Neuroimage. 2019 Oct 15;200:621-634. doi: 10.1016/j.neuroimage.2019.06.015. Epub 2019 Jun 25.
4
Sustained rescue of prefrontal circuit dysfunction by antidepressant-induced spine formation.抗抑郁药诱导的脊柱形成持续挽救前额叶回路功能障碍。
Science. 2019 Apr 12;364(6436). doi: 10.1126/science.aat8078.
5
Lateral Habenular Burst Firing as a Target of the Rapid Antidepressant Effects of Ketamine.外侧缰核簇状放电是氯胺酮快速抗抑郁作用的靶点。
Trends Neurosci. 2019 Mar;42(3):179-191. doi: 10.1016/j.tins.2018.12.002.
6
Functional connectivity between prefrontal cortex and subgenual cingulate predicts antidepressant effects of ketamine.前额叶皮层和扣带回下侧之间的功能连接预测氯胺酮的抗抑郁作用。
Eur Neuropsychopharmacol. 2019 Apr;29(4):501-508. doi: 10.1016/j.euroneuro.2019.02.008. Epub 2019 Feb 26.
7
A resting-state study of volumetric and functional connectivity of the habenular nucleus in treatment-resistant depression patients.难治性抑郁症患者缰核的容积和功能连接的静息态研究。
Brain Behav. 2019 Apr;9(4):e01229. doi: 10.1002/brb3.1229. Epub 2019 Feb 25.
8
Ketamine Reverses Lateral Habenula Neuronal Dysfunction and Behavioral Immobility in the Forced Swim Test Following Maternal Deprivation in Late Adolescent Rats.氯胺酮可逆转青春期晚期大鼠母体剥夺后强迫游泳试验中的外侧缰核神经元功能障碍和行为不动。
Front Synaptic Neurosci. 2018 Oct 30;10:39. doi: 10.3389/fnsyn.2018.00039. eCollection 2018.
9
Double-blind, placebo-controlled, dose-ranging trial of intravenous ketamine as adjunctive therapy in treatment-resistant depression (TRD).静脉注射氯胺酮作为治疗抵抗性抑郁症(TRD)辅助治疗的双盲、安慰剂对照、剂量范围试验。
Mol Psychiatry. 2020 Jul;25(7):1592-1603. doi: 10.1038/s41380-018-0256-5. Epub 2018 Oct 3.
10
Resting-State Functional Connectivity of the Habenula in Mood Disorder Patients With and Without Suicide-Related Behaviors.伴或不伴有自杀相关行为的心境障碍患者缰核的静息态功能连接
J Neuropsychiatry Clin Neurosci. 2019 Winter;31(1):49-56. doi: 10.1176/appi.neuropsych.17120351. Epub 2018 Oct 4.