Suppr超能文献

儿童新型冠状病毒肺炎的床旁肺部超声成像

Point-of-care lung ultrasound imaging in pediatric COVID-19.

作者信息

Giorno Eliana P C, De Paulis Milena, Sameshima Yoshino T, Weerdenburg Kirstin, Savoia Paulo, Nanbu Danilo Y, Couto Thomaz B, Sa Fernanda V M, Farhat Sylvia C L, Carvalho Werther B, Preto-Zamperlini Marcela, Schvartsman Claudio

机构信息

Emergency Department, Instituto da Criança da FMUSP, University of Sao Paulo, Av. Dr. Enéas Carvalho de Aguiar, 647, Cerqueira César, Sao Paulo, SP, CEP-05403.000, Brazil.

Emergency Department, Hospital Universitario, University of Sao Paulo, Sao Paulo, Brazil.

出版信息

Ultrasound J. 2020 Nov 30;12(1):50. doi: 10.1186/s13089-020-00198-z.

Abstract

BACKGROUND

There has been limited data regarding the usefulness of lung ultrasound (US) in children with COVID-19.

OBJECTIVE

To describe lung US imaging findings and aeration score of 34 children with COVID-19.

METHODS

This study included 0-16-year-old patients with confirmed COVID-19, who were admitted between April 19 and June 18, 2020 in two hospitals in the city of Sao Paulo, Brazil. Lung US was performed as part of the routine evaluation by a skilled Pediatric Emergency physician. Clinical and laboratory data were collected and severity classifications were done according to an available clinical definition. The lung US findings were described for each lung field and a validated ultrasound lung aeration score was calculated. Data obtained was correlated with clinical information and other imaging modalities available for each case.

RESULTS

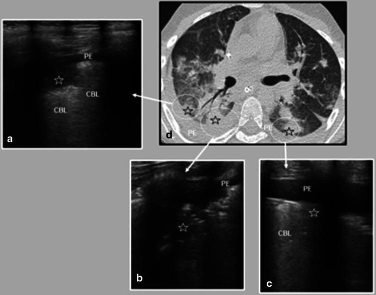
Thirty-four confirmed COVID-19 patients had a lung US performed during this period. Eighteen (18/34) had abnormalities on the lung US, but eight of them (8/18) had a normal chest radiograph. Ultrasound lung aeration score medians for severe/critical, moderate, and mild disease were 17.5 (2-30), 4 (range 0-14), 0 (range 0-15), respectively (p = 0.001). Twelve patients (12/34) also had a chest computed tomography (CT) performed; both the findings and topography of lung compromise on the CT were consistent with the information obtained by lung US.

CONCLUSION

Point-of-care lung US may have a key role in assessing lung injury in children with COVID-19.

摘要

背景

关于肺超声(US)在新冠病毒病(COVID-19)儿童患者中的应用数据有限。

目的

描述34例COVID-19儿童患者的肺超声成像表现及通气评分。

方法

本研究纳入2020年4月19日至6月18日在巴西圣保罗市两家医院收治的确诊COVID-19的0至16岁患者。由经验丰富的儿科急诊医生将肺超声检查作为常规评估的一部分进行。收集临床和实验室数据,并根据可用的临床定义进行严重程度分级。描述每个肺野的肺超声检查结果,并计算经过验证的超声肺通气评分。将获得的数据与每个病例的临床信息和其他可用的成像方式进行关联。

结果

在此期间,34例确诊的COVID-19患者接受了肺超声检查。18例(18/34)肺超声检查有异常,但其中8例(8/18)胸部X线片正常。重症/危重症、中度和轻度疾病的超声肺通气评分中位数分别为17.5(2 - 30)、4(范围0 - 14)、0(范围0 - 15)(p = 0.001)。12例患者(12/34)还进行了胸部计算机断层扫描(CT);CT上肺损伤的表现和部位与肺超声检查获得的信息一致。

结论

床旁肺超声检查可能在评估COVID-19儿童患者的肺损伤中起关键作用。

https://cdn.ncbi.nlm.nih.gov/pmc/blobs/4c22/7704823/89d23a628b22/13089_2020_198_Fig1_HTML.jpg

文献AI研究员

20分钟写一篇综述,助力文献阅读效率提升50倍。

立即体验

用中文搜PubMed

大模型驱动的PubMed中文搜索引擎

马上搜索

文档翻译

学术文献翻译模型,支持多种主流文档格式。

立即体验