Suppr超能文献

通过单一形态学参数鉴别肾上腺皮质良性与恶性肿瘤——837例肾上腺皮质肿瘤的临床病理研究

Differentiating Benign from Malignant Adrenocortical Tumors by a Single Morphological Parameter-a Clinicopathological Study on 837 Adrenocortical Neoplasias.

作者信息

Walz Martin K, Metz Klaus A, Theurer Sarah, Myland Cathrin, Alesina Pier F, Schmid Kurt W

机构信息

Department of Surgery and Center of Minimally Invasive Surgery, Kliniken Essen-Mitte, Essen, Germany.

Institute of Pathology, University Hospital Essen, University of Duisburg-Essen, Essen, Germany.

出版信息

Indian J Surg Oncol. 2020 Dec;11(4):705-710. doi: 10.1007/s13193-020-01205-4. Epub 2020 Sep 5.

Abstract

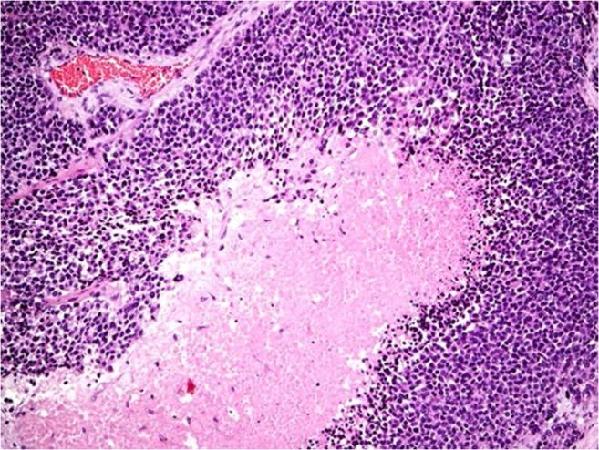
The morphological differentiation between benign and malignant adrenocortical tumors is an ongoing problem in diagnostic pathology. In recent decades the complex scoring systems have been widely used to calculate the probability of malignancy in adrenocortical tumors on the basis of a variety of histomorphological parameters. We herewith present a substantially simplified method to diagnose adrenocortical carcinoma by a single histomorphological parameter on a consecutive series of more than 800 adrenocortical tumors. Between January 2000 and May 2019, altogether 2305 adrenalectomies for of all types of diseases were removed, approximately 98% by minimally invasive approaches. After exclusion of pheochromocytomas, adrenal ganglioneuromas, adrenal metastases, Cushing's disease related specimens, and Conn's adenomas, the present series finally consisted of 837 adrenocortical tumors. All tumors were analyzed by experienced pathologists of a single institution using standard histopathological methods (Hematoxylin-Eosin and Ki67 stained sections). Clinical and histopathologic data were prospectively collected and retrospectively analyzed. Clinically, 385 patients had 420 functioning tumors (FT), and 417 had non-functioning adrenal tumors (NFT). The mean size of FT was 3.8 ± 1.4 cm (range 0.5-16 cm) and for NFT 4.5 ± 1.6 cm (range 1.5-18 cm). Histomorphologically, 32 adrenal tumors were classified as adrenocortical carcinoma (ACC; 3.8%). In all 32 cases (tumor size 9.1 ± 4.0 cm, range 3-18 cm), confluenting tumor necrosis could be demonstrated. The remaining 805 tumors (control group) completely lacked this highly reproducible single morphological feature. Ki67 levels above 10% were found in 31 of 32 ACCs and never in adrenocortical adenomas (ACA). With a mean follow-up of 8.2 years, 24 out of 32 patients primarily diagnosed as ACC developed distant metastases (75.0%), whereas all patients in the control group remained free of local or distant recurrence. We conclude that a single morphological parameter (confluenting tumor necrosis) is sufficient to predict a poor clinical course in adrenocortical tumors. The histomorphological diagnosis of this parameter is straightforward and highly reproducible.

摘要

良性与恶性肾上腺皮质肿瘤的形态学鉴别一直是诊断病理学中的难题。近几十年来,复杂的评分系统已被广泛用于根据各种组织形态学参数计算肾上腺皮质肿瘤的恶性概率。在此,我们提出一种大幅简化的方法,通过单一组织形态学参数对连续800多例肾上腺皮质肿瘤进行肾上腺皮质癌的诊断。2000年1月至2019年5月,共进行了2305例各类疾病的肾上腺切除术,约98%通过微创方法进行。排除嗜铬细胞瘤、肾上腺神经节瘤、肾上腺转移瘤、库欣病相关标本和Conn腺瘤后,本系列最终包括837例肾上腺皮质肿瘤。所有肿瘤均由单一机构的经验丰富的病理学家使用标准组织病理学方法(苏木精-伊红染色和Ki67染色切片)进行分析。前瞻性收集临床和组织病理学数据并进行回顾性分析。临床上,385例患者有420例功能性肿瘤(FT),417例有非功能性肾上腺肿瘤(NFT)。FT的平均大小为3.8±1.4 cm(范围0.5 - 16 cm),NFT为4.5±1.6 cm(范围1.5 - 18 cm)。组织形态学上,32例肾上腺肿瘤被分类为肾上腺皮质癌(ACC;3.8%)。在所有32例病例中(肿瘤大小9.1±4.0 cm,范围3 - 18 cm),均可显示融合性肿瘤坏死。其余805例肿瘤(对照组)完全缺乏这种高度可重复的单一形态学特征。32例ACC中有31例Ki67水平高于10%,而肾上腺皮质腺瘤(ACA)中从未发现。平均随访8.2年,最初诊断为ACC的32例患者中有24例发生远处转移(75.0%),而对照组所有患者均无局部或远处复发。我们得出结论,单一形态学参数(融合性肿瘤坏死)足以预测肾上腺皮质肿瘤的不良临床病程。该参数的组织形态学诊断简单且高度可重复。

https://cdn.ncbi.nlm.nih.gov/pmc/blobs/24ae/7714795/91eed4eb5115/13193_2020_1205_Fig1_HTML.jpg

文献AI研究员

20分钟写一篇综述,助力文献阅读效率提升50倍。

立即体验

用中文搜PubMed

大模型驱动的PubMed中文搜索引擎

马上搜索

文档翻译

学术文献翻译模型,支持多种主流文档格式。

立即体验