Suppr超能文献

支架辅助血管成形术治疗自发性双侧颅外颈内动脉夹层

Stent-Assisted Angioplasty in Spontaneous Bilateral Extracranial Internal Carotid Artery Dissection.

作者信息

Liao Mengshi, Chen Xinran, Chen Hongbing, Wang Ying, Zeng JinSheng, Fan Yuhua

机构信息

Department of Neurology, The First Affiliated Hospital, Sun Yat-sen University, Guangzhou, China.

Guangdong Provincial Key Laboratory for Diagnosis and Treatment of Major Neurological Diseases, National Key Clinical Department and Key Discipline of Neurology, Guangzhou, China.

出版信息

Front Neurol. 2020 Nov 13;11:582253. doi: 10.3389/fneur.2020.582253. eCollection 2020.

Abstract

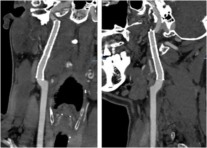
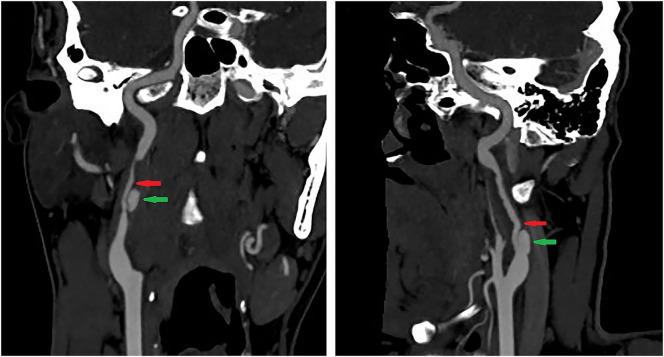
Internal carotid artery dissection (ICAD) results from a tear in the intima or rupture of the vasa vasorum with bleeding within the media resulting in separation of the vessel wall layers and a false lumen. It may cause arterial stenosis, occlusion, or dissecting pseudoaneurysm. Currently, the treatment of ICAD is controversial, including drug therapy and endovascular stent implantation. Simultaneous spontaneous dissection of bilateral carotid artery is rarely reported. We reported a 39-year-old-man with bilateral ICAD. Although the long-term durability of endovascular stent remains to be determined, for ICAD failed with active drug treatment and combined with hemodynamic impairment, early endovascular stent should be considered.

摘要

颈内动脉夹层(ICAD)是由于内膜撕裂或滋养血管破裂,血液在中膜内出血,导致血管壁各层分离并形成假腔。它可能导致动脉狭窄、闭塞或夹层假性动脉瘤。目前,ICAD的治疗存在争议,包括药物治疗和血管内支架植入。双侧颈动脉同时自发性夹层的报道很少。我们报告了一名39岁的双侧ICAD男性患者。尽管血管内支架的长期耐久性仍有待确定,但对于积极药物治疗失败且合并血流动力学损害的ICAD,应考虑早期进行血管内支架治疗。

https://cdn.ncbi.nlm.nih.gov/pmc/blobs/1d6b/7691571/2ca9f40e4cc9/fneur-11-582253-g0001.jpg

文献AI研究员

20分钟写一篇综述,助力文献阅读效率提升50倍。

立即体验

用中文搜PubMed

大模型驱动的PubMed中文搜索引擎

马上搜索

文档翻译

学术文献翻译模型,支持多种主流文档格式。

立即体验