• 文献检索
  • 文档翻译
  • 深度研究
  • 学术资讯
  • Suppr Zotero 插件Zotero 插件
  • 邀请有礼
  • 套餐&价格
  • 历史记录
应用&插件
Suppr Zotero 插件Zotero 插件浏览器插件Mac 客户端Windows 客户端微信小程序
定价
高级版会员购买积分包购买API积分包
服务
文献检索文档翻译深度研究API 文档MCP 服务
关于我们
关于 Suppr公司介绍联系我们用户协议隐私条款
关注我们

Suppr 超能文献

核心技术专利:CN118964589B侵权必究
粤ICP备2023148730 号-1Suppr @ 2026

文献检索

告别复杂PubMed语法,用中文像聊天一样搜索,搜遍4000万医学文献。AI智能推荐,让科研检索更轻松。

立即免费搜索

文件翻译

保留排版,准确专业,支持PDF/Word/PPT等文件格式,支持 12+语言互译。

免费翻译文档

深度研究

AI帮你快速写综述,25分钟生成高质量综述,智能提取关键信息,辅助科研写作。

立即免费体验

一例极为罕见的原发性肾鳞状细胞癌,其在放射影像学上表现为黄色肉芽肿性肾盂肾炎。

A Very Rare Case of Primary Renal Squamous Cell Carcinoma Presenting With Xanthogranulomatous Pyelonephritis on Radiological Imaging.

作者信息

Veerabathini Bala C, Manthani Kaushik, Gandhi Sandeep, Duddala Nerin

机构信息

Medicine, Peconic Bay Medical Center - Northwell Health, Riverhead, USA.

Family Medicine, Peconic Bay Medical Center - Northwell Health, Riverhead, USA.

出版信息

Cureus. 2020 Dec 3;12(12):e11871. doi: 10.7759/cureus.11871.

DOI:10.7759/cureus.11871
PMID:33282610
原文链接:https://pmc.ncbi.nlm.nih.gov/articles/PMC7714747/
Abstract

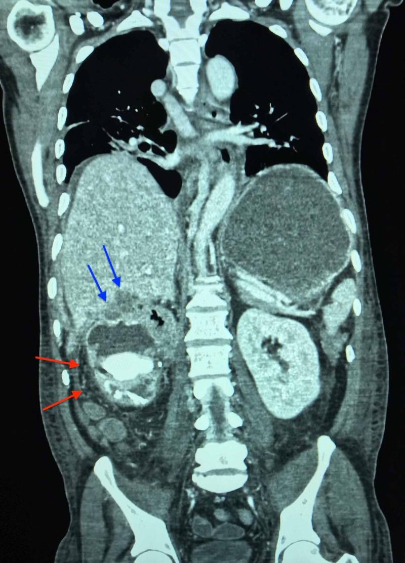
Xanthogranulomatous pyelonephritis (XGP) and primary renal squamous cell carcinoma (SCC) are both rare conditions that can present very similarly in a patient with renal staghorn calculi. We report a case of a 54-year-old male who presented with fatigue, vomiting and significant acute weight loss. The patient was initially believed to have XGP, but was ultimately diagnosed with both XGP and primary renal SCC. This case report and literature review is meant to elucidate the similarities and differences between XGP and primary renal SCC as both can be diagnostically challenging.

摘要

黄色肉芽肿性肾盂肾炎(XGP)和原发性肾鳞状细胞癌(SCC)都是罕见疾病,在患有肾鹿角形结石的患者中表现可能非常相似。我们报告一例54岁男性病例,该患者出现疲劳、呕吐和明显的急性体重减轻。患者最初被认为患有XGP,但最终被诊断为同时患有XGP和原发性肾SCC。本病例报告和文献综述旨在阐明XGP和原发性肾SCC之间的异同,因为两者在诊断上都具有挑战性。

https://cdn.ncbi.nlm.nih.gov/pmc/blobs/3b76/7714747/a2c789e3ae7d/cureus-0012-00000011871-i05.jpg
https://cdn.ncbi.nlm.nih.gov/pmc/blobs/3b76/7714747/e049805fe470/cureus-0012-00000011871-i01.jpg
https://cdn.ncbi.nlm.nih.gov/pmc/blobs/3b76/7714747/79788f55b48f/cureus-0012-00000011871-i02.jpg
https://cdn.ncbi.nlm.nih.gov/pmc/blobs/3b76/7714747/708352e761f7/cureus-0012-00000011871-i03.jpg
https://cdn.ncbi.nlm.nih.gov/pmc/blobs/3b76/7714747/928af999d628/cureus-0012-00000011871-i04.jpg
https://cdn.ncbi.nlm.nih.gov/pmc/blobs/3b76/7714747/a2c789e3ae7d/cureus-0012-00000011871-i05.jpg
https://cdn.ncbi.nlm.nih.gov/pmc/blobs/3b76/7714747/e049805fe470/cureus-0012-00000011871-i01.jpg
https://cdn.ncbi.nlm.nih.gov/pmc/blobs/3b76/7714747/79788f55b48f/cureus-0012-00000011871-i02.jpg
https://cdn.ncbi.nlm.nih.gov/pmc/blobs/3b76/7714747/708352e761f7/cureus-0012-00000011871-i03.jpg
https://cdn.ncbi.nlm.nih.gov/pmc/blobs/3b76/7714747/928af999d628/cureus-0012-00000011871-i04.jpg
https://cdn.ncbi.nlm.nih.gov/pmc/blobs/3b76/7714747/a2c789e3ae7d/cureus-0012-00000011871-i05.jpg

相似文献

1
A Very Rare Case of Primary Renal Squamous Cell Carcinoma Presenting With Xanthogranulomatous Pyelonephritis on Radiological Imaging.一例极为罕见的原发性肾鳞状细胞癌,其在放射影像学上表现为黄色肉芽肿性肾盂肾炎。
Cureus. 2020 Dec 3;12(12):e11871. doi: 10.7759/cureus.11871.
2
Squamous cell carcinoma of the renal pelvis masquerading as xanthogranulomatous pyelonephritis.伪装成黄色肉芽肿性肾盂肾炎的肾盂鳞状细胞癌。
Can J Urol. 2023 Apr;30(2):11502-11504.
3
Bear Paw Sign: Xanthogranulomatous Pyelonephritis.熊掌征:黄色肉芽肿性肾盂肾炎。
J Radiol Case Rep. 2018 Nov 30;12(11):18-24. doi: 10.3941/jrcr.v12i11.3415. eCollection 2018 Nov.
4
Xanthogranulomatous pyelonephritis with calculus migration into the psoas abscess: an unusual complication.伴有结石移入腰大肌脓肿的黄色肉芽肿性肾盂肾炎:一种罕见的并发症。
Autops Case Rep. 2020 Dec 8;11:e2020200. doi: 10.4322/acr.2020.200. eCollection 2021.
5
[Xanthogranulonatous pyelonephritis: report of 5 cases].[黄色肉芽肿性肾盂肾炎:5例报告]
Beijing Da Xue Xue Bao Yi Xue Ban. 2018 Aug 18;50(4):743-746.
6
Xanthogranulomatous pyelonephritis in children: diagnostic and therapeutic aspects.儿童黄色肉芽肿性肾盂肾炎:诊断与治疗方面
Eur J Pediatr Surg. 2002 Feb;12(1):42-8. doi: 10.1055/s-2002-25085.
7
Unusual case of urothelial carcinoma disguised as xanthogranulomatous pyelonephritis and causing reno-colic fistula: Case report and review of literature.伪装成黄色肉芽肿性肾盂肾炎并导致肾结肠瘘的罕见尿路上皮癌病例:病例报告及文献复习
Radiol Case Rep. 2022 Sep 7;17(11):4199-4202. doi: 10.1016/j.radcr.2022.08.015. eCollection 2022 Nov.
8
Xanthogranulomatous pyelonephritis: clinical experience with 21 cases.黄色肉芽肿性肾盂肾炎:21 例临床经验。
J Infect Chemother. 2013 Dec;19(6):1221-4. doi: 10.1007/s10156-013-0611-z. Epub 2013 May 25.
9
Xanthogranulomatous Pyelonephritis with Pyonephrosis and Renal Abscess in a Young Adult: A Consequence of Neglected Urinary Tract Infection Leading to Nephrectomy.青年患者的黄色肉芽肿性肾盂肾炎伴肾盂积脓和肾脓肿:忽视的尿路感染导致肾切除的后果。
Acta Med Indones. 2021 Oct;53(4):469-472.
10
Renal squamous cell carcinoma mimicking xanthogranulomatous pyelonephritis: Case report and review of literature.酷似黄色肉芽肿性肾盂肾炎的肾鳞状细胞癌:病例报告及文献复习
Radiol Case Rep. 2016 Apr 4;11(2):74-7. doi: 10.1016/j.radcr.2016.02.012. eCollection 2016 Jun.

引用本文的文献

1
Primary Squamous Cell Carcinoma of the Renal Pelvis: A Rare Complication of Xanthogranulomatous Pyelonephritis.肾盂原发性鳞状细胞癌:黄色肉芽肿性肾盂肾炎的一种罕见并发症。
Cureus. 2023 Sep 5;15(9):e44750. doi: 10.7759/cureus.44750. eCollection 2023 Sep.

本文引用的文献

1
Primary Pure Squamous Cell Carcinoma of Kidney Associated with Multiple Stag Horn Stones.原发性肾纯鳞状细胞癌伴多发鹿角形结石
Int Med Case Rep J. 2020 Jul 9;13:261-263. doi: 10.2147/IMCRJ.S261022. eCollection 2020.
2
Incidental Primary Squamous Cell Carcinoma of the Kidney Within a Calyceal Diverticulum Associated With Nephrolithiasis.肾盏憩室内偶然发现的原发性肾鳞状细胞癌伴肾结石
Oncology (Williston Park). 2019 Feb 15;33(2):69-71.
3
The role of neutrophils in cancer.中性粒细胞在癌症中的作用。
Br Med Bull. 2018 Dec 1;128(1):5-14. doi: 10.1093/bmb/ldy029.
4
Spectrum of Xanthogranulomatous Processes in the Abdomen and Pelvis: A Pictorial Review of Infectious, Inflammatory, and Proliferative Responses.腹部和盆腔黄色肉芽肿性病变谱:感染、炎症及增殖反应的影像综述
AJR Am J Roentgenol. 2017 Mar;208(3):475-484. doi: 10.2214/AJR.16.17075. Epub 2017 Jan 17.
5
Renal squamous cell carcinoma mimicking xanthogranulomatous pyelonephritis: Case report and review of literature.酷似黄色肉芽肿性肾盂肾炎的肾鳞状细胞癌:病例报告及文献复习
Radiol Case Rep. 2016 Apr 4;11(2):74-7. doi: 10.1016/j.radcr.2016.02.012. eCollection 2016 Jun.
6
Primary renal squamous cell carcinoma mimicking the renal cyst: a case report and review of the recent literature.酷似肾囊肿的原发性肾鳞状细胞癌:一例报告并复习近期文献
BMC Urol. 2015 Jul 23;15:69. doi: 10.1186/s12894-015-0064-z.
7
Squamous cell carcinoma of the renal pelvis associated with kidney stones: radiologic imaging features with gross and histopathological correlation.肾盂鳞状细胞癌合并肾结石:影像学特征与大体及组织病理学对照
J Clin Imaging Sci. 2013 Mar 29;3:14. doi: 10.4103/2156-7514.109741. Print 2013.
8
Case of the diffuse form of xanthogranulomatous pyelonephritis.弥漫性黄色肉芽肿性肾盂肾炎病例
Case Rep Urol. 2013;2013:936035. doi: 10.1155/2013/936035. Epub 2013 Jan 9.
9
Usefulness of the blood urea nitrogen/creatinine ratio in gastrointestinal bleeding.血尿素氮/肌酐比值在胃肠道出血中的应用价值
Am J Emerg Med. 1999 Jan;17(1):70-2. doi: 10.1016/s0735-6757(99)90021-9.