Suppr超能文献

在静脉麻醉和高流量鼻导管吸氧(STRIVE-Hi)技术下,使用自发呼吸的带通道光纤进行声带息肉切除术:一例病例报告及文献综述

Channeled fiberoptic for vocal cord polyp excision under spontaneous respiration using intravenous anesthesia and hi-flow nasal oxygen (STRIVE-Hi) technique: A case report and review of the literature.

作者信息

Menon Abhishek, Emam Dina, Al-Mannai Olfa, Shallik Nabil, Al-Khafaji Muayad

机构信息

Department of Otolaryngology, Hamad Medical Corporation, Doha, Qatar.

Department of Anaesthesiology, Hamad Medical Corporation, Doha, Qatar.

出版信息

Qatar Med J. 2020 Oct 15;2020(2):27. doi: 10.5339/qmj.2020.27. eCollection 2020.

Abstract

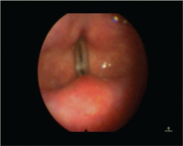
Microlaryngoscopy for benign vocal cord lesion excision is a procedure with good outcomes and relatively few complications that is performed worldwide. The anterior one-third of the vocal cords is a relatively common site to find benign polyps, and the excision of cases with adequate laryngeal exposure is relatively easy. However, they can sometimes present a challenge when laryngeal exposure is suboptimal, which leads to trouble in accessing the site. The factors that can lead to difficulties in laryngeal exposure are numerous, such as restricted mouth opening, limited neck extension, large tongue size, and others. The preoperative prediction of difficult laryngeal exposure (DLE) can be obtained by different scoring and grading systems. We have used the Laryngoscore in this case. However, management options for such cases remain limited. Here, we present a case that was managed using channeled cup forceps under fiberoptic endoscopy with the STRIVE-Hi technique used to administer anesthesia.

摘要

用于切除良性声带病变的显微喉镜检查是一种在全球范围内开展的、疗效良好且并发症相对较少的手术。声带前三分之一是发现良性息肉相对常见的部位,对于喉暴露充分的病例,切除相对容易。然而,当喉暴露欠佳时,有时会带来挑战,导致难以到达病变部位。导致喉暴露困难的因素众多,如张口受限、颈部伸展受限、舌体过大等。术前可通过不同的评分和分级系统预测困难喉暴露(DLE)。本病例中我们使用了喉镜评分。然而,此类病例的处理选择仍然有限。在此,我们展示一例在纤维内镜下使用通道杯状钳并采用STRIVE-Hi技术实施麻醉进行处理的病例。

https://cdn.ncbi.nlm.nih.gov/pmc/blobs/99ca/7684548/ab12c0fbe41f/qmj-2020-027-g001.jpg

文献AI研究员

20分钟写一篇综述,助力文献阅读效率提升50倍。

立即体验

用中文搜PubMed

大模型驱动的PubMed中文搜索引擎

马上搜索

文档翻译

学术文献翻译模型,支持多种主流文档格式。

立即体验