Department of Microbiology and Immunology, Uniformed Services University, Bethesda, Maryland, United States of America.
Department of Microbiology and Immunology and The Emory Antibiotic Resistance Center, Emory University School of Medicine, Atlanta, Georgia, United States of America.
PLoS Pathog. 2020 Dec 8;16(12):e1008602. doi: 10.1371/journal.ppat.1008602. eCollection 2020 Dec.
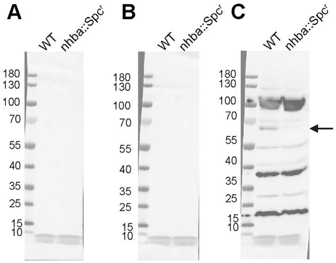
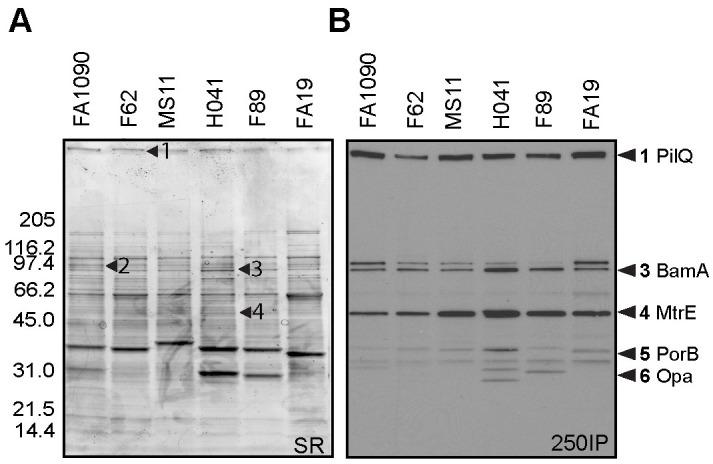
There is a pressing need for a gonorrhea vaccine due to the high disease burden associated with gonococcal infections globally and the rapid evolution of antibiotic resistance in Neisseria gonorrhoeae (Ng). Current gonorrhea vaccine research is in the stages of antigen discovery and the identification of protective immune responses, and no vaccine has been tested in clinical trials in over 30 years. Recently, however, it was reported in a retrospective case-control study that vaccination of humans with a serogroup B Neisseria meningitidis (Nm) outer membrane vesicle (OMV) vaccine (MeNZB) was associated with reduced rates of gonorrhea. Here we directly tested the hypothesis that Nm OMVs induce cross-protection against gonorrhea in a well-characterized female mouse model of Ng genital tract infection. We found that immunization with the licensed Nm OMV-based vaccine 4CMenB (Bexsero) significantly accelerated clearance and reduced the Ng bacterial burden compared to administration of alum or PBS. Serum IgG and vaginal IgA and IgG that cross-reacted with Ng OMVs were induced by 4CMenB vaccination by either the subcutaneous or intraperitoneal routes. Antibodies from vaccinated mice recognized several Ng surface proteins, including PilQ, BamA, MtrE, NHBA (known to be recognized by humans), PorB, and Opa. Immune sera from both mice and humans recognized Ng PilQ and several proteins of similar apparent molecular weight, but MtrE was only recognized by mouse serum. Pooled sera from 4CMenB-immunized mice showed a 4-fold increase in serum bactericidal50 titers against the challenge strain; in contrast, no significant difference in bactericidal activity was detected when sera from 4CMenB-immunized and unimmunized subjects were compared. Our findings directly support epidemiological evidence that Nm OMVs confer cross-species protection against gonorrhea, and implicate several Ng surface antigens as potentially protective targets. Additionally, this study further defines the usefulness of murine infection model as a relevant experimental system for gonorrhea vaccine development.
由于全球淋病奈瑟菌感染相关疾病负担高,以及淋病奈瑟菌(Ng)对抗生素耐药性的快速进化,迫切需要一种淋病疫苗。目前的淋病疫苗研究处于抗原发现和鉴定保护性免疫反应的阶段,30 多年来没有一种疫苗在临床试验中进行过测试。然而,最近在一项回顾性病例对照研究中报道,用脑膜炎奈瑟菌(Nm)血清群 B 外膜囊泡(OMV)疫苗(MeNZB)对人类进行疫苗接种与淋病发病率降低有关。在这里,我们直接测试了一个假设,即在一种经过充分表征的 Ng 生殖道感染雌性小鼠模型中,Nm OMV 诱导交叉保护作用以抵抗淋病。我们发现,与施用明矾或 PBS 相比,用许可的基于 Nm OMV 的疫苗 4CMenB(Bexsero)免疫显著加速了清除并减少了 Ng 细菌负担。通过皮下或腹腔途径接种 4CMenB 疫苗可诱导血清 IgG 和阴道 IgA 和 IgG 与 Ng OMV 交叉反应。来自接种疫苗的小鼠的抗体识别了几种 Ng 表面蛋白,包括 PilQ、BamA、MtrE、NHBA(已知被人类识别)、PorB 和 Opa。来自接种疫苗的小鼠和人类的免疫血清均可识别 Ng PilQ 和几种具有相似表观分子量的蛋白质,但 MtrE 仅被小鼠血清识别。来自 4CMenB 免疫小鼠的混合血清显示对挑战株的血清杀菌 50 效价增加了 4 倍;相比之下,当比较 4CMenB 免疫和未免疫受试者的血清时,未检测到杀菌活性的显著差异。我们的发现直接支持了流行病学证据,即 Nm OMV 赋予针对淋病的跨物种保护作用,并暗示了几种 Ng 表面抗原作为潜在的保护靶标。此外,这项研究进一步确定了小鼠感染模型作为淋病疫苗开发的相关实验系统的有用性。