• 文献检索
  • 文档翻译
  • 深度研究
  • 学术资讯
  • Suppr Zotero 插件Zotero 插件
  • 邀请有礼
  • 套餐&价格
  • 历史记录
应用&插件
Suppr Zotero 插件Zotero 插件浏览器插件Mac 客户端Windows 客户端微信小程序
定价
高级版会员购买积分包购买API积分包
服务
文献检索文档翻译深度研究API 文档MCP 服务
关于我们
关于 Suppr公司介绍联系我们用户协议隐私条款
关注我们

Suppr 超能文献

核心技术专利:CN118964589B侵权必究
粤ICP备2023148730 号-1Suppr @ 2026

文献检索

告别复杂PubMed语法,用中文像聊天一样搜索,搜遍4000万医学文献。AI智能推荐,让科研检索更轻松。

立即免费搜索

文件翻译

保留排版,准确专业,支持PDF/Word/PPT等文件格式,支持 12+语言互译。

免费翻译文档

深度研究

AI帮你快速写综述,25分钟生成高质量综述,智能提取关键信息,辅助科研写作。

立即免费体验

Acquired life-threatening uterine arteriovenous malformation treated by endovascular embolization.

作者信息

Huynh Chinh, Ha To-Nguyen, Hoang Van-Trung, Huynh Phuong-Hai

机构信息

Department of Radiology, Tu Du Hospital, Ho Chi Minh, Viet Nam.

Department of Radiology, Thien Hanh Hospital, Buon Ma Thuot, Viet Nam.

出版信息

Radiol Case Rep. 2020 Nov 28;16(2):241-245. doi: 10.1016/j.radcr.2020.11.013. eCollection 2021 Feb.

DOI:10.1016/j.radcr.2020.11.013
PMID:33304434
原文链接:https://pmc.ncbi.nlm.nih.gov/articles/PMC7708760/
Abstract

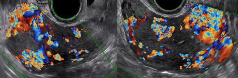
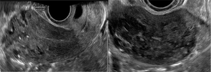
Uterine arteriovenous malformation (AVM) is a rare condition that may lead to a life-threatening state. The urgency of diagnosis and treatment for uterine AVM should be emphasized. This case report describes a 42-year-old woman with a vaginal hemorrhage. In the previous month, the patient also had a hemorrhage after induced abortion that required a bilateral artery suture hemostasis of the uterus. On ultrasound, there was a lesion suspected by acquired AVM. Magnetic Resonance Angiography and Digital Subtraction Angiography was indicated to confirm the diagnosis. The patient was successfully treated by uterine artery embolization. After 6 months, the re-examined result showed no lesion of AVM.

摘要
https://cdn.ncbi.nlm.nih.gov/pmc/blobs/dddd/7708760/a4cb7ac5f053/gr6.jpg
https://cdn.ncbi.nlm.nih.gov/pmc/blobs/dddd/7708760/6034456629cf/gr1.jpg
https://cdn.ncbi.nlm.nih.gov/pmc/blobs/dddd/7708760/fc7d37bf68af/gr2.jpg
https://cdn.ncbi.nlm.nih.gov/pmc/blobs/dddd/7708760/5828f6ad19e5/gr3.jpg
https://cdn.ncbi.nlm.nih.gov/pmc/blobs/dddd/7708760/8756a475eb54/gr4.jpg
https://cdn.ncbi.nlm.nih.gov/pmc/blobs/dddd/7708760/878a6241fb49/gr5.jpg
https://cdn.ncbi.nlm.nih.gov/pmc/blobs/dddd/7708760/a4cb7ac5f053/gr6.jpg
https://cdn.ncbi.nlm.nih.gov/pmc/blobs/dddd/7708760/6034456629cf/gr1.jpg
https://cdn.ncbi.nlm.nih.gov/pmc/blobs/dddd/7708760/fc7d37bf68af/gr2.jpg
https://cdn.ncbi.nlm.nih.gov/pmc/blobs/dddd/7708760/5828f6ad19e5/gr3.jpg
https://cdn.ncbi.nlm.nih.gov/pmc/blobs/dddd/7708760/8756a475eb54/gr4.jpg
https://cdn.ncbi.nlm.nih.gov/pmc/blobs/dddd/7708760/878a6241fb49/gr5.jpg
https://cdn.ncbi.nlm.nih.gov/pmc/blobs/dddd/7708760/a4cb7ac5f053/gr6.jpg

相似文献

1
Acquired life-threatening uterine arteriovenous malformation treated by endovascular embolization.
Radiol Case Rep. 2020 Nov 28;16(2):241-245. doi: 10.1016/j.radcr.2020.11.013. eCollection 2021 Feb.
2
A new fertility-preserving treatment modality for life-threatening bleeding caused by acquired uterine arteriovenous malformation (AVM): Combination laparoscopic ligation of uterine arteries and AVM suture.一种新的保留生育力的治疗方法,用于治疗由获得性子宫动静脉畸形(AVM)引起的危及生命的出血:腹腔镜下子宫动脉结扎联合 AVM 缝合。
Taiwan J Obstet Gynecol. 2022 Jul;61(4):703-707. doi: 10.1016/j.tjog.2021.06.001.
3
Successful treatment of uterine arteriovenous malformation with percutaneous embolization.经皮栓塞术成功治疗子宫动静脉畸形
Taiwan J Obstet Gynecol. 2007 Mar;46(1):60-3. doi: 10.1016/S1028-4559(08)60109-6.
4
Embolization of uterine arteriovenous malformation.子宫动静脉畸形的栓塞治疗
Iran J Reprod Med. 2013 Feb;11(2):159-66.
5
Extensive uterine arteriovenous malformation with hemodynamic instability: Embolization for whole myometrium affection.广泛子宫动静脉畸形伴血流动力学不稳定:针对全肌层受累的栓塞治疗
Eur J Obstet Gynecol Reprod Biol. 2018 Mar;222:188-191. doi: 10.1016/j.ejogrb.2018.01.018. Epub 2018 Jan 31.
6
Uterine Arteriovenous Malformation (AVM) - a Potentially Life-Threatening Cause of Post-Partum Vaginal Bleeding.子宫动静脉畸形(AVM)——产后阴道出血的潜在致命原因。
Am J Case Rep. 2022 Dec 14;23:e938559. doi: 10.12659/AJCR.938559.
7
Ultrasound diagnosis and management of acquired uterine enhanced myometrial vascularity/arteriovenous malformations.超声诊断和治疗获得性子宫增强型肌层血管/动静脉畸形。
Am J Obstet Gynecol. 2016 Jun;214(6):731.e1-731.e10. doi: 10.1016/j.ajog.2015.12.024. Epub 2016 Feb 9.
8
Acquired uterine arteriovenous malformation treated with superselective embolization: Case report.经超选择性栓塞治疗获得性子宫动静脉畸形:病例报告
Radiol Case Rep. 2023 Apr 11;18(6):2204-2208. doi: 10.1016/j.radcr.2023.03.018. eCollection 2023 Jun.
9
Embolization of a traumatic uterine arteriovenous malformation.创伤性子宫动静脉畸形的栓塞治疗
Semin Intervent Radiol. 2007 Sep;24(3):296-9. doi: 10.1055/s-2007-985737.
10
Embolization of uterine arteriovenous malformation for treatment of menorrhagia.子宫动静脉畸形栓塞术治疗月经过多
Arch Gynecol Obstet. 2009 Feb;279(2):229-32. doi: 10.1007/s00404-008-0684-6. Epub 2008 Jul 30.

引用本文的文献

1
Sonographic Features of Uterine Arteriovenous Malformation: A Case Series.子宫动静脉畸形的超声特征:病例系列
Diagnostics (Basel). 2024 Apr 23;14(9):873. doi: 10.3390/diagnostics14090873.
2
3D reconstruction of the uterus and automatic segmentation of the uterine cavity on 3D magnetic resonance imaging: A preliminary study.三维磁共振成像对子宫的重建及子宫腔的自动分割:一项初步研究。
Heliyon. 2023 Dec 10;10(1):e23558. doi: 10.1016/j.heliyon.2023.e23558. eCollection 2024 Jan 15.
3
Arteriovenous Malformation Complicating Cesarean Scar Pregnancy: A Rare Case of Vaginal Bleeding Managed Successfully by Uterine Artery Embolization.

本文引用的文献

1
Uterine arteriovenous malformation.子宫动静脉畸形
BMJ Case Rep. 2013 Feb 7;2013:bcr2012008443. doi: 10.1136/bcr-2012-008443.
2
Uterine arteriovenous malformations: a review of the current literature.子宫动静脉畸形:当前文献综述
Obstet Gynecol Surv. 2005 Nov;60(11):761-7. doi: 10.1097/01.ogx.0000183684.67656.ba.
3
Postpartum uterine arteriovenous fistula.产后子宫动静脉瘘
剖宫产瘢痕妊娠合并动静脉畸形:1例经子宫动脉栓塞成功治疗的罕见阴道出血病例
J Family Reprod Health. 2021 Sep;15(3):210-214. doi: 10.18502/jfrh.v15i3.7140.
Obstet Gynecol. 2004 May;103(5 Pt 2):1076-8. doi: 10.1097/01.AOG.0000123241.44401.01.
4
Color Doppler US in the evaluation of uterine vascular abnormalities.彩色多普勒超声在子宫血管异常评估中的应用
Radiographics. 2002 Jan-Feb;22(1):47-53. doi: 10.1148/radiographics.22.1.g02ja0947.
5
Clinical implications of disturbances of uterine vascular morphology and function.子宫血管形态和功能紊乱的临床意义。
Baillieres Best Pract Res Clin Obstet Gynaecol. 2000 Dec;14(6):937-51. doi: 10.1053/beog.2000.0136.
6
Arteriovenous malformations of the uterus.子宫动静脉畸形
Obstet Gynecol. 1989 Feb;73(2):209-14.