Suppr超能文献

孤立性左心室发育不全——一种罕见病。

Isolated left ventricular hypoplasia - A singularity.

作者信息

Choh Naseer A, Amreen Saika, Mir Amber Bashir, Malik Aadil Hussain, Hameed Mudasir, Shaheen Feroze, Gojwari Tariq A

机构信息

Department of Radiodiagnosis, SKIMS Soura, Srinagar, Jammu and Kashmir, India.

Department of Pediatric Cardiology, GB Pant Children Hospital, Srinagar, Jammu and Kashmir, India.

出版信息

Ann Pediatr Cardiol. 2020 Oct-Dec;13(4):337-339. doi: 10.4103/apc.APC_88_19. Epub 2020 Sep 1.

Abstract

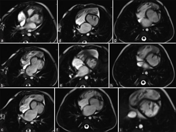
Isolated left ventricular hypoplasia is an entity with uncertain natural history and etiology. The presentation could vary from being asymptomatic to sudden death. This form of cardiomyopathy has been reported in infants as well as in adults. This case report aims to alert physicians to this diagnosis and the undeniable advantage of cardiac magnetic resonance.

摘要

孤立性左心室发育不全是一种自然病史和病因不明的病症。其表现可能从无症状到猝死不等。这种心肌病在婴儿和成人中均有报道。本病例报告旨在提醒医生注意这一诊断以及心脏磁共振成像不可否认的优势。

https://cdn.ncbi.nlm.nih.gov/pmc/blobs/0952/7727894/795fe842baf2/APC-13-337-g001.jpg

文献AI研究员

20分钟写一篇综述,助力文献阅读效率提升50倍。

立即体验

用中文搜PubMed

大模型驱动的PubMed中文搜索引擎

马上搜索

文档翻译

学术文献翻译模型,支持多种主流文档格式。

立即体验