Suppr超能文献

脓毒症患者升主动脉假性动脉瘤的外科治疗。

Surgical Treatment of Pseudoaneurysm of the Ascending Aorta in a Patient with Sepsis.

机构信息

Department of Cardiac Surgery, Dedinje Cardiovascular Institute, Belgrade, Serbia.

Department of Cardiology, Mother and Child Health Institute of Serbia, Belgrade, Serbia.

出版信息

Braz J Cardiovasc Surg. 2021 Apr 1;36(2):261-264. doi: 10.21470/1678-9741-2020-0258.

Abstract

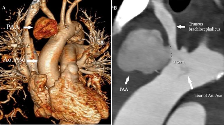
Pseudoaneurysm of the ascending aorta (PAA) is a hazardous and potentially fatal cardiovascular disease. This condition is caused by the rupture of at least one layer of the vessel and contained by the remaining vascular layers or the surrounding mediastinal structures. We presented the surgical treatment of a patient with sepsis and large PAA and brachiocephalic trunk, which was compressing the brachiocephalic trunk leading to syncope.

摘要

升主动脉假性动脉瘤(PAA)是一种危险且潜在致命的心血管疾病。这种情况是由至少一层血管破裂,由剩余的血管层或周围的纵隔结构所包含引起的。我们介绍了一例脓毒症和大型 PAA 及头臂干患者的手术治疗,该患者的头臂干受到压迫导致晕厥。

https://cdn.ncbi.nlm.nih.gov/pmc/blobs/7256/8163267/72ea386e197b/rbccv-36-02-0261-g01.jpg

文献检索

告别复杂PubMed语法,用中文像聊天一样搜索,搜遍4000万医学文献。AI智能推荐,让科研检索更轻松。

立即免费搜索

文件翻译

保留排版,准确专业,支持PDF/Word/PPT等文件格式,支持 12+语言互译。

免费翻译文档

深度研究

AI帮你快速写综述,25分钟生成高质量综述,智能提取关键信息,辅助科研写作。

立即免费体验