• 文献检索
  • 文档翻译
  • 深度研究
  • 学术资讯
  • Suppr Zotero 插件Zotero 插件
  • 邀请有礼
  • 套餐&价格
  • 历史记录
应用&插件
Suppr Zotero 插件Zotero 插件浏览器插件Mac 客户端Windows 客户端微信小程序
定价
高级版会员购买积分包购买API积分包
服务
文献检索文档翻译深度研究API 文档MCP 服务
关于我们
关于 Suppr公司介绍联系我们用户协议隐私条款
关注我们

Suppr 超能文献

核心技术专利:CN118964589B侵权必究
粤ICP备2023148730 号-1Suppr @ 2026

文献检索

告别复杂PubMed语法,用中文像聊天一样搜索,搜遍4000万医学文献。AI智能推荐,让科研检索更轻松。

立即免费搜索

文件翻译

保留排版,准确专业,支持PDF/Word/PPT等文件格式,支持 12+语言互译。

免费翻译文档

深度研究

AI帮你快速写综述,25分钟生成高质量综述,智能提取关键信息,辅助科研写作。

立即免费体验

腰椎孤立性纤维瘤酷似游离椎间盘碎片。

Solitary Fibrous tumor of the lumbar spine mimicking a sequestered disc fragment.

作者信息

Verla Terence, Simpson Venita, Ropper Alexander E

机构信息

Department of Neurosurgery, Baylor College of Medicine, 7200 Cambridge St, Suite 9A, Houston, TX 77030 USA.

Naval Medical Center Portsmouth. 620 John Paul Jones Circle, Portsmouth VA 23707.

出版信息

Radiol Case Rep. 2020 Dec 17;16(3):472-475. doi: 10.1016/j.radcr.2020.12.009. eCollection 2021 Mar.

DOI:10.1016/j.radcr.2020.12.009
PMID:33363685
原文链接:https://pmc.ncbi.nlm.nih.gov/articles/PMC7753083/
Abstract

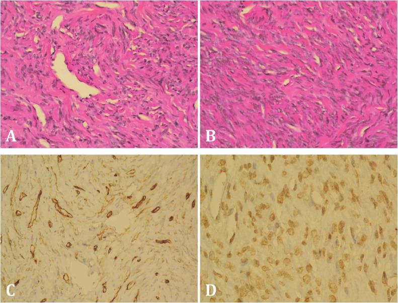
Solitary fibrous tumor in the lumbar spine is a rare pathology with non-specific radiographic features, sometimes resulting in misdiagnosis. Our patient was a 41-year old female who presented with low back pain and bilateral leg pain. Initial MRI showed a lesion misdiagnosed for a sequestered disc at the mid L4-5 level, which was subsequently characterized appropriately and treated surgically, with resolution of symptoms. Pathologic diagnosis was most consistent with a solitary fibrous tumor due to STAT 6 and CD 34 reactivity. Long-term follow up is recommended in these patients to monitor tumor recurrence and evidence of metastasis.

摘要

腰椎孤立性纤维瘤是一种罕见的病理类型,具有非特异性的影像学特征,有时会导致误诊。我们的患者是一名41岁女性,表现为腰痛和双侧腿痛。最初的MRI显示L4 - 5水平中部有一个病变,被误诊为游离椎间盘,随后该病变得到了正确诊断并接受了手术治疗,症状得以缓解。病理诊断由于STAT 6和CD 34反应性,最符合孤立性纤维瘤。建议对这些患者进行长期随访,以监测肿瘤复发和转移迹象。

https://cdn.ncbi.nlm.nih.gov/pmc/blobs/1c89/7753083/7ba6bfe011ad/gr4.jpg
https://cdn.ncbi.nlm.nih.gov/pmc/blobs/1c89/7753083/03d69b75ca7a/gr1.jpg
https://cdn.ncbi.nlm.nih.gov/pmc/blobs/1c89/7753083/ab65c140d1e8/gr2.jpg
https://cdn.ncbi.nlm.nih.gov/pmc/blobs/1c89/7753083/bab503111112/gr3.jpg
https://cdn.ncbi.nlm.nih.gov/pmc/blobs/1c89/7753083/7ba6bfe011ad/gr4.jpg
https://cdn.ncbi.nlm.nih.gov/pmc/blobs/1c89/7753083/03d69b75ca7a/gr1.jpg
https://cdn.ncbi.nlm.nih.gov/pmc/blobs/1c89/7753083/ab65c140d1e8/gr2.jpg
https://cdn.ncbi.nlm.nih.gov/pmc/blobs/1c89/7753083/bab503111112/gr3.jpg
https://cdn.ncbi.nlm.nih.gov/pmc/blobs/1c89/7753083/7ba6bfe011ad/gr4.jpg

相似文献

1
Solitary Fibrous tumor of the lumbar spine mimicking a sequestered disc fragment.腰椎孤立性纤维瘤酷似游离椎间盘碎片。
Radiol Case Rep. 2020 Dec 17;16(3):472-475. doi: 10.1016/j.radcr.2020.12.009. eCollection 2021 Mar.
2
Lumbar disc sequestration mimicking a tumor: Report of four cases and a literature review.酷似肿瘤的腰椎间盘游离:4例报告及文献复习
World J Clin Cases. 2022 Mar 26;10(9):2883-2894. doi: 10.12998/wjcc.v10.i9.2883.
3
Spontaneous regression of a large sequestered lumbar disc herniation: a case report and literature review.巨大游离型腰椎间盘突出症的自发消退:一例报告并文献复习。
J Int Med Res. 2021 Nov;49(11):3000605211058987. doi: 10.1177/03000605211058987.
4
Misdiagnosis of posterior sequestered lumbar disc herniation: report of three cases and review of the literature.腰椎间盘后位游离型突出症的误诊:三例报告并文献复习
Spinal Cord Ser Cases. 2018 Jul 6;4:61. doi: 10.1038/s41394-018-0100-9. eCollection 2018.
5
Long-term outcomes of surgical and nonsurgical management of sciatica secondary to a lumbar disc herniation: 10 year results from the maine lumbar spine study.腰椎间盘突出症继发坐骨神经痛的手术与非手术治疗的长期结果:缅因州腰椎研究10年结果
Spine (Phila Pa 1976). 2005 Apr 15;30(8):927-35. doi: 10.1097/01.brs.0000158954.68522.2a.
6
Percutaneous Endoscopic Lumbar Discectomy via Transforaminal Approach Combined with Interlaminar Approach for L4/5 and L5/S1 Two-Level Disc Herniation.经皮椎间孔镜下腰椎间盘切除术联合经椎间孔入路与经椎板间入路治疗 L4/5 和 L5/S1 双节段椎间盘突出症
Orthop Surg. 2021 May;13(3):979-988. doi: 10.1111/os.12862. Epub 2021 Apr 5.
7
Biomechanical changes in the lumbar spine following spaceflight and factors associated with postspaceflight disc herniation.太空飞行后腰椎的生物力学变化及与太空飞行后椎间盘突出相关的因素。
Spine J. 2022 Feb;22(2):197-206. doi: 10.1016/j.spinee.2021.07.021. Epub 2021 Jul 31.
8
Sequestrated Lumbar Disc Herniation Mimicking Spinal Neoplasm.酷似脊髓肿瘤的游离型腰椎间盘突出症
Cureus. 2021 Oct 6;13(10):e18529. doi: 10.7759/cureus.18529. eCollection 2021 Oct.
9
The outcomes of lumbar microdiscectomy in a young, active population: correlation by herniation type and level.年轻、活跃人群腰椎显微椎间盘切除术的结果:按突出类型和节段的相关性
Spine (Phila Pa 1976). 2008 Jan 1;33(1):33-8. doi: 10.1097/BRS.0b013e31815e3a42.
10
Lumbar intravertebral disc herniation secondary to idiopathic calcific discitis.特发性钙化性椎间盘炎继发腰椎间盘突出症。
Br J Neurosurg. 2019 Oct;33(5):586-590. doi: 10.1080/02688697.2017.1394445. Epub 2017 Oct 26.

引用本文的文献

1
Direct epidural metastasis of breast cancer mimicking a large lumbar disc sequestrum: A case report and review of literature.酷似巨大腰椎间盘游离体的乳腺癌硬膜外直接转移:一例报告并文献复习
Clin Case Rep. 2023 Mar 27;11(3):e7098. doi: 10.1002/ccr3.7098. eCollection 2023 Mar.

本文引用的文献

1
Solitary fibrous tumour of the spine: imaging features of a commonly misdiagnosed entity.脊柱孤立性纤维瘤:一种常被误诊的实体的影像学特征。
Eur Radiol. 2018 Sep;28(9):3986-3995. doi: 10.1007/s00330-018-5349-7. Epub 2018 Apr 4.
2
Surgical management of spinal solitary fibrous tumor/hemangiopericytoma: a case series of 20 patients.脊柱孤立性纤维瘤/血管外皮细胞瘤的外科治疗:20例病例系列
Eur Spine J. 2018 Apr;27(4):891-901. doi: 10.1007/s00586-017-5376-0. Epub 2017 Nov 10.
3
Spinal Solitary Fibrous Tumor/Hemangiopericytoma: A Clinicopathologic and Radiologic Analysis of Eleven Cases.
脊柱孤立性纤维性肿瘤/血管外皮细胞瘤:11例临床病理及影像学分析
World Neurosurg. 2017 Aug;104:318-329. doi: 10.1016/j.wneu.2017.05.016. Epub 2017 May 13.
4
A malignant solitary fibrous tumour arising from the first lumbar vertebra and mimicking an osteosarcoma: a case report.一例起源于第一腰椎并酷似骨肉瘤的恶性孤立性纤维瘤:病例报告
World J Surg Oncol. 2017 May 11;15(1):100. doi: 10.1186/s12957-017-1161-0.
5
Solitary fibrous tumors of the spine: a pediatric case report with a comprehensive review of the literature.脊柱孤立性纤维性肿瘤:1例儿科病例报告及文献综述
J Neurosurg Pediatr. 2017 Mar;19(3):339-348. doi: 10.3171/2016.10.PEDS16279. Epub 2017 Jan 20.
6
Recurrent solitary fibrous tumor of lumbar spine with vertebral body involvement: imaging features and differential diagnosis with report of a case.累及椎体的复发性腰椎孤立性纤维瘤:影像学特征及1例报告并鉴别诊断
Radiol Case Rep. 2016 Sep 20;11(4):450-455. doi: 10.1016/j.radcr.2016.08.012. eCollection 2016 Dec.
7
The demographic features, clinicopathologic characteristics, treatment outcome and disease-specific prognostic factors of solitary fibrous tumor: a population-based analysis.孤立性纤维瘤的人口统计学特征、临床病理特征、治疗结果及疾病特异性预后因素:一项基于人群的分析。
Oncotarget. 2015 Dec 8;6(39):41875-83. doi: 10.18632/oncotarget.6174.
8
Hemorrhagic intramedullary solitary fibrous tumor of the conus medullaris: case report.圆锥髓内出血性孤立性纤维瘤:病例报告
J Neurosurg Spine. 2015 Oct;23(4):438-43. doi: 10.3171/2015.1.SPINE13915. Epub 2015 Jun 26.
9
Solitary fibrous tumor of the lumbar spine: the great mimicker-report of the fifth case.腰椎孤立性纤维瘤:极具迷惑性——第五例报告
Case Rep Orthop. 2014;2014:852830. doi: 10.1155/2014/852830. Epub 2014 Jul 9.
10
Malignant solitary fibrous tumor of the lumbar spinal root mimicking schwannoma: a case report.腰椎神经根恶性孤立性纤维瘤酷似神经鞘瘤:一例报告。
Spine J. 2014 Jan;14(1):e17-20. doi: 10.1016/j.spinee.2013.07.463. Epub 2013 Oct 9.