Suppr超能文献

伴有肉芽肿性葡萄膜炎并发黄斑水肿的肾小管间质性肾炎和葡萄膜炎综合征。

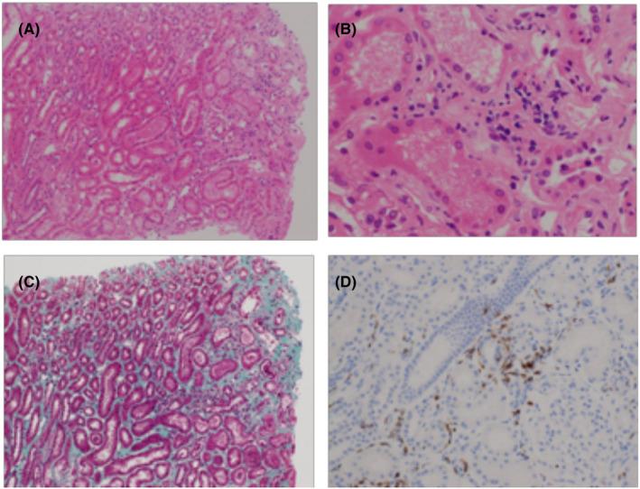
Tubulointerstitial nephritis and uveitis syndrome with concurrent macular edema caused by granulomatous uveitis.

作者信息

Nishi Tomomi, Tamura Hiroshi, Miyashita Yusuke, Nakazato Hitoshi

机构信息

Department of Pediatrics Faculty of Life Sciences Kumamoto University Kumamoto Japan.

出版信息

Clin Case Rep. 2020 Aug 7;8(12):2545-2549. doi: 10.1002/ccr3.3194. eCollection 2020 Dec.

Abstract

It is difficult to differentiate between TINU syndrome and sarcoidosis in young people with renal abnormalities and ocular lesions. Since the spontaneous prognosis of interstitial nephritis is different between the two, it was considered necessary to actively conduct tests for differentiation.

摘要

对于患有肾脏异常和眼部病变的年轻人,很难区分肾小管间质性肾炎葡萄膜炎综合征(TINU综合征)和结节病。由于这两种疾病间质性肾炎的自发预后不同,因此认为有必要积极进行鉴别诊断测试。

https://cdn.ncbi.nlm.nih.gov/pmc/blobs/9661/7752415/2f4200dc717e/CCR3-8-2545-g001.jpg

文献AI研究员

20分钟写一篇综述,助力文献阅读效率提升50倍。

立即体验

用中文搜PubMed

大模型驱动的PubMed中文搜索引擎

马上搜索

文档翻译

学术文献翻译模型,支持多种主流文档格式。

立即体验