Suppr超能文献

肠易激综合征中蔗糖酶-异麦芽糖酶突变体对其运输和功能的差异影响:与先天性蔗糖酶-异麦芽糖酶缺乏的相似性。

Differential Effects of Sucrase-Isomaltase Mutants on Its Trafficking and Function in Irritable Bowel Syndrome: Similarities to Congenital Sucrase-Isomaltase Deficiency.

机构信息

Department of Biochemistry, University of Veterinary Medicine Hannover, Bünteweg 17, 30559 Hannover, Germany.

Department of Natural Sciences, Lebanese American University, Beirut 1102-2801, Lebanon.

出版信息

Nutrients. 2020 Dec 22;13(1):9. doi: 10.3390/nu13010009.

Abstract

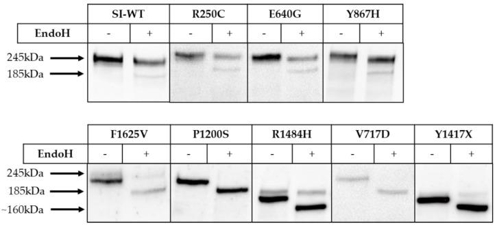
Congenital sucrase-isomaltase deficiency (CSID) is a rare metabolic intestinal disorder with reduced or absent activity levels of sucrase-isomaltase (SI). Interestingly, the main symptoms of CSID overlap with those in irritable bowel syndrome (IBS), a common functional gastrointestinal disorder with unknown etiology. Recent advances in genetic screening of IBS patients have revealed rare SI gene variants that are associated with IBS. Here, we investigated the biochemical, cellular and functional phenotypes of several of these variants. The data demonstrate that the SI mutants can be categorized into three groups including immature, mature but slowly transported, and finally mature and properly transported but with reduced enzymatic activity. We also identified SI mutant phenotypes that are deficient but generally not as severe as those characterized in CSID patients. The variable effects on the trafficking and function of the mutations analyzed in this study support the view that both CSID and IBS are heterogeneous disorders, the severity of which is likely related to the biochemical phenotypes of the SI mutants as well as the environment and diet of patients. Our study underlines the necessity to screen for SI mutations in IBS patients and to consider enzyme replacement therapy as an appropriate therapy as in CSID.

摘要

先天性蔗糖-异麦芽糖酶缺乏症(CSID)是一种罕见的代谢性肠道疾病,蔗糖-异麦芽糖酶(SI)活性降低或缺失。有趣的是,CSID 的主要症状与肠易激综合征(IBS)重叠,IBS 是一种病因不明的常见功能性胃肠道疾病。最近对 IBS 患者进行的基因筛查发现了一些与 IBS 相关的罕见 SI 基因突变。在这里,我们研究了这些变体中的几种的生化、细胞和功能表型。数据表明,SI 突变体可分为三组,包括不成熟、成熟但转运缓慢,以及成熟且正确转运但酶活性降低。我们还确定了 SI 突变体表型,这些表型是缺陷的,但通常不如 CSID 患者所表现的那样严重。本研究中分析的突变对转运和功能的可变影响支持这样一种观点,即 CSID 和 IBS 都是异质性疾病,其严重程度可能与 SI 突变体的生化表型以及患者的环境和饮食有关。我们的研究强调了在 IBS 患者中筛查 SI 突变的必要性,并考虑将酶替代疗法作为与 CSID 中相同的适当治疗方法。

https://cdn.ncbi.nlm.nih.gov/pmc/blobs/bfd8/7822125/c0cb1ad9cc08/nutrients-13-00009-g001.jpg

文献检索

告别复杂PubMed语法,用中文像聊天一样搜索,搜遍4000万医学文献。AI智能推荐,让科研检索更轻松。

立即免费搜索

文件翻译

保留排版,准确专业,支持PDF/Word/PPT等文件格式,支持 12+语言互译。

免费翻译文档

深度研究

AI帮你快速写综述,25分钟生成高质量综述,智能提取关键信息,辅助科研写作。

立即免费体验