Suppr超能文献

采用 3D-SPACE 序列评估神经鞘瘤:与 3T-MRI 中 3D-CISS 序列的比较。

Evaluation of schwannoma using the 3D-SPACE sequence: comparison with the 3D-CISS sequence in 3T-MRI.

机构信息

Department of Radiology, İskilip Atıf Hoca State Hospital, Çorum, Turkey

Department of Radiology, Gazi University Hospital, Ankara, Turkey

出版信息

Turk J Med Sci. 2021 Jun 28;51(3):1123-1135. doi: 10.3906/sag-2010-30.

Abstract

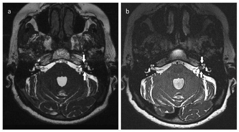
BACKGROUND/AIM: The purpose of this study is to compare the diagnostic accuracy and interobserver reliability of the T2-weighted 3D-SPACE (three-dimensional sampling perfection with application-optimized contrasts by using different flip angle evolutions) sequence in comparison with T2-weighted 3D-CISS (three-dimensional constructive interference in steady state) sequences for diagnosis of schwannomas.

MATERIALS AND METHODS

Forty patients with cerebellopontine angle (CPA), internal acoustic canal (IAC), and cochlear schwannoma who had undergone magnetic resonance imaging (MRI) using the 3D-CISS and 3D-SPACE sequences were identified. The sequences were retrospectively evaluated by two radiologists for the qualitative analyses, which were subsequently compared using the Mann–Whitney U test. Following this, kappa values were used for interobserver agreement. P < 0.05 was considered to be of statistical significance.

RESULTS

The interobserver agreement was found to be excellent between the two observers for the interpretation of all qualitative analyses for both sequences (kappa value > 0.8). The 3D-SPACE sequences demonstrated significantly better qualitative scores and fewer artifacts compared with the 3D-CISS sequences (p < 0.05).

CONCLUSION

Our results demonstrate that 3D-SPACE is superior to 3D-CISS in the imaging process of the schwannoma in terms of image quality, description of the relationship between the lesion and cranial nerve, signal differentiation between lesion and cistern, and signal differentiation between the lesion and adjacent brain.

摘要

背景/目的:本研究旨在比较 T2 加权 3D-SPACE(应用优化对比通过不同翻转角演化的三维采样完美)序列与 T2 加权 3D-CISS(稳态三维相干干扰)序列在诊断神经鞘瘤方面的诊断准确性和观察者间可靠性。

材料和方法

我们确定了 40 例经颅神经鞘瘤(CPA)、内听道(IAC)和耳蜗神经鞘瘤磁共振成像(MRI)的患者,这些患者均采用了 3D-CISS 和 3D-SPACE 序列。两位放射科医生对序列进行了回顾性的定性分析评估,随后使用 Mann-Whitney U 检验进行比较。接下来,使用 Kappa 值评估观察者间的一致性。P < 0.05 被认为具有统计学意义。

结果

对于两种序列的所有定性分析,两位观察者之间的观察者间一致性被发现是极好的(kappa 值> 0.8)。与 3D-CISS 序列相比,3D-SPACE 序列表现出明显更好的定性评分和更少的伪影(p < 0.05)。

结论

我们的结果表明,3D-SPACE 在神经鞘瘤的成像过程中优于 3D-CISS,表现在图像质量、病变与颅神经之间关系的描述、病变与脑池之间的信号分化以及病变与相邻脑之间的信号分化。

https://cdn.ncbi.nlm.nih.gov/pmc/blobs/b5b9/8283456/7bc975db4d15/turkjmedsci-51-1123-fig001.jpg

文献检索

告别复杂PubMed语法,用中文像聊天一样搜索,搜遍4000万医学文献。AI智能推荐,让科研检索更轻松。

立即免费搜索

文件翻译

保留排版,准确专业,支持PDF/Word/PPT等文件格式,支持 12+语言互译。

免费翻译文档

深度研究

AI帮你快速写综述,25分钟生成高质量综述,智能提取关键信息,辅助科研写作。

立即免费体验