Suppr超能文献

妊娠产物中神经激肽-1受体表达升高与孕早期流产有关。

Elevated Neurokinin-1 Receptor Expression in Uterine Products of Conception Is Associated With First Trimester Miscarriages.

作者信息

Alwazzan Ahmad, Mehboob Riffat, Hassan Amber, Perveen Shahida, Gilani Syed Amir, Ahmad Fridoon Jawad, Tanvir Imrana, Babar Masroor Elahi, Tariq Muhammad Akram, Ali Gibran, Akram Shehla Javed, Khan Rizwan Ullah, Akram Javed

机构信息

Division of Gynecology Oncology, Faculty of Medicine, King Abdulaziz University, Jeddah, Saudi Arabia.

SISSA, International School for Advanced Studies, Trieste, Italy.

出版信息

Front Physiol. 2020 Dec 18;11:554766. doi: 10.3389/fphys.2020.554766. eCollection 2020.

Abstract

BACKGROUND

Miscarriage is a common complication of early pregnancy, mostly occurring in the first trimester. However, the etiological factors and prognostic and diagnostic biomarkers are not well known. Neurokinin-1 receptor (NK-1R) is a receptor of tachykinin peptide substance P (SP) and has a role in various pathological conditions, cancers, but its association with miscarriages and significance as a clinicopathological parameter are not studied. Accordingly, the present study aimed to clarify the localization and expression for NK-1R in human retained products of conception (POC). The role of NK-1R is not known in miscarriages.

MATERIALS AND METHODS

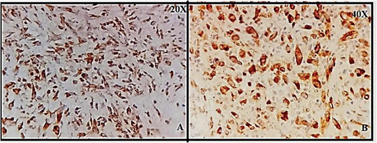
NK-1R expression was assessed in POC and normal placental tissues by immunohistochemistry. Three- to four-micrometer-thin sections of formalin-fixed paraffin-embedded tissues were used for this purpose. Tissues were processed and then immunohistochemically stained with NK-1R antibody. Brain tissue was used as control for antibody. Protein expression was evaluated using the nuclear labeling index (%). Tissues were counterstained with 3,3'-diaminobenzidine (DAB), and microscopy was performed at 10×, 20×, and 40× magnifications.

RESULTS

Ten human POC tissues and 10 normal placental tissues were studied by immunohistochemistry to demonstrate the localization of NK-1R. The expression of NK-1R protein was high in all the cases of both groups. NK-1R expression showed no notable differences among different cases of miscarriages as well as normal deliveries at full term regardless of the mother's age and gestational age at which the event occurred. Statistically, no difference was found in both groups, which is in agreement with our hypothesis and previous findings.

CONCLUSION

The expression of NK-1R was similar in all the cases, and it was intense. It shows that dysregulation of NK-1R along with its ligand SP might be involved in miscarriages and also involved in normal delivery. Our results provide fundamental data regarding this anti-NK-1R strategy. Thus, the present study recommends that SP/NK-1R system might, therefore, be considered as an emerging and promising diagnostic and therapeutic strategy against miscarriages. Hence, we report for the first time the expression and localization of NK-1R in POC. We suggest NK-1R antagonist in addition to the immunoglobulins and human chorionic gonadotropin to diagnose and treat spontaneous miscarriages.

摘要

背景

流产是早期妊娠的常见并发症,大多发生在孕早期。然而,其病因以及预后和诊断生物标志物尚不清楚。神经激肽-1受体(NK-1R)是速激肽肽物质P(SP)的受体,在各种病理状况、癌症中发挥作用,但其与流产的关联以及作为临床病理参数的意义尚未得到研究。因此,本研究旨在阐明NK-1R在人类妊娠物残留(POC)中的定位和表达。NK-1R在流产中的作用尚不清楚。

材料与方法

采用免疫组织化学法评估POC和正常胎盘组织中NK-1R的表达。为此使用福尔马林固定石蜡包埋组织的3至4微米薄片。对组织进行处理,然后用NK-1R抗体进行免疫组织化学染色。脑组织用作抗体对照。使用核标记指数(%)评估蛋白质表达。组织用3,3'-二氨基联苯胺(DAB)复染,并在10倍、20倍和40倍放大倍数下进行显微镜观察。

结果

通过免疫组织化学研究了10例人类POC组织和10例正常胎盘组织,以证明NK-1R的定位。两组所有病例中NK-1R蛋白的表达均较高。无论母亲年龄以及事件发生时的孕周如何,NK-1R表达在不同流产病例以及足月正常分娩病例之间均无显著差异。统计学上,两组未发现差异,这与我们的假设和先前的研究结果一致。

结论

所有病例中NK-1R的表达均相似且强烈。这表明NK-1R及其配体SP的失调可能与流产有关,也与正常分娩有关。我们的结果提供了关于这种抗NK-1R策略的基础数据。因此,本研究建议,SP/NK-1R系统可能因此被视为一种针对流产的新兴且有前景的诊断和治疗策略。因此,我们首次报告了NK-1R在POC中的表达和定位。我们建议除免疫球蛋白和人绒毛膜促性腺激素外,使用NK-1R拮抗剂来诊断和治疗自然流产。

https://cdn.ncbi.nlm.nih.gov/pmc/blobs/558a/7775504/dc383b569b1e/fphys-11-554766-g001.jpg

文献检索

告别复杂PubMed语法,用中文像聊天一样搜索,搜遍4000万医学文献。AI智能推荐,让科研检索更轻松。

立即免费搜索

文件翻译

保留排版,准确专业,支持PDF/Word/PPT等文件格式,支持 12+语言互译。

免费翻译文档

深度研究

AI帮你快速写综述,25分钟生成高质量综述,智能提取关键信息,辅助科研写作。

立即免费体验