Suppr超能文献

双侧肾上腺切除术后10年异位库欣综合征复发

Recurrence of Ectopic Cushing's Syndrome 10 Years After Bilateral Adrenalectomy.

作者信息

Hazimeh Yusef, Khalaf Zaynab, Ali Sablaa, Rayne David

机构信息

Endocrinology, Lebanese University Faculty of Medicine, Beirut, LBN.

Radiology, Arnot Ogden Medical Center, New York, USA.

出版信息

Cureus. 2020 Nov 25;12(11):e11704. doi: 10.7759/cureus.11704.

Abstract

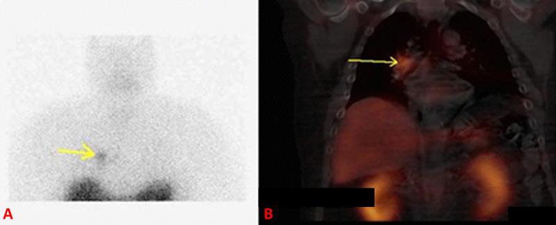
Ectopic Cushing's syndrome is a severe form of Cushing disease. Treatment usually involves the resection of the adrenocorticotropic hormone producing tumor. In certain cases, bilateral adrenalectomy is carried out as a final resort in treatment. We present a patient who had a lung carcinoid tumor, which was producing adrenocorticotropic hormone and causing ectopic Cushing's syndrome. Lung wedge resection failed to normalize cortisol level, and he had bilateral adrenalectomy. Ten years later, he had a recurrence of Cushing's disease due to lymph node metastasis of his carcinoid tumor.

摘要

异位库欣综合征是库欣病的一种严重形式。治疗通常包括切除产生促肾上腺皮质激素的肿瘤。在某些情况下,双侧肾上腺切除术作为治疗的最后手段实施。我们报告一名患有肺类癌肿瘤的患者,该肿瘤产生促肾上腺皮质激素并导致异位库欣综合征。肺楔形切除术未能使皮质醇水平恢复正常,于是他接受了双侧肾上腺切除术。十年后,由于类癌肿瘤的淋巴结转移,他的库欣病复发。

https://cdn.ncbi.nlm.nih.gov/pmc/blobs/8878/7769800/a1e1c625aefa/cureus-0012-00000011704-i01.jpg

文献AI研究员

20分钟写一篇综述,助力文献阅读效率提升50倍。

立即体验

用中文搜PubMed

大模型驱动的PubMed中文搜索引擎

马上搜索

文档翻译

学术文献翻译模型,支持多种主流文档格式。

立即体验