Suppr超能文献

老年患者微创上颌窦提升同期种植术:一例报告

Minimally invasive maxillary sinus augmentation with simultaneous implantation on an elderly patient: A case report.

作者信息

Yang Shi-Hui, Yu Wan-Qi, Zhang Jing-Jie, Zhou Zhe, Meng Fan-Rong, Wang Jun-Yan, Shi Rui-Ning, Zhou Yan-Min, Zhao Jing-Hui

机构信息

Department of Dental Implantology, School and Hospital of Stomatology, Jilin University, Changchun 130021, Jilin Province, China.

Department of Stomatology, Aviation General Hospital, Beijing 100000, China.

出版信息

World J Clin Cases. 2020 Dec 26;8(24):6408-6417. doi: 10.12998/wjcc.v8.i24.6408.

Abstract

BACKGROUND

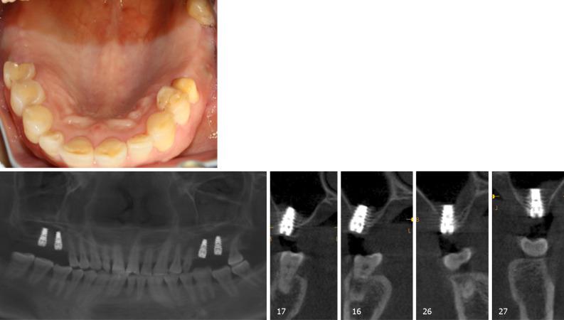
In this case study, a minimally invasive transalveolar approach using platelet-rich fibrin and bone substitute with simultaneous implantation was carried out in an elderly patient. We analyzed the cone-beam computed tomography (CBCT) findings to evaluate bone regeneration.

CASE SUMMARY

A 65-year-old female with no contraindications for dental implants and loss of maxillary bilateral molars is described. Examination by CBCT showed the available vertical bone height in the bilateral posterior maxilla was 0.5-6.8 mm in the left and 2.8-6.5 mm in the right. The patient underwent a transalveolar approach using platelet-rich fibrin and bone substitute with simulataneous placement of an implant 10 mm in length. Six months post-surgery, the implant showed excellent osseointegration with the bone graft. Thereafter, full-ceramic crowns were fitted. Follow-up at 2 years demonstrated satisfactory prognosis.

CONCLUSION

Platelet-rich fibrin and bone substitute can be used to augment the maxillary sinus with a vertical bone height less than 4 mm.

摘要

背景

在本病例研究中,对一名老年患者采用了富含血小板纤维蛋白和骨替代物同时植入的微创经牙槽嵴入路。我们分析了锥形束计算机断层扫描(CBCT)结果以评估骨再生情况。

病例摘要

描述了一名65岁女性,无牙种植禁忌证且上颌双侧磨牙缺失。CBCT检查显示双侧上颌后牙区可用垂直骨高度左侧为0.5 - 6.8毫米,右侧为2.8 - 6.5毫米。患者接受了使用富含血小板纤维蛋白和骨替代物的经牙槽嵴入路,并同时植入了一枚10毫米长的种植体。术后6个月,种植体与骨移植材料显示出良好的骨结合。此后,安装了全瓷冠。2年的随访显示预后良好。

结论

富含血小板纤维蛋白和骨替代物可用于增加垂直骨高度小于4毫米的上颌窦。

https://cdn.ncbi.nlm.nih.gov/pmc/blobs/c415/7760422/d229831702d4/WJCC-8-6408-g001.jpg

文献AI研究员

20分钟写一篇综述,助力文献阅读效率提升50倍。

立即体验

用中文搜PubMed

大模型驱动的PubMed中文搜索引擎

马上搜索

文档翻译

学术文献翻译模型,支持多种主流文档格式。

立即体验