Suppr超能文献

微创内镜下上颌窦提升与即刻种植体植入:一例报告。

Minimally invasive endoscopic maxillary sinus lifting and immediate implant placement: A case report.

作者信息

Mudalal Mahmoud, Sun Xiao-Lin, Li Xue, Fang Jiao, Qi Man-Lin, Wang Jia, Du Liu-Yi, Zhou Yan-Min

机构信息

Department of Dental Implantology, School and Hospital of Stomatology, Jilin University, Changchun 130021, Jilin Province, China.

出版信息

World J Clin Cases. 2019 May 26;7(10):1234-1241. doi: 10.12998/wjcc.v7.i10.1234.

Abstract

BACKGROUND

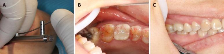
This case report discusses a modified approach for maxillary sinus augmentation, in which platelet-rich fibrin, endoscope, simultaneous implant placement, and sinus floor elevation (PESS) were applied for a maxillary sinus floor lift in a 40-year-old patient.

CASE SUMMARY

A 40-year-old woman suffered missing upper right first molar. Implant stability quotient and cone-beam computed tomography (CBCT) were used to evaluate the diagnosis. CBCT showed insufficient posterior maxillary bone with a mean residual alveolar bone height of only 3.5 mm. The patient underwent a minimally invasive sinus floor elevation endoscopically. The sinus membrane was elevated in two stages, and a 12-mm implant was placed immediately. At 3 mo postoperatively, the final impressions were accomplished, and a full-ceramic crown was fit-placed. A 6-mo follow-up demonstrated satisfactory aesthetic and functional results.

CONCLUSION

This is the first report to use an endoscope for maxillary sinus floor lifting in cases with severe and insufficient bone height. This case report demonstrates the advantages of the PESS technique, which include minimal invasiveness with high precision, being applicable in cases with a residual alveolar bone height < 4 mm with a promising result, and a shortened treatment period from 12 to 3 mo.

摘要

背景

本病例报告讨论了一种改良的上颌窦提升方法,该方法将富血小板纤维蛋白、内窥镜、同期种植体植入和窦底提升术(PESS)应用于一名40岁患者的上颌窦底提升。

病例摘要

一名40岁女性右上颌第一磨牙缺失。采用种植体稳定性商数和锥形束计算机断层扫描(CBCT)进行诊断评估。CBCT显示上颌后部骨量不足,平均剩余牙槽骨高度仅为3.5毫米。患者接受了内窥镜下微创窦底提升术。分两个阶段提升窦膜,并立即植入一枚12毫米的种植体。术后3个月完成最终印模制取,并试戴全瓷冠。6个月的随访显示美学和功能效果良好。

结论

这是首例在骨高度严重不足的病例中使用内窥镜进行上颌窦底提升的报告。本病例报告展示了PESS技术的优势,包括微创、高精度,适用于剩余牙槽骨高度<4毫米的病例且效果良好,以及将治疗周期从12个月缩短至3个月。

https://cdn.ncbi.nlm.nih.gov/pmc/blobs/231f/6547315/02fdb27a7073/WJCC-7-1234-g001.jpg

文献AI研究员

20分钟写一篇综述,助力文献阅读效率提升50倍。

立即体验

用中文搜PubMed

大模型驱动的PubMed中文搜索引擎

马上搜索

文档翻译

学术文献翻译模型,支持多种主流文档格式。

立即体验