Suppr超能文献

肩胛颈骨折合并肩袖撕裂:一例报告。

Fracture of the scapular neck combined with rotator cuff tear: A case report.

作者信息

Chen Lei, Liu Cai-Long, Wu Peng

机构信息

Department of Orthopaedics, The First Affiliated Hospital of Wenzhou Medical University, Wenzhou 325000, Zhejiang Province, China.

出版信息

World J Clin Cases. 2020 Dec 26;8(24):6450-6455. doi: 10.12998/wjcc.v8.i24.6450.

Abstract

BACKGROUND

Scapular fracture has a low incidence rate, accounting for 0.4%-0.9% of all fractures, and scapular neck fractures are extremely rare, comprising approximately 7%-25% of all scapular fractures. Scapular neck fractures are often studied as case reports mostly accompanied by other injuries, thus leading to confusion. All previous cases of scapular neck fractures are not associated with rotator cuff injuries.

CASE SUMMARY

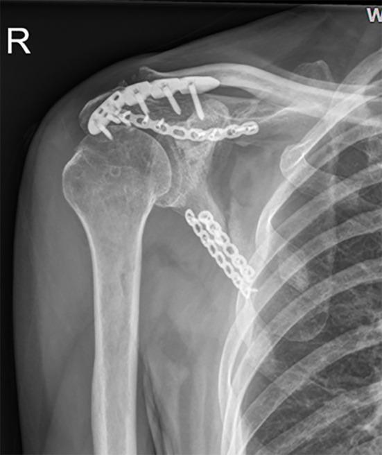
A 62-year-old man was admitted to our emergency department 6 h after his right shoulder and back were impacted by heavy objects. The patient presented chest tightness and shortness of breath. Chest computed tomography (CT) showed pneumohemothorax, multiple rib fractures, and right scapula fractures. Three-dimensional CT reconstruction of the right shoulder joint showed a trans-spinous scapular neck fracture with a glenohumeral joint dislocation. Rotator cuff injury was suspected because the patient had a glenohumeral joint dislocation and was then confirmed by shoulder magnetic resonance imaging. A staged surgery was performed, including open reduction and internal fixation of the right scapula fracture and repairing of rotator cuff by right shoulder arthroscopy. At the 5-mo follow-up, the fracture line was blurred and the shoulder joint function was good.

CONCLUSION

Fracture of the scapular neck combined with rotator cuff tear is rare and the rotator cuff injury should not be ignored in clinical work. Stable internal fixation combined with secondary arthroscopic repair of rotator cuff tear can achieve good results.

摘要

背景

肩胛骨骨折发病率较低,占所有骨折的0.4%-0.9%,肩胛颈骨折极为罕见,约占所有肩胛骨骨折的7%-25%。肩胛颈骨折常作为病例报告进行研究,多伴有其他损伤,从而导致混淆。既往所有肩胛颈骨折病例均与肩袖损伤无关。

病例摘要

一名62岁男性在右肩和背部被重物撞击6小时后被送入我院急诊科。患者出现胸闷、气短。胸部计算机断层扫描(CT)显示血气胸、多根肋骨骨折和右肩胛骨骨折。右肩关节三维CT重建显示经棘突的肩胛颈骨折伴盂肱关节脱位。因患者存在盂肱关节脱位怀疑有肩袖损伤,随后经肩关节磁共振成像证实。进行了分期手术,包括右肩胛骨骨折切开复位内固定及右肩关节镜下肩袖修复。在5个月的随访中,骨折线模糊,肩关节功能良好。

结论

肩胛颈骨折合并肩袖撕裂罕见,临床工作中不应忽视肩袖损伤。稳定的内固定联合二期关节镜下肩袖撕裂修复可取得良好效果。

https://cdn.ncbi.nlm.nih.gov/pmc/blobs/c3ee/7760457/ab4358a0c3bb/WJCC-8-6450-g001.jpg

相似文献

1
Fracture of the scapular neck combined with rotator cuff tear: A case report.
World J Clin Cases. 2020 Dec 26;8(24):6450-6455. doi: 10.12998/wjcc.v8.i24.6450.
3
Short and midterm results of reverse shoulder arthroplasty according to the preoperative etiology.
Arch Orthop Trauma Surg. 2013 Apr;133(4):463-71. doi: 10.1007/s00402-013-1688-7. Epub 2013 Feb 6.
4
Injuries associated with traumatic anterior glenohumeral dislocations.
J Bone Joint Surg Am. 2012 Jan 4;94(1):18-26. doi: 10.2106/JBJS.J.01795.
8
Concomitant Intra-Articular Glenohumeral Lesions in Fractures of the Scapula Body.
J Clin Med. 2020 Mar 30;9(4):943. doi: 10.3390/jcm9040943.
9
Three-dimensional shoulder kinematics normalize after rotator cuff repair.
J Shoulder Elbow Surg. 2016 Jun;25(6):881-9. doi: 10.1016/j.jse.2015.10.021. Epub 2016 Jan 21.
10
Rotator cuff tear with scapular dyskinesis treated with a pectoralis major transfer and rotator cuff repair: a case report.
J Surg Case Rep. 2022 May 17;2022(5):rjac201. doi: 10.1093/jscr/rjac201. eCollection 2022 May.

引用本文的文献

1
Finite element analysis of a novel anatomical locking plate for scapular neck fracture.
J Orthop Surg Res. 2023 Mar 31;18(1):262. doi: 10.1186/s13018-023-03743-3.

本文引用的文献

1
Acute locked superior shoulder dislocation in a patient with cuff tear arthropathy.
BMJ Case Rep. 2018 Jun 20;2018:bcr-2018-225237. doi: 10.1136/bcr-2018-225237.
2
Arthroscopic rotator cuff surgery following shoulder trauma improves outcome despite additional pathologies and slow recovery.
Knee Surg Sports Traumatol Arthrosc. 2018 Dec;26(12):3804-3809. doi: 10.1007/s00167-018-4969-4. Epub 2018 May 4.
3
Irreducible superolateral dislocation of the glenohumeral joint.
Skeletal Radiol. 2015 Sep;44(9):1387-91. doi: 10.1007/s00256-015-2183-8. Epub 2015 Jun 9.
4
Fractures of the scapular neck: diagnosis, classifications and treatment.
Int Orthop. 2014 Oct;38(10):2163-73. doi: 10.1007/s00264-014-2434-7. Epub 2014 Jul 5.
5
Fractures of the anatomical neck of the scapula: two cases and review of the literature.
Arch Orthop Trauma Surg. 2013 Aug;133(8):1115-9. doi: 10.1007/s00402-013-1783-9. Epub 2013 May 28.
6
Scapula fractures.
Curr Rev Musculoskelet Med. 2013 Mar;6(1):79-87. doi: 10.1007/s12178-012-9151-x.
7
An evidenced-based examination of the epidemiology and outcomes of traumatic rotator cuff tears.
Arthroscopy. 2013 Feb;29(2):366-76. doi: 10.1016/j.arthro.2012.06.024. Epub 2013 Jan 3.
8
Fractures of the glenoid neck.
J Shoulder Elbow Surg. 1994 Jan;3(1):42-52. doi: 10.1016/S1058-2746(09)80007-4. Epub 2009 Feb 13.
9
Scapular body fractures: results of operative treatment.
Int Orthop. 2011 May;35(5):747-53. doi: 10.1007/s00264-010-1072-y. Epub 2010 Jul 20.
10
FRACTURES OF THE NECK OF THE SCAPULA.
Ann Surg. 1916 Feb;63(2):215-36. doi: 10.1097/00000658-191602000-00013.

文献AI研究员

20分钟写一篇综述,助力文献阅读效率提升50倍。

立即体验

用中文搜PubMed

大模型驱动的PubMed中文搜索引擎

马上搜索

文档翻译

学术文献翻译模型,支持多种主流文档格式。

立即体验