Suppr超能文献

宫颈癌术后大分割调强放疗(POHIM-RT)试验的预试验评估

A dummy-run evaluation of postoperative hypofractionated intensity-modulated radiation therapy (POHIM-RT) trials for cervical cancer.

作者信息

Cho Won Kyung, Kim Heejung, Park Won, Kim Sang-Won, Kim Jongwon, Lee Kang Kyu, Oh Jeong Geun, Yoon Mee Sun, Song Ju-Young, Ahn Ki Jung, Park Sung Kwang, Choi Jin Hwa, Bak Jino

机构信息

Department of Radiation Oncology, Samsung Medical Center, Sungkyunkwan University School of Medicine, Seoul, Republic of Korea.

Department of Radiation Oncology, Konyang University College of Medicine, Daejeon, Republic of Korea.

出版信息

J Radiat Res. 2021 Jan 1;62(1):149-154. doi: 10.1093/jrr/rraa085.

Abstract

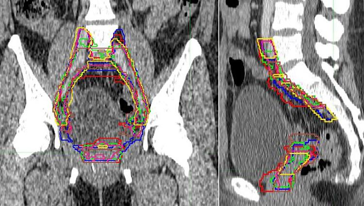
The postoperative hypofractionated intensity-modulated radiation therapy (POHIM-RT) trial is a phase II study to evaluate toxicity following hypofractionated intensity modulated radiation therapy (IMRT) for cervical cancer. This study describes the results of a benchmark procedure for RT quality assurance of the POHIM-RT trial. Six participating institutions were provided computed tomography for RT planning and an IMRT plan for a sample and were instructed to delineate volumes, create a treatment plan and quality assurance (QA) plan, and submit the results of all procedures. The inter-institutional agreements on RT volume and plan results were evaluated using the kappa value and dice similarity coefficients. The simultaneous truth and performance level estimation (STAPLE) method was employed to generate a consensus target volume. The treatment volumes, organs-at-risk volumes, and results of the RT plan and QA reported by the institutions were acceptable and adhered well to the protocol. In terms of clinical target volume (CTV) delineation, there were differences between the institutions, particularly in vaginal cuff and paracolpium subsites. Consensus CTV was generated from the collected CTVs with the STAPLE method. The participating institutions showed considerable agreement regarding volume, dose and QA results. To improve CTV agreement in CTV, we provided feedback with images of the consensus target volume and detailed written guidelines for specific subsites that were the most heterogeneous.

摘要

术后大分割调强放疗(POHIM-RT)试验是一项II期研究,旨在评估宫颈癌大分割调强放疗(IMRT)后的毒性。本研究描述了POHIM-RT试验放疗质量保证基准程序的结果。为六个参与机构提供了用于放疗计划的计算机断层扫描和一个样本的IMRT计划,并指示它们划定靶区体积、制定治疗计划和质量保证(QA)计划,并提交所有程序的结果。使用kappa值和骰子相似系数评估机构间关于放疗体积和计划结果的一致性。采用同时真相与性能水平估计(STAPLE)方法生成共识靶区体积。各机构报告的治疗体积、危及器官体积以及放疗计划和QA的结果是可接受的,并且很好地遵循了方案。在临床靶区体积(CTV)划定方面,各机构之间存在差异,特别是在阴道断端和阴道旁组织亚部位。通过STAPLE方法从收集到的CTV中生成共识CTV。参与机构在体积、剂量和QA结果方面表现出相当高的一致性。为了提高CTV划定中CTV的一致性,我们提供了共识靶区体积的图像反馈以及针对最不均匀的特定亚部位的详细书面指南。

https://cdn.ncbi.nlm.nih.gov/pmc/blobs/bfbb/7779361/e595b48b6a63/rraa085f1.jpg

文献AI研究员

20分钟写一篇综述,助力文献阅读效率提升50倍。

立即体验

用中文搜PubMed

大模型驱动的PubMed中文搜索引擎

马上搜索

文档翻译

学术文献翻译模型,支持多种主流文档格式。

立即体验