Suppr超能文献

[成人风湿性疾病的肺部表现]

[Pulmonary manifestations in adult rheumatic diseases].

作者信息

Ewig S, Bollow M

机构信息

Klinik für Pneumologie und Infektiologie, Augusta-Kranken-Anstalt Bochum, Bochum, Deutschland.

Klinik für diagnostische und interventionelle Radiologie und Nuklearmedizin, Augusta-Kranken-Anstalt Bochum, Bergstr. 26, 44791, Bochum, Deutschland.

出版信息

Z Rheumatol. 2021 Feb;80(Suppl 1):13-32. doi: 10.1007/s00393-020-00946-5. Epub 2021 Jan 4.

Abstract

BACKGROUND

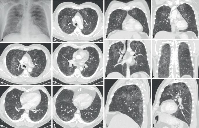
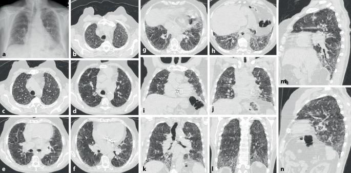
Rheumatic diseases frequently present with pulmonary involvement. All anatomic structures of the lungs can be affected. Interstitial lung diseases are characterized by a system of patterns evident in high-resolution computed tomography (HR-CT) scanning of the lungs. The HR-CT pattern can differ between rheumatic diseases.

OBJECTIVE

Systematic description of all variants and patterns of pulmonary involvement in rheumatic diseases.

MATERIAL AND METHODS

Narrative review based on the current literature on the topic from the perspective of rheumatology, pulmonary diseases and radiology.

RESULTS

Pulmonary involvement is frequent and prognostically relevant. The summary of pulmonary involvement reveals a high variability of affected anatomical structures as well as patterns of interstitial diseases for inflammatory rheumatic diseases. A synopsis of the main diagnostic findings is provided.

CONCLUSION

Every rheumatic disease presented here can be associated with pulmonary involvement. Therefore, a systematic diagnostic evaluation is mandatory at the first diagnosis as well as during follow-up. Apart from clinical findings and lung function HR-CT of the lungs is decisive for the diagnostics.

摘要

背景

风湿性疾病常伴有肺部受累。肺的所有解剖结构均可受到影响。间质性肺疾病的特征是在肺部高分辨率计算机断层扫描(HR-CT)中可见一系列明显的影像表现。不同风湿性疾病的HR-CT影像表现可能有所不同。

目的

系统描述风湿性疾病肺部受累的所有变异型和影像表现。

材料与方法

从风湿病学、肺病学和放射学角度,基于关于该主题的当前文献进行叙述性综述。

结果

肺部受累很常见且与预后相关。肺部受累的概述显示,炎性风湿性疾病的受累解剖结构以及间质性疾病的影像表现具有高度变异性。提供了主要诊断结果的概要。

结论

此处提及的每种风湿性疾病都可能与肺部受累相关。因此,在首次诊断以及随访期间,必须进行系统的诊断评估。除了临床症状和肺功能外,肺部HR-CT对诊断起决定性作用。

https://cdn.ncbi.nlm.nih.gov/pmc/blobs/9e2c/7873027/fb2621c3875a/393_2020_946_Fig1_HTML.jpg

文献AI研究员

20分钟写一篇综述,助力文献阅读效率提升50倍。

立即体验

用中文搜PubMed

大模型驱动的PubMed中文搜索引擎

马上搜索

文档翻译

学术文献翻译模型,支持多种主流文档格式。

立即体验