Suppr超能文献

下颈椎损伤:世界神经外科联合会脊柱委员会建议

Subaxial Cervical Spine Injuries: WFNS Spine Committee Recommendations.

作者信息

Sharif Salman, Ali Muhammad Yassar Jazaib, Sih Ibet Marie Y, Parthiban Jutty, Alves Óscar L

机构信息

Department of Neurosurgery, Liaquat National Hospital & Medical College, Karachi, Pakistan.

Institute for the Neurosciences, St. Luke's Medical Center, University of the Philippines - Philippine General Hospital, Metro Manila, The Philippines.

出版信息

Neurospine. 2020 Dec;17(4):737-758. doi: 10.14245/ns.2040368.184. Epub 2020 Dec 31.

Abstract

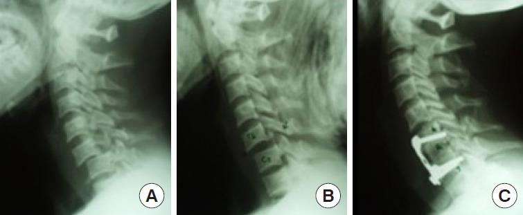
To formulate specific guidelines for the recommendation of subaxial cervical spine injuries concerning classification, management, posttraumatic locked facets and vertebral artery injury. Computerized literature was searched on PubMed and google scholar database from 2009 to 2020. For classification, keywords "Sub Axial Cervical Spine Classification," resulting in 22 articles related to subaxial cervical spine injury classification system (SLICS) system and 11 articles related to AO (Arbeitsgemeinschaft für Osteosynthesefragen, German for "Association for the Study of Internal Fixation") Spine system. The literature search yielded 210 and 78 articles on "management of subaxial cervical spine injuries" and the role of "SLICS" and "AO Spine" respectively. Keywords "management of traumatic facet locks" were searched and closed reduction, traction, approaches and techniques were studied. "Vertebral artery injury and cervical fracture" exhibited 2,328 references from the last 15 years. The objective was to identify the appropriate diagnostic tests and optimal treatment. Up-to-date information was reviewed, and statements were produced to reach a consensus in 2 separate consensus meetings of World Federation of Neurosurgical Societies (WFNS) Spine Committee. The statements were voted and reached a positive or negative consensus using Delphi method. Based on the most relevant literature, panelists in Moscow consensus meeting conducted in May 2019 drafted the statements, and after a preliminary voting session, the consensus was identified on various statements. Another meeting was conducted at Peshawar in November 2019, where in addition to previous statements, few other statements were discussed and voted. Specific recommendations were then formulated guiding classification, management, locked facets and vertebral artery injuries. This review summarizes the WFNS Spine Committee recommendations on subaxial cervical spine injuries.

摘要

制定关于下颈椎损伤的分类、管理、创伤后小关节交锁和椎动脉损伤推荐的具体指南。在PubMed和谷歌学术数据库中检索2009年至2020年的计算机化文献。对于分类,关键词“下颈椎分类”,检索到22篇与下颈椎损伤分类系统(SLICS)相关的文章以及11篇与AO(德语“骨内固定研究协会”,即“内固定研究协会”)脊柱系统相关的文章。文献检索分别产生了210篇和78篇关于“下颈椎损伤的管理”以及“SLICS”和“AO脊柱”作用的文章。检索关键词“创伤性小关节交锁的管理”,并研究了闭合复位、牵引、入路和技术。“椎动脉损伤与颈椎骨折”在过去15年中有2328条参考文献。目的是确定合适的诊断测试和最佳治疗方法。回顾了最新信息,并在世界神经外科协会联合会(WFNS)脊柱委员会的2次单独共识会议上达成共识声明。这些声明采用德尔菲法进行投票,并达成肯定或否定的共识。基于最相关的文献,2019年5月在莫斯科举行的共识会议的专家小组成员起草了声明,在初步投票会议后,就各项声明达成了共识。2019年11月在白沙瓦举行了另一次会议,除了之前的声明外,还讨论并投票了其他一些声明。随后制定了关于分类、管理、小关节交锁和椎动脉损伤的具体建议。本综述总结了WFNS脊柱委员会关于下颈椎损伤的建议。

https://cdn.ncbi.nlm.nih.gov/pmc/blobs/b4ed/7788423/8973ad9a3878/ns-2040368-184f1.jpg

文献AI研究员

20分钟写一篇综述,助力文献阅读效率提升50倍。

立即体验

用中文搜PubMed

大模型驱动的PubMed中文搜索引擎

马上搜索

文档翻译

学术文献翻译模型,支持多种主流文档格式。

立即体验