Suppr超能文献

肝癌来源的巨噬细胞通过 Wnt2b/β-catenin/c-Myc 信号通路和重编程糖酵解促进上皮间质转化。

Promotion of epithelial-mesenchymal transformation by hepatocellular carcinoma-educated macrophages through Wnt2b/β-catenin/c-Myc signaling and reprogramming glycolysis.

机构信息

Institute of Immunopharmaceutical Sciences, School of Pharmaceutical Sciences, Shandong University, 44 West Wenhua Road, Jinan, 250012, Shandong Province, China.

出版信息

J Exp Clin Cancer Res. 2021 Jan 6;40(1):13. doi: 10.1186/s13046-020-01808-3.

Abstract

BACKGROUND

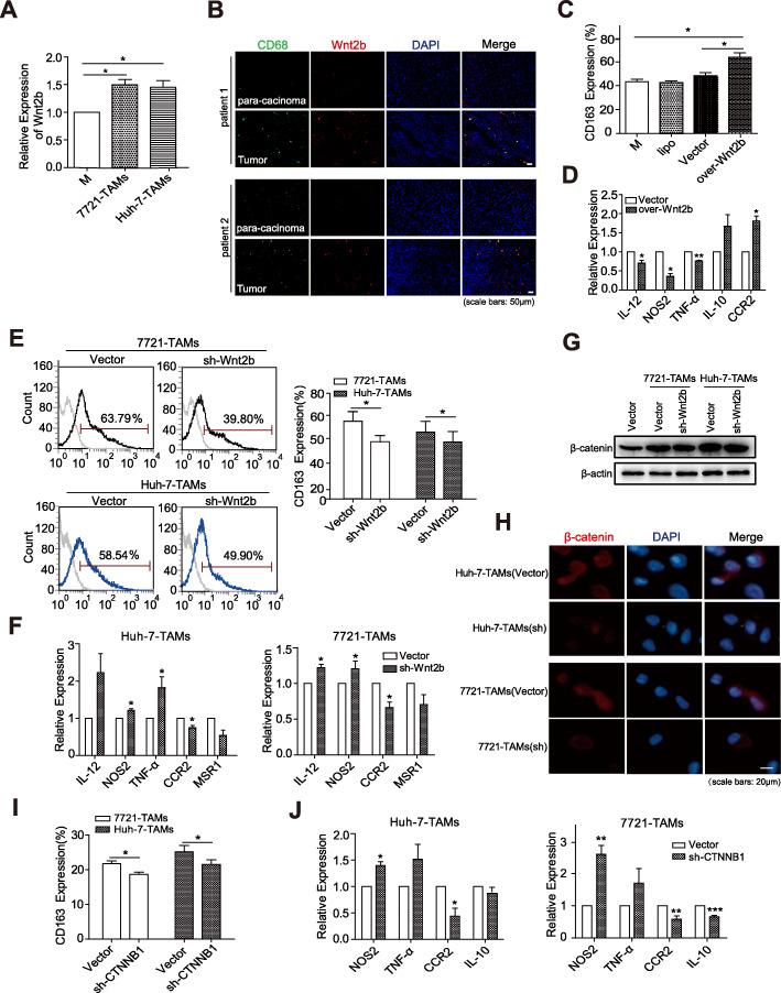
Tumour-associated macrophages (TAMs) in the tumour microenvironment (TME) can promote the progression of hepatocellular carcinoma (HCC). Some tumours can be suppressed by targeting Wnt2b in tumour cells. However, the role of Wnt2b in HCC is still unknown. In particular, the role of Wnt2b-mediated signal activation in macrophage polarization in the HCC microenvironment, and the regulatory effect between Wnt and glycolysis in TAMs has not been described.

METHODS

The expression of Wnt2b in TAMs was detected by qPCR and immunofluorescence. Wnt2b/β-catenin interference in HCC-TAMs was performed by lentivirus carrying targeted shRNA or TLR9 agonist. Markers related to macrophage polarization and the changes of key glycolytic enzymes expression were detected by flow cytometry and qPCR. ECAR was analysed by Seahorse analyser. MTT assay, wound healing assay, western blotting were used to evaluate the promoting effect of different HCC-TAMs on the proliferation, migration and EMT of HCC in vitro. Tumour cells and different HCC-TAMs were injected via subcutaneously into immunodeficient mice to assess the effects of CpG ODN, Wnt2b, or β-catenin on HCC-TAMs in tumour growth in vivo.

RESULTS

Polarization-promoting factors derived from HCC cells upregulated the expression of Wnt2b in macrophages, which promoted the polarization of TAMs to M2-like macrophages by activating Wnt2b/β-catenin/c-Myc signalling. Furthermore, this process was associated with the activation of glycolysis in HCC-TAMs. These HCC-TAMs could promote the development of EMT, proliferation, and migration of HCC. In addition to silencing Wnt2b or β-catenin expression, TLR9 agonist CpG ODN downregulated the level of glycolysis and inhibited the M2 polarization of HCC-TAMs, reversing the tumour-promoting effects of TAMs in vitro and vivo.

CONCLUSIONS

As a potential target for HCC therapy, Wnt2b may play an important regulatory role for the functions of TAMs in the TME. Moreover, the TLR9 agonist CpG ODN might act as a Wnt2b signal inhibitor and can potentially be employed for HCC therapy by disturbing Wnt2b/β-catenin/c-Myc and inhibiting glycolysis in HCC-TAMs.

摘要

背景

肿瘤相关巨噬细胞(TAMs)在肿瘤微环境(TME)中可以促进肝细胞癌(HCC)的进展。一些肿瘤可以通过靶向肿瘤细胞中的 Wnt2b 来抑制。然而,Wnt2b 在 HCC 中的作用仍不清楚。特别是,Wnt2b 介导的信号激活在 HCC 微环境中巨噬细胞极化中的作用,以及 Wnt 与 TAMs 中糖酵解之间的调节作用尚未描述。

方法

通过 qPCR 和免疫荧光检测 TAMs 中 Wnt2b 的表达。通过携带靶向 shRNA 或 TLR9 激动剂的慢病毒对 HCC-TAMs 中的 Wnt2b/β-catenin 进行干扰。通过流式细胞术和 qPCR 检测与巨噬细胞极化相关的标志物和关键糖酵解酶表达的变化。通过 Seahorse 分析仪分析 ECAR。MTT 测定、划痕愈合测定、western blot 用于评估不同 HCC-TAMs 在体外对 HCC 增殖、迁移和 EMT 的促进作用。通过皮下注射肿瘤细胞和不同的 HCC-TAMs 到免疫缺陷小鼠中,评估 CpG ODN、Wnt2b 或 β-catenin 对体内 HCC-TAMs 在肿瘤生长中的作用。

结果

来自 HCC 细胞的极化促进因子上调了巨噬细胞中 Wnt2b 的表达,通过激活 Wnt2b/β-catenin/c-Myc 信号促进 TAMs 向 M2 样巨噬细胞极化。此外,这个过程与 HCC-TAMs 中糖酵解的激活有关。这些 HCC-TAMs 可以促进 EMT 的发展、HCC 的增殖和迁移。除了沉默 Wnt2b 或 β-catenin 的表达外,TLR9 激动剂 CpG ODN 还降低了糖酵解水平,并抑制了 HCC-TAMs 的 M2 极化,在体外和体内逆转了 TAMs 的促肿瘤作用。

结论

作为 HCC 治疗的潜在靶点,Wnt2b 可能对 TME 中 TAMs 的功能发挥重要的调节作用。此外,TLR9 激动剂 CpG ODN 可能作为 Wnt2b 信号抑制剂,通过干扰 Wnt2b/β-catenin/c-Myc 和抑制 HCC-TAMs 中的糖酵解,用于 HCC 治疗。

https://cdn.ncbi.nlm.nih.gov/pmc/blobs/38a3/7788901/6e3b2e409775/13046_2020_1808_Fig1_HTML.jpg

文献检索

告别复杂PubMed语法,用中文像聊天一样搜索,搜遍4000万医学文献。AI智能推荐,让科研检索更轻松。

立即免费搜索

文件翻译

保留排版,准确专业,支持PDF/Word/PPT等文件格式,支持 12+语言互译。

免费翻译文档

深度研究

AI帮你快速写综述,25分钟生成高质量综述,智能提取关键信息,辅助科研写作。

立即免费体验