Suppr超能文献

乙状结肠炎性肌纤维母细胞瘤:肠梗阻的罕见病因。

Inflammatory Myofibroblastic Tumor of Sigmoid Colon: Unusual Cause of Intestinal Obstruction.

作者信息

Chinnakkulam Kandhasamy Sakthivel, Sundaramurthi Sudharsanan, Vijayakumar Chellappa, Goneppanavar Mangala, Nelamangala Ramakrishnaiah Vishnu Prasad

机构信息

Surgery, Jawaharlal Institute of Postgraduate Medical Education and Research, Puducherry, IND.

Pathology, Mahatma Gandhi Medical College and Research Institute, Puducherry, IND.

出版信息

Cureus. 2020 Nov 30;12(11):e11809. doi: 10.7759/cureus.11809.

Abstract

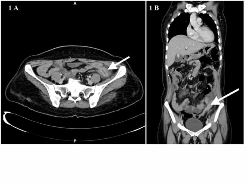
Inflammatory myofibroblastic tumors (IMFTs) are rare solid mesenchymal tumors frequently noted in children and young adults. It is characterized by variable clinicopathological and etiopathogenetic features. They are commonly reported in the lungs and occurrence in the colon is extremely rare. Here, we report a case of IMFT in the sigmoid colon confirmed histopathologically after surgical resection. A 40-year-old lady presented with abdominal pain, vomiting, and constipation for four days. On abdominal examination, there was tenderness in the left iliac fossa region with localized guarding. Contrast-enhanced computed tomography (CECT) showed a sigmoid colonic mass lesion with few enlarged perilesional lymph nodes. Colonoscopy demonstrated circumferential ulceration with irregular margin associated with luminal narrowing noted 55 cm from the anal verge and scope could not negotiate beyond, biopsies were taken. Later, the biopsy came as descriptive in nature. Hence, we proceeded for surgery and intra-operatively we have found there was circumferential thickening in the sigmoid colon for about size 8 cm of which was abutting the left lateral parietal wall. We have done sigmoid colon resection with adequate margins and postoperatively patient did well. Finally, the histopathology report suggested an IMFT sigmoid colon.

摘要

炎性肌纤维母细胞瘤(IMFTs)是罕见的实体间叶组织肿瘤,常见于儿童和年轻人。其具有多样的临床病理和病因发病学特征。它们通常在肺部被报道,而发生在结肠极为罕见。在此,我们报告一例经手术切除后经组织病理学确诊的乙状结肠IMFT病例。一名40岁女性因腹痛、呕吐和便秘4天就诊。腹部检查时,左髂窝区域有压痛并伴有局部肌紧张。增强计算机断层扫描(CECT)显示乙状结肠有一肿块病变,周围有少数肿大的淋巴结。结肠镜检查显示距肛缘55 cm处有边缘不规则的环形溃疡伴管腔狭窄,内镜无法通过,遂取活检。后来,活检结果为描述性。因此,我们进行了手术,术中发现乙状结肠有大约8 cm大小的环形增厚,与左侧顶壁相邻。我们进行了乙状结肠切除,切缘足够,术后患者恢复良好。最后,组织病理学报告提示为乙状结肠IMFT。

https://cdn.ncbi.nlm.nih.gov/pmc/blobs/7bd6/7779172/3981f845fb76/cureus-0012-00000011809-i01.jpg

相似文献

1
2
Volvulus of the Sigmoid Colon Associated With Rectal Cancer: A Case Report.
Gastroenterology Res. 2015 Feb;8(1):160-162. doi: 10.14740/gr619w. Epub 2015 Feb 14.
3
Atypical Presentation of Retroperitoneal Fibrosis Causing Colonic Obstruction: A Case Report.
Cureus. 2024 Mar 6;16(3):e55621. doi: 10.7759/cureus.55621. eCollection 2024 Mar.
4
Transitional cell carcinoma of ureter simulating left colonic malignancy-a rare case.
Indian J Surg. 2015 Apr;77(Suppl 1):29-31. doi: 10.1007/s12262-014-1076-8. Epub 2014 May 14.
5
Intestinal inflammatory myofibroblastic tumour.
S Afr J Surg. 2011 Nov 30;49(4):190-3.
7
Diverticulosis of the colon: a report of two cases.
Nig Q J Hosp Med. 2012 Jan-Mar;22(1):62-4.
8
Primary Isolated Extramedullary Plasmacytoma in the Colon.
Gastroenterology Res. 2013 Aug;6(4):152-155. doi: 10.4021/gr552w. Epub 2013 Sep 9.
9
Case Report: Schwannoma of the sigmoid colon: a case report of a rare colonic neoplasm and review of literature.
F1000Res. 2019 May 13;8:652. doi: 10.12688/f1000research.19110.1. eCollection 2019.

引用本文的文献

1
Imaging findings of inflammatory myofibroblastic tumor of sigmoid colon: literature review and case report.
Front Med (Lausanne). 2024 Aug 13;11:1461205. doi: 10.3389/fmed.2024.1461205. eCollection 2024.
2
An inflammatory myofibroblastic tumor of the small intestine presenting as jejunojejunal intussusception; A case report.
Int J Surg Case Rep. 2023 Jul;108:108404. doi: 10.1016/j.ijscr.2023.108404. Epub 2023 Jun 15.

本文引用的文献

2
Inflammatory pseudotumour of the colon.
Ann R Coll Surg Engl. 2017 May;99(5):e151-e153. doi: 10.1308/rcsann.2017.0064.
3
Inflammatory myofibroblastic tumor of the colon with an unusual presentation of intestinal intussusception.
European J Pediatr Surg Rep. 2014 Jun;2(1):54-7. doi: 10.1055/s-0034-1370774. Epub 2014 Apr 4.
4
Inflammatory pseudotumor of the colon causing intussusception: a case report and literature review.
World J Gastroenterol. 2015 Jan 14;21(2):704-10. doi: 10.3748/wjg.v21.i2.704.
5
Inflammatory myofibroblastic tumor of the colon.
J Clin Oncol. 2013 Apr 1;31(10):e155-8. doi: 10.1200/JCO.2012.42.8961. Epub 2013 Jan 28.
6
Intestinal inflammatory myofibroblastic tumour.
S Afr J Surg. 2011 Nov 30;49(4):190-3.
7
Inflammatory myofibroblastic tumor in colon.
J Korean Surg Soc. 2012 Jan;82(1):45-9. doi: 10.4174/jkss.2012.82.1.45. Epub 2011 Dec 27.

文献AI研究员

20分钟写一篇综述,助力文献阅读效率提升50倍。

立即体验

用中文搜PubMed

大模型驱动的PubMed中文搜索引擎

马上搜索

文档翻译

学术文献翻译模型,支持多种主流文档格式。

立即体验