• 文献检索
  • 文档翻译
  • 深度研究
  • 学术资讯
  • Suppr Zotero 插件Zotero 插件
  • 邀请有礼
  • 套餐&价格
  • 历史记录
应用&插件
Suppr Zotero 插件Zotero 插件浏览器插件Mac 客户端Windows 客户端微信小程序
定价
高级版会员购买积分包购买API积分包
服务
文献检索文档翻译深度研究API 文档MCP 服务
关于我们
关于 Suppr公司介绍联系我们用户协议隐私条款
关注我们

Suppr 超能文献

核心技术专利:CN118964589B侵权必究
粤ICP备2023148730 号-1Suppr @ 2026

文献检索

告别复杂PubMed语法,用中文像聊天一样搜索,搜遍4000万医学文献。AI智能推荐,让科研检索更轻松。

立即免费搜索

文件翻译

保留排版,准确专业,支持PDF/Word/PPT等文件格式,支持 12+语言互译。

免费翻译文档

深度研究

AI帮你快速写综述,25分钟生成高质量综述,智能提取关键信息,辅助科研写作。

立即免费体验

伴有幽门狭窄和肝转移的晚期胃癌的治疗策略;先通过胃肠吻合术和化疗成功治疗,随后进行根治性R0切除。

The therapeutic strategy for advanced gastric cancer with pyloric stenosis and liver metastasis; successfully treated by gastro-jejunal bypass and chemotherapy first, followed by curative R0 resection.

作者信息

Nakamichi Naosuke, Tsujiura Masahiro, Matsui Tomohiro, Yamamoto Taiga, Yoshioka Ayana, Hiramoto Hidekazu, Ouchi Yoshimi, Ishimoto Takeshi, Kosuga Toshiyuki, Mochizuki Satoshi, Nakashima Susumu, Bamba Masamichi, Masuyama Mamoru, Otsuji Eigo

机构信息

Department of Surgery, Saiseikai Shiga Hospital, 2-4-1 Ohashi, Ritto, Shiga, 520-3046, Japan.

Division of Digestive Surgery, Department of Surgery, Kyoto Prefectural University of Medicine, 465 Kajii-cho, Kawaramachihirokoji, Kamigyo-ku, Kyoto, Kyoto, 602-8566, Japan.

出版信息

Surg Case Rep. 2021 Jan 6;7(1):6. doi: 10.1186/s40792-020-00979-7.

DOI:10.1186/s40792-020-00979-7
PMID:33409765
原文链接:https://pmc.ncbi.nlm.nih.gov/articles/PMC7788145/
Abstract

BACKGROUND

The indication of surgical resection for liver metastasis from gastric cancer (GC) is still limited and controversial because of its more aggressive oncological characteristics than liver metastasis from colorectal cancer. Pyloric stenosis causes an inadequate oral intake and malnutrition in GC patients. We herein report a case of GC with these two factors that was successfully treated by the combination of gastro-jejunal bypass and chemotherapy, followed by curative R0 resection.

CASE PRESENTATION

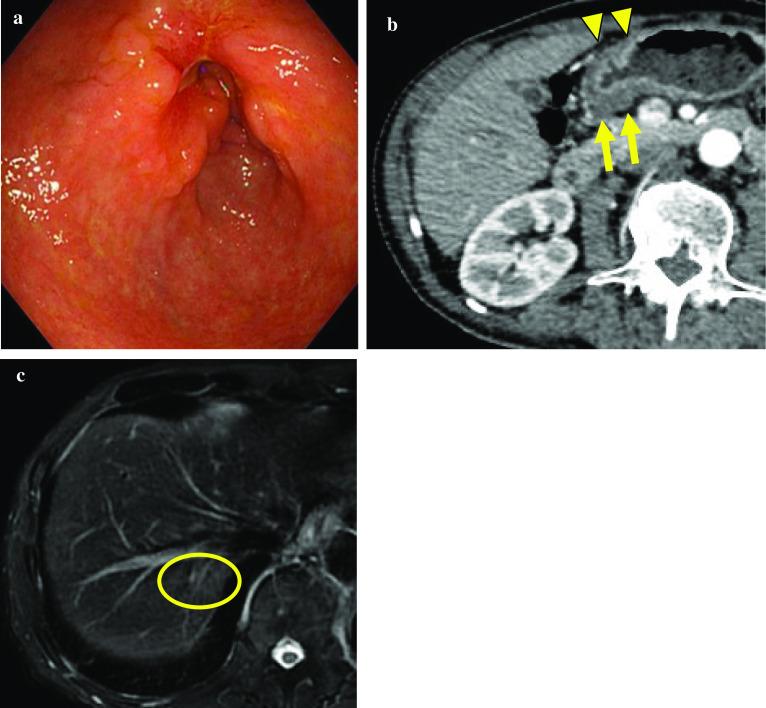
A 60-year-old man was diagnosed with type 2 GC with liver metastasis and pyloric stenosis, which was confirmed as the HER2-positive type. He underwent gastrojejunostomy and received capecitabine and cisplatin (XP) + trastuzumab chemotherapy. After three courses of the XP + trastuzumab regimen, shrinkage of the primary lesion and liver metastasis was confirmed and his nutritional parameters markedly improved with a stable oral intake after bypass surgery. He underwent curative R0 resection by distal gastrectomy with D2 lymphadenectomy and partial hepatectomy. Histologically, viable tumor cells were observed in less than one-third of the primary lesion, and only scar tissue without viable cancer cells was noted in the resected liver specimen. His postoperative course was uneventful, and recurrence has not been detected in the 30 months after surgery without adjuvant chemotherapy.

CONCLUSION

The present case report describes a successful strategy for advanced GC with pyloric stenosis and liver metastasis.

摘要

背景

由于胃癌肝转移比结直肠癌肝转移具有更强的肿瘤学侵袭性,其手术切除的适应证仍然有限且存在争议。幽门狭窄会导致胃癌患者经口摄入量不足和营养不良。我们在此报告一例同时存在这两个因素的胃癌病例,该病例通过胃空肠吻合术和化疗联合治疗,随后进行了根治性R0切除,治疗成功。

病例介绍

一名60岁男性被诊断为2型胃癌伴肝转移和幽门狭窄,确诊为HER2阳性型。他接受了胃空肠吻合术,并接受了卡培他滨和顺铂(XP)+曲妥珠单抗化疗。在接受三个疗程的XP+曲妥珠单抗治疗方案后,原发灶和肝转移灶缩小得到确认,并且在旁路手术后他的营养参数显著改善,经口摄入量稳定。他接受了远端胃切除术加D2淋巴结清扫和部分肝切除术的根治性R0切除。组织学检查显示,原发灶中存活肿瘤细胞少于三分之一,切除的肝脏标本中仅见无存活癌细胞的瘢痕组织。他术后恢复顺利,在未接受辅助化疗的情况下,术后30个月未检测到复发。

结论

本病例报告描述了一种针对晚期胃癌伴幽门狭窄和肝转移的成功治疗策略。

https://cdn.ncbi.nlm.nih.gov/pmc/blobs/cf89/7788145/f54de3fcc7c9/40792_2020_979_Fig6_HTML.jpg
https://cdn.ncbi.nlm.nih.gov/pmc/blobs/cf89/7788145/5c3327c05d02/40792_2020_979_Fig1_HTML.jpg
https://cdn.ncbi.nlm.nih.gov/pmc/blobs/cf89/7788145/58cc6a7342d1/40792_2020_979_Fig2_HTML.jpg
https://cdn.ncbi.nlm.nih.gov/pmc/blobs/cf89/7788145/6c5807717585/40792_2020_979_Fig3_HTML.jpg
https://cdn.ncbi.nlm.nih.gov/pmc/blobs/cf89/7788145/ffb301271c08/40792_2020_979_Fig4_HTML.jpg
https://cdn.ncbi.nlm.nih.gov/pmc/blobs/cf89/7788145/641f79cc4fd9/40792_2020_979_Fig5_HTML.jpg
https://cdn.ncbi.nlm.nih.gov/pmc/blobs/cf89/7788145/f54de3fcc7c9/40792_2020_979_Fig6_HTML.jpg
https://cdn.ncbi.nlm.nih.gov/pmc/blobs/cf89/7788145/5c3327c05d02/40792_2020_979_Fig1_HTML.jpg
https://cdn.ncbi.nlm.nih.gov/pmc/blobs/cf89/7788145/58cc6a7342d1/40792_2020_979_Fig2_HTML.jpg
https://cdn.ncbi.nlm.nih.gov/pmc/blobs/cf89/7788145/6c5807717585/40792_2020_979_Fig3_HTML.jpg
https://cdn.ncbi.nlm.nih.gov/pmc/blobs/cf89/7788145/ffb301271c08/40792_2020_979_Fig4_HTML.jpg
https://cdn.ncbi.nlm.nih.gov/pmc/blobs/cf89/7788145/641f79cc4fd9/40792_2020_979_Fig5_HTML.jpg
https://cdn.ncbi.nlm.nih.gov/pmc/blobs/cf89/7788145/f54de3fcc7c9/40792_2020_979_Fig6_HTML.jpg

相似文献

1
The therapeutic strategy for advanced gastric cancer with pyloric stenosis and liver metastasis; successfully treated by gastro-jejunal bypass and chemotherapy first, followed by curative R0 resection.伴有幽门狭窄和肝转移的晚期胃癌的治疗策略;先通过胃肠吻合术和化疗成功治疗,随后进行根治性R0切除。
Surg Case Rep. 2021 Jan 6;7(1):6. doi: 10.1186/s40792-020-00979-7.
2
[Two cases of stage IV gastric cancer treated by resection of the primary tumor after chemotherapy combined with trastuzumab].[两例IV期胃癌经化疗联合曲妥珠单抗治疗后行原发肿瘤切除术]
Gan To Kagaku Ryoho. 2013 Nov;40(12):2188-90.
3
[Trastuzumab Combination Chemotherapy Followed by R0 Resection for Locally Advanced Human Epidermal Growth Factor Receptor 2-Positive Gastric Cancer-A Case Report].[曲妥珠单抗联合化疗后行R0切除治疗局部进展期人表皮生长因子受体2阳性胃癌——病例报告]
Gan To Kagaku Ryoho. 2019 Jan;46(1):121-123.
4
[Distal gastrectomy for initially unresectable gastric cancer with pyloric stenosis following gastrojejunostomy and S-1 plus CDDP chemotherapy].[胃空肠吻合术后合并幽门狭窄的初始不可切除胃癌行远端胃切除术及S-1联合顺铂化疗]
Gan To Kagaku Ryoho. 2012 Dec;39(13):2549-52.
5
Conversion surgery for gastric remnant cancer with liver metastasis after nivolumab combination chemotherapy achieving pathological complete response: a case report and literature review.纳武利尤单抗联合化疗后病理完全缓解的胃残胃癌伴肝转移转化手术:病例报告及文献综述
Surg Case Rep. 2024 May 1;10(1):107. doi: 10.1186/s40792-024-01905-x.
6
A case report of curative distal gastrectomy for stage IV gastric cancer after chemoradiotherapy in a patient with a gastrojejunal gastric bypass.一例胃空肠吻合术后IV期胃癌患者放化疗后行根治性远端胃切除术的病例报告
Surg Case Rep. 2016 Dec;2(1):131. doi: 10.1186/s40792-016-0259-x. Epub 2016 Nov 11.
7
Successful subtotal gastrectomy and hepatectomy for HER2-positive gastric cancer with liver metastasis after trastuzumab-based chemotherapy: a case report.曲妥珠单抗化疗后成功行胃大部切除术及肝切除术治疗HER2阳性胃癌肝转移:1例病例报告
Surg Case Rep. 2024 Mar 5;10(1):51. doi: 10.1186/s40792-024-01852-7.
8
[A Case of HER2-Positive Advanced Gastric Cancer with Multiple Liver Metastases Effectively Treated with Trastuzumab, Capecitabine, and Cisplatin Combination Therapy].[1例HER2阳性晚期胃癌伴多发肝转移经曲妥珠单抗、卡培他滨和顺铂联合治疗有效]
Gan To Kagaku Ryoho. 2016 Oct;43(10):1211-1214.
9
[A Case of Unresectable Advanced Gastric Cancer Resected by Conversion Surgery after Trastuzumab Combination Chemotherapy].[1例经曲妥珠单抗联合化疗后行转化手术切除的不可切除晚期胃癌病例]
Gan To Kagaku Ryoho. 2022 Dec;49(13):1515-1517.
10
Liver metastases from gastric carcinoma: A Case report and review of the literature.胃癌肝转移:一例病例报告及文献综述
Curr Probl Cancer. 2017 May-Jun;41(3):222-230. doi: 10.1016/j.currproblcancer.2017.03.003. Epub 2017 Mar 24.

本文引用的文献

1
Prognostic Nutritional Index Predicts Outcomes of Patients after Gastrectomy for Cancer: A Systematic Review and Meta-Analysis of Nonrandomized Studies.预后营养指数预测胃癌患者胃切除术后结局的系统评价和非随机研究荟萃分析。
Nutr Cancer. 2019;71(4):557-568. doi: 10.1080/01635581.2019.1577986. Epub 2019 Feb 22.
2
Multidisciplinary treatment for patients with stage IV gastric cancer: the role of conversion surgery following chemotherapy.多学科治疗方案在 IV 期胃癌患者中的应用:化疗后转化手术的作用。
BMC Cancer. 2018 Nov 15;18(1):1116. doi: 10.1186/s12885-018-4998-x.
3
Conversion therapy for advanced gastric cancer with trastuzumab combined with chemotherapy: A case report.
曲妥珠单抗联合化疗用于晚期胃癌的转化治疗:1例病例报告
Oncol Lett. 2018 Aug;16(2):2085-2090. doi: 10.3892/ol.2018.8942. Epub 2018 Jun 11.
4
Effects of Preoperative Malnutrition on Short- and Long-Term Outcomes of Patients with Gastric Cancer: Can We Do Better?术前营养不良对胃癌患者短期和长期结局的影响:我们能否做得更好?
Ann Surg Oncol. 2017 Oct;24(11):3376-3385. doi: 10.1245/s10434-017-5998-9. Epub 2017 Jul 11.
5
The long-term survival of stage IV gastric cancer patients with conversion therapy.IV 期胃癌患者经转化治疗后的长期生存。
Gastric Cancer. 2018 Mar;21(2):315-323. doi: 10.1007/s10120-017-0738-1. Epub 2017 Jun 14.
6
Beneficial Effect of Educational and Nutritional Intervention on the Nutritional Status and Compliance of Gastric Cancer Patients Undergoing Chemotherapy: A Randomized Trial.教育与营养干预对胃癌化疗患者营养状况及依从性的有益影响:一项随机试验
Nutr Cancer. 2017 Jul;69(5):762-771. doi: 10.1080/01635581.2017.1321131. Epub 2017 May 19.
7
A decrease in the prognostic nutritional index is associated with a worse long-term outcome in gastric cancer patients undergoing neoadjuvant chemotherapy.预后营养指数的降低与接受新辅助化疗的胃癌患者较差的长期预后相关。
Surg Today. 2017 Aug;47(8):1018-1026. doi: 10.1007/s00595-017-1469-y. Epub 2017 Mar 1.
8
Role of Prealbumin as a Powerful and Simple Index for Predicting Postoperative Complications After Gastric Cancer Surgery.前白蛋白作为预测胃癌手术后并发症的有力且简单指标的作用。
Ann Surg Oncol. 2017 Feb;24(2):510-517. doi: 10.1245/s10434-016-5548-x. Epub 2016 Sep 8.
9
Japanese gastric cancer treatment guidelines 2014 (ver. 4).《日本胃癌治疗指南2014(第4版)》
Gastric Cancer. 2017 Jan;20(1):1-19. doi: 10.1007/s10120-016-0622-4. Epub 2016 Jun 24.
10
Nutritional predictors for postoperative short-term and long-term outcomes of patients with gastric cancer.胃癌患者术后短期和长期预后的营养预测指标
Medicine (Baltimore). 2016 Jun;95(24):e3781. doi: 10.1097/MD.0000000000003781.