• 文献检索
  • 文档翻译
  • 深度研究
  • 学术资讯
  • Suppr Zotero 插件Zotero 插件
  • 邀请有礼
  • 套餐&价格
  • 历史记录
应用&插件
Suppr Zotero 插件Zotero 插件浏览器插件Mac 客户端Windows 客户端微信小程序
定价
高级版会员购买积分包购买API积分包
服务
文献检索文档翻译深度研究API 文档MCP 服务
关于我们
关于 Suppr公司介绍联系我们用户协议隐私条款
关注我们

Suppr 超能文献

核心技术专利:CN118964589B侵权必究
粤ICP备2023148730 号-1Suppr @ 2026

文献检索

告别复杂PubMed语法,用中文像聊天一样搜索,搜遍4000万医学文献。AI智能推荐,让科研检索更轻松。

立即免费搜索

文件翻译

保留排版,准确专业,支持PDF/Word/PPT等文件格式,支持 12+语言互译。

免费翻译文档

深度研究

AI帮你快速写综述,25分钟生成高质量综述,智能提取关键信息,辅助科研写作。

立即免费体验

用于从阴道和直肠拭子中立即快速鉴定无乳链球菌的可视化多重交叉置换扩增法。

Visual multiple cross displacement amplification for the rapid identification of S. agalactiae immediately from vaginal and rectal swabs.

作者信息

Cheng Xueqin, Dou Zhiqian, Yang Jing, Liu Dexi, Gu Yulong, Cai Fenglin, Li Xiaobing, Wang Meifang, Tang Yijun

机构信息

Department of Respiratory and Critical Medical, Taihe Hospital, Hubei University of Medicine, Shiyan, Hubei, China.

Hubei Key Laboratory of Embryonic Stem Cell Research, Tai-He Hospital, Hubei University of Medicine, Shiyan, China.

出版信息

AMB Express. 2021 Jan 6;11(1):9. doi: 10.1186/s13568-020-01168-3.

DOI:10.1186/s13568-020-01168-3
PMID:33409835
原文链接:https://pmc.ncbi.nlm.nih.gov/articles/PMC7788142/
Abstract

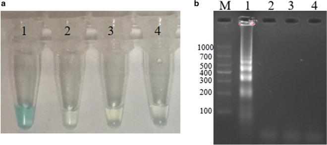
Streptococcus agalactiae (S. agalactiae) is an important pathogen that can lead to neonatus and mother infection. The current existing techniques for the identification of S. agalactiae are limited by accuracy, speed and high-cost. Therefore, a new multiple cross displacement amplification (MCDA) assay was developed for test of the target pathogen immediately from vaginal and rectal swabs. MCDA primers screening were conducted targeting S. agalactiae pcsB gene, and one set of MCDA primers with better rapidity and efficiency was selected for establishing the S. agalactiae-MCDA assay. As a result, the MCDA method could be completed at a constant temperature of 61 °C, without the requirement of special equipment. The detection limit is 250 fg (31.5 copies) per reaction, all S. agalactiae strains displayed positive results, but not for non-S. agalactiae strains. The visual MCDA assay detected 16 positive samples from 200 clinical specimen, which were also detected positive by enrichment/qPCR. While the CHROMagar culture detected 6 positive samples. Thus, the MCDA assay is prefer to enrichment/qPCR and culture for detecting S. agalactiae from clinical specimen. Particularly, the whole test of MCDA takes about 63.1 min, including sample collection (3 min), DNA preparation (15 min), MCDA reaction (45 min) and result reporting (6 s). In addition, the cost was very economic, with only US$ 4.9. These results indicated that our S. agalaciae-MCDA assay is a rapid, sensitive and cost-efficient technique for target pathogen detection, and is more suitable than conventional assays for an urgent detection, especially for 'on-site' laboratories and resource-constrained settings.

摘要

无乳链球菌是一种重要的病原体,可导致新生儿和母亲感染。目前现有的无乳链球菌鉴定技术受到准确性、速度和高成本的限制。因此,开发了一种新的多重交叉置换扩增(MCDA)检测方法,可直接从阴道和直肠拭子中检测目标病原体。针对无乳链球菌的pcsB基因进行MCDA引物筛选,选择一组具有更好快速性和效率的MCDA引物来建立无乳链球菌-MCDA检测方法。结果表明,MCDA方法可在61℃恒温下完成,无需特殊设备。检测限为每个反应250 fg(31.5个拷贝),所有无乳链球菌菌株均显示阳性结果,而非无乳链球菌菌株则为阴性。可视化MCDA检测从200份临床标本中检测出16份阳性样本,经富集/qPCR检测也呈阳性。而CHROMagar培养法检测出6份阳性样本。因此,在从临床标本中检测无乳链球菌方面,MCDA检测优于富集/qPCR和培养法。特别是,MCDA的整个检测过程约需63.1分钟,包括样本采集(3分钟)、DNA制备(15分钟)、MCDA反应(45分钟)和结果报告(6秒)。此外,成本非常经济,仅为4.9美元。这些结果表明,我们的无乳链球菌-MCDA检测方法是一种快速、灵敏且经济高效的目标病原体检测技术,比传统检测方法更适合紧急检测

https://cdn.ncbi.nlm.nih.gov/pmc/blobs/bd87/7788142/0e62a478282b/13568_2020_1168_Fig7_HTML.jpg
https://cdn.ncbi.nlm.nih.gov/pmc/blobs/bd87/7788142/48217c38b843/13568_2020_1168_Fig1_HTML.jpg
https://cdn.ncbi.nlm.nih.gov/pmc/blobs/bd87/7788142/2f82a614de2d/13568_2020_1168_Fig2_HTML.jpg
https://cdn.ncbi.nlm.nih.gov/pmc/blobs/bd87/7788142/424b6f046191/13568_2020_1168_Fig3_HTML.jpg
https://cdn.ncbi.nlm.nih.gov/pmc/blobs/bd87/7788142/b32cd307bf12/13568_2020_1168_Fig4_HTML.jpg
https://cdn.ncbi.nlm.nih.gov/pmc/blobs/bd87/7788142/ec50a0e05793/13568_2020_1168_Fig5_HTML.jpg
https://cdn.ncbi.nlm.nih.gov/pmc/blobs/bd87/7788142/f0a5c777939b/13568_2020_1168_Fig6_HTML.jpg
https://cdn.ncbi.nlm.nih.gov/pmc/blobs/bd87/7788142/0e62a478282b/13568_2020_1168_Fig7_HTML.jpg
https://cdn.ncbi.nlm.nih.gov/pmc/blobs/bd87/7788142/48217c38b843/13568_2020_1168_Fig1_HTML.jpg
https://cdn.ncbi.nlm.nih.gov/pmc/blobs/bd87/7788142/2f82a614de2d/13568_2020_1168_Fig2_HTML.jpg
https://cdn.ncbi.nlm.nih.gov/pmc/blobs/bd87/7788142/424b6f046191/13568_2020_1168_Fig3_HTML.jpg
https://cdn.ncbi.nlm.nih.gov/pmc/blobs/bd87/7788142/b32cd307bf12/13568_2020_1168_Fig4_HTML.jpg
https://cdn.ncbi.nlm.nih.gov/pmc/blobs/bd87/7788142/ec50a0e05793/13568_2020_1168_Fig5_HTML.jpg
https://cdn.ncbi.nlm.nih.gov/pmc/blobs/bd87/7788142/f0a5c777939b/13568_2020_1168_Fig6_HTML.jpg
https://cdn.ncbi.nlm.nih.gov/pmc/blobs/bd87/7788142/0e62a478282b/13568_2020_1168_Fig7_HTML.jpg

相似文献

1
Visual multiple cross displacement amplification for the rapid identification of S. agalactiae immediately from vaginal and rectal swabs.用于从阴道和直肠拭子中立即快速鉴定无乳链球菌的可视化多重交叉置换扩增法。
AMB Express. 2021 Jan 6;11(1):9. doi: 10.1186/s13568-020-01168-3.
2
Highly Sensitive and Rapid Identification of Based on Multiple Cross Displacement Amplification Coupled With Lateral Flow Biosensor Assay.基于多重交叉置换扩增与侧向流动生物传感器检测的高灵敏度快速鉴定
Front Microbiol. 2020 Aug 28;11:1926. doi: 10.3389/fmicb.2020.01926. eCollection 2020.
3
Establishment and Application of Multiple Cross Displacement Amplification Coupled With Lateral Flow Biosensor (MCDA-LFB) for Visual and Rapid Detection of in Clinical Samples.建立并应用多重交叉置换扩增与侧向流生物传感器(MCDA-LFB),实现临床样本中 的可视化和快速检测。
Front Cell Infect Microbiol. 2019 Apr 16;9:102. doi: 10.3389/fcimb.2019.00102. eCollection 2019.
4
Development of a multiple cross displacement amplification combined with nanoparticles-based biosensor assay for rapid and sensitive detection of Streptococcus pyogenes.建立一种多重交叉置换扩增与基于纳米粒子的生物传感器相结合的方法,用于快速灵敏地检测化脓性链球菌。
BMC Microbiol. 2024 Feb 7;24(1):51. doi: 10.1186/s12866-024-03189-5.
5
Nanoparticle-based lateral flow biosensor combined with multiple cross displacement amplification for rapid, visual and sensitive detection of Vibrio cholerae.基于纳米颗粒的侧向流动生物传感器结合多重交叉置换扩增用于霍乱弧菌的快速、可视化和灵敏检测。
FEMS Microbiol Lett. 2017 Dec 15;364(23). doi: 10.1093/femsle/fnx234.
6
Development and Application of a Multiple Cross Displacement Amplification Combined With Nanoparticle-Based Lateral Flow Biosensor Assay to Detect .一种结合基于纳米颗粒的侧向流动生物传感器检测法的多重交叉置换扩增技术的开发与应用 。 (原文最后“Detect”后缺少具体检测对象,译文根据语境补充完整使其表意更明确)
Front Microbiol. 2021 Jun 10;12:681488. doi: 10.3389/fmicb.2021.681488. eCollection 2021.
7
Multiple Cross Displacement Amplification Linked with Nanoparticles-Based Lateral Flow Biosensor in Screening of Hepatitis B Virus in Clinical Application.多重交叉置换扩增与基于纳米颗粒的侧向流动生物传感器联用在临床应用中筛查乙型肝炎病毒
Infect Drug Resist. 2021 Mar 25;14:1219-1229. doi: 10.2147/IDR.S297645. eCollection 2021.
8
Rapid Detection of spp. and Elimination of Carryover Using Multiple Cross Displacement Amplification Coupled With Nanoparticles-Based Lateral Flow Biosensor.利用多重交叉置换扩增结合基于纳米颗粒的侧向流生物传感器快速检测 spp. 并消除携带污染。
Front Cell Infect Microbiol. 2019 Mar 28;9:78. doi: 10.3389/fcimb.2019.00078. eCollection 2019.
9
Establishment and application of a multiple cross displacement amplification combined with nanoparticles-based biosensor method for the detection of Bordetella pertussis.建立和应用多重交叉置换扩增联合纳米粒子基生物传感器方法检测百日咳博德特氏菌。
BMC Microbiol. 2020 Aug 24;20(1):263. doi: 10.1186/s12866-020-01945-x.
10
Establishment and Application of a Multiple Cross Displacement Amplification Coupled With Nanoparticle-Based Lateral Flow Biosensor Assay for Detection of .建立和应用多重交叉置换扩增与基于纳米粒子的侧向流动生物传感器检测方法检测.
Front Cell Infect Microbiol. 2019 Sep 23;9:325. doi: 10.3389/fcimb.2019.00325. eCollection 2019.

引用本文的文献

1
Development of a multiple cross displacement amplification combined with nanoparticles-based biosensor assay for rapid and sensitive detection of Streptococcus pyogenes.建立一种多重交叉置换扩增与基于纳米粒子的生物传感器相结合的方法,用于快速灵敏地检测化脓性链球菌。
BMC Microbiol. 2024 Feb 7;24(1):51. doi: 10.1186/s12866-024-03189-5.

本文引用的文献

1
Highly sensitive and specific diagnosis of COVID-19 by reverse transcription multiple cross-displacement amplification-labelled nanoparticles biosensor.基于逆转录多重交叉置换扩增标记纳米粒子生物传感器的 COVID-19 高敏感和特异诊断。
Eur Respir J. 2020 Dec 10;56(6). doi: 10.1183/13993003.02060-2020. Print 2020 Dec.
2
Group B Streptococcus detection in pregnant women: comparison of qPCR assay, culture, and the Xpert GBS rapid test.孕妇人群中 B 群链球菌检测:qPCR 检测法、培养法与 Xpert GBS 快速检测法的比较。
BMC Pregnancy Childbirth. 2019 Dec 30;19(1):532. doi: 10.1186/s12884-019-2681-0.
3
Investigation of Streptococcus agalactiae using pcsB-based LAMP in milk, tilapia and vaginal swabs in Haikou, China.
在中国海口,使用基于 pcsB 的 LAMP 技术对牛奶、罗非鱼和阴道拭子中的无乳链球菌进行调查。
J Appl Microbiol. 2020 Mar;128(3):784-793. doi: 10.1111/jam.14501. Epub 2019 Nov 17.
4
Epidemiology of group B streptococcal infection in pregnant women and diseased infants in mainland China.中国内地孕妇和患病婴儿中 B 组链球菌感染的流行病学。
Pediatr Neonatol. 2019 Oct;60(5):487-495. doi: 10.1016/j.pedneo.2019.07.001. Epub 2019 Jul 26.
5
Multiple Cross Displacement Amplification Coupled With Gold Nanoparticles-Based Lateral Flow Biosensor for Detection of the Mobilized Colistin Resistance Gene .多重交叉置换扩增联合基于金纳米粒子的侧向流生物传感器检测动员型多黏菌素耐药基因。
Front Cell Infect Microbiol. 2019 Jun 27;9:226. doi: 10.3389/fcimb.2019.00226. eCollection 2019.
6
Group B DNA Copy Numbers Measured by Digital PCR Correlates with Perinatal Outcomes.B 组 DNA 拷贝数的数字 PCR 测量与围产结局相关。
Anal Chem. 2019 Aug 6;91(15):9466-9471. doi: 10.1021/acs.analchem.8b05872. Epub 2019 Jul 19.
7
Establishment and Application of Multiple Cross Displacement Amplification Coupled With Lateral Flow Biosensor (MCDA-LFB) for Visual and Rapid Detection of in Clinical Samples.建立并应用多重交叉置换扩增与侧向流生物传感器(MCDA-LFB),实现临床样本中 的可视化和快速检测。
Front Cell Infect Microbiol. 2019 Apr 16;9:102. doi: 10.3389/fcimb.2019.00102. eCollection 2019.
8
Quantitative Polymerase Chain Reaction Coupled With Sodium Dodecyl Sulfate and Propidium Monoazide for Detection of Viable in Milk.定量聚合酶链反应结合十二烷基硫酸钠和单叠氮碘化丙啶用于检测牛奶中的活菌
Front Microbiol. 2019 Mar 29;10:661. doi: 10.3389/fmicb.2019.00661. eCollection 2019.
9
Comparison of Three Nucleic Acid Amplification Tests and Culture for Detection of Group B from Enrichment Broth.比较三种核酸扩增试验与培养法对增菌液中 B 群链球菌的检测。
J Clin Microbiol. 2019 May 24;57(6). doi: 10.1128/JCM.01958-18. Print 2019 Jun.
10
Strains with Chromosomal Deletions Evade Detection with Molecular Methods.带有染色体缺失的菌株可逃避分子方法的检测。
J Clin Microbiol. 2019 Mar 28;57(4). doi: 10.1128/JCM.02040-18. Print 2019 Apr.