• 文献检索
  • 文档翻译
  • 深度研究
  • 学术资讯
  • Suppr Zotero 插件Zotero 插件
  • 邀请有礼
  • 套餐&价格
  • 历史记录
应用&插件
Suppr Zotero 插件Zotero 插件浏览器插件Mac 客户端Windows 客户端微信小程序
定价
高级版会员购买积分包购买API积分包
服务
文献检索文档翻译深度研究API 文档MCP 服务
关于我们
关于 Suppr公司介绍联系我们用户协议隐私条款
关注我们

Suppr 超能文献

核心技术专利:CN118964589B侵权必究
粤ICP备2023148730 号-1Suppr @ 2026

文献检索

告别复杂PubMed语法,用中文像聊天一样搜索,搜遍4000万医学文献。AI智能推荐,让科研检索更轻松。

立即免费搜索

文件翻译

保留排版,准确专业,支持PDF/Word/PPT等文件格式,支持 12+语言互译。

免费翻译文档

深度研究

AI帮你快速写综述,25分钟生成高质量综述,智能提取关键信息,辅助科研写作。

立即免费体验

二尖瓣置换术后瓣周漏的复杂病例

A Complicated Case of a Paravalvular Leak Following Mitral Valve Replacement.

作者信息

Khan Kashmala, Taweesedt Pahnwat T, Venkatachalam Sridhar, Surani Salim

机构信息

Internal Medicine, Corpus Christi Medical Center, Corpus Christi, USA.

Cardiology, Corpus Christi Medical Center, Corpus Christi, USA.

出版信息

Cureus. 2020 Dec 4;12(12):e11897. doi: 10.7759/cureus.11897.

DOI:10.7759/cureus.11897
PMID:33415049
原文链接:https://pmc.ncbi.nlm.nih.gov/articles/PMC7781868/
Abstract

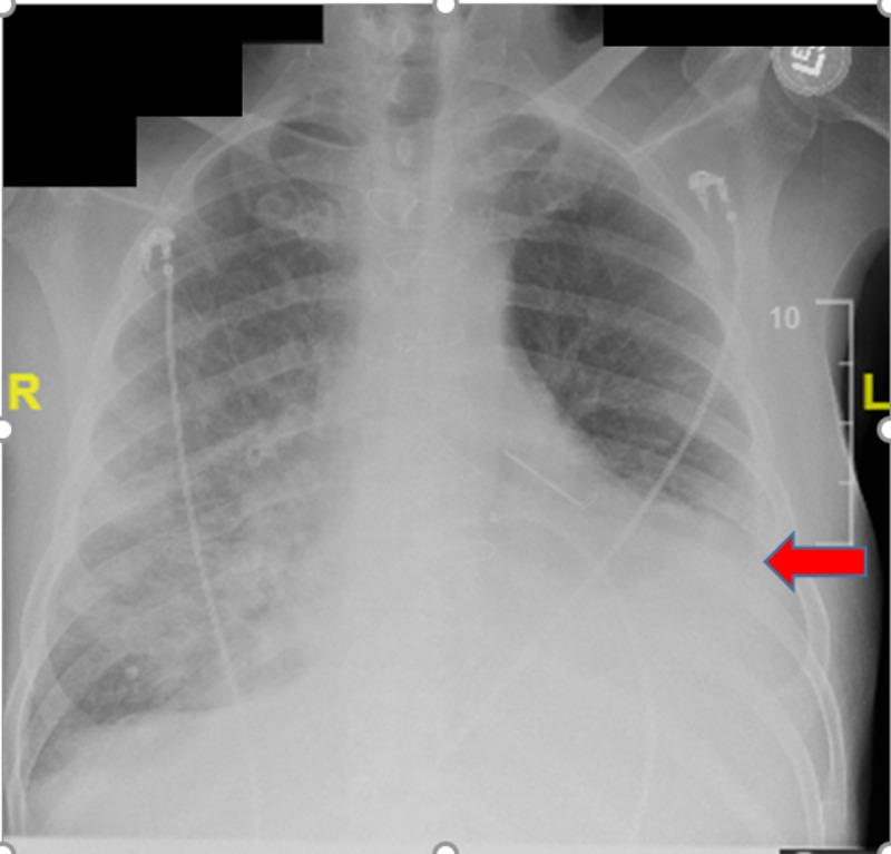
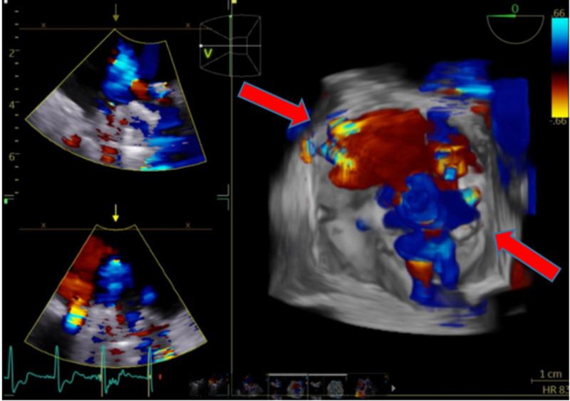
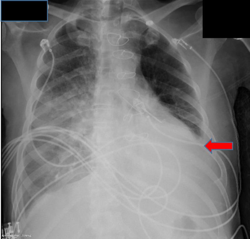
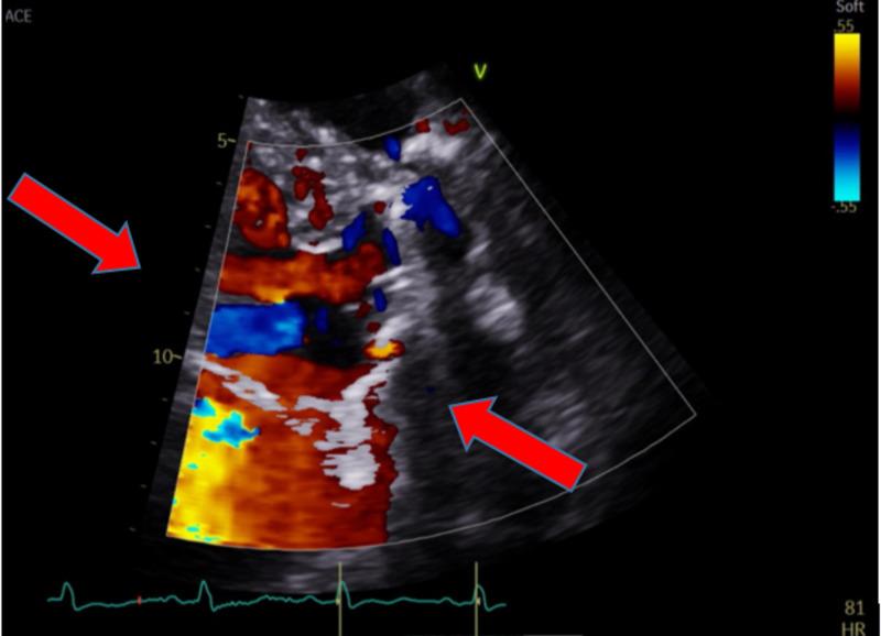
Paravalvular leaks (PVL) are an uncommon sequelae of valve replacement but can be seen as a complication of both mechanic and prosthetic valves. Patients with PVL may remain asymptomatic or have detrimental complications, which include heart failure, hemodynamically significant hemolysis, and endocarditis. Management depends on the clinical presentation and the degree of the valvular leak. We hereby present a case report of a patient with a complicated clinical course secondary to a PVL of the mitral valve. The patient had a recent mitral valve replacement and presented with symptoms of heart failure that was refractory to standard medical therapy. Valvular abnormality was not seen with initial trans-thoracic echocardiogram (TTE), but with high clinical suspicion, a trans-esophageal echocardiogram (TEE) was done confirming a PVL. The patient's condition continued to deteriorate; he became hemodynamically unstable with end-organ damage. Cardiothoracic surgery was consulted for surgical repair of the PVL. The patient, however, remained too unstable for surgery and the family opted for comfort measures per the patient's wishes.

摘要

瓣周漏(PVL)是瓣膜置换术后不常见的后遗症,但可视为机械瓣膜和人工瓣膜的并发症。瓣周漏患者可能无症状或出现有害并发症,包括心力衰竭、具有血流动力学意义的溶血和心内膜炎。治疗取决于临床表现和瓣膜漏的程度。我们在此报告一例二尖瓣瓣周漏继发复杂临床过程的病例。该患者近期进行了二尖瓣置换术,出现了标准药物治疗无效的心力衰竭症状。最初的经胸超声心动图(TTE)未发现瓣膜异常,但由于临床高度怀疑,进行了经食管超声心动图(TEE)检查,证实存在瓣周漏。患者病情持续恶化;他出现血流动力学不稳定并伴有终末器官损害。咨询心胸外科进行瓣周漏的手术修复。然而,患者仍因过于不稳定而无法进行手术,家属根据患者意愿选择了姑息治疗措施。

https://cdn.ncbi.nlm.nih.gov/pmc/blobs/4c99/7781868/6604e15708ba/cureus-0012-00000011897-i07.jpg
https://cdn.ncbi.nlm.nih.gov/pmc/blobs/4c99/7781868/ada081cc27e1/cureus-0012-00000011897-i01.jpg
https://cdn.ncbi.nlm.nih.gov/pmc/blobs/4c99/7781868/3b2ac2b17a20/cureus-0012-00000011897-i02.jpg
https://cdn.ncbi.nlm.nih.gov/pmc/blobs/4c99/7781868/8a63c44fae19/cureus-0012-00000011897-i03.jpg
https://cdn.ncbi.nlm.nih.gov/pmc/blobs/4c99/7781868/1c834cffcdcc/cureus-0012-00000011897-i04.jpg
https://cdn.ncbi.nlm.nih.gov/pmc/blobs/4c99/7781868/635f0b28e075/cureus-0012-00000011897-i05.jpg
https://cdn.ncbi.nlm.nih.gov/pmc/blobs/4c99/7781868/98137abf186f/cureus-0012-00000011897-i06.jpg
https://cdn.ncbi.nlm.nih.gov/pmc/blobs/4c99/7781868/6604e15708ba/cureus-0012-00000011897-i07.jpg
https://cdn.ncbi.nlm.nih.gov/pmc/blobs/4c99/7781868/ada081cc27e1/cureus-0012-00000011897-i01.jpg
https://cdn.ncbi.nlm.nih.gov/pmc/blobs/4c99/7781868/3b2ac2b17a20/cureus-0012-00000011897-i02.jpg
https://cdn.ncbi.nlm.nih.gov/pmc/blobs/4c99/7781868/8a63c44fae19/cureus-0012-00000011897-i03.jpg
https://cdn.ncbi.nlm.nih.gov/pmc/blobs/4c99/7781868/1c834cffcdcc/cureus-0012-00000011897-i04.jpg
https://cdn.ncbi.nlm.nih.gov/pmc/blobs/4c99/7781868/635f0b28e075/cureus-0012-00000011897-i05.jpg
https://cdn.ncbi.nlm.nih.gov/pmc/blobs/4c99/7781868/98137abf186f/cureus-0012-00000011897-i06.jpg
https://cdn.ncbi.nlm.nih.gov/pmc/blobs/4c99/7781868/6604e15708ba/cureus-0012-00000011897-i07.jpg

相似文献

1
A Complicated Case of a Paravalvular Leak Following Mitral Valve Replacement.二尖瓣置换术后瓣周漏的复杂病例
Cureus. 2020 Dec 4;12(12):e11897. doi: 10.7759/cureus.11897.
2
Early postoperative paravalvular leak among Egyptian population: An observational study.埃及人群术后早期瓣周漏:一项观察性研究。
J Saudi Heart Assoc. 2017 Jul;29(3):160-168. doi: 10.1016/j.jsha.2016.10.008. Epub 2016 Dec 21.
3
Paravalvular mitral valve leakage presenting as congestive heart failure, missed by TTE but diagnosed by TEE: a case report.以充血性心力衰竭为表现的二尖瓣瓣周漏,经胸超声心动图漏诊但经食管超声心动图确诊:一例病例报告
Cases J. 2008 Oct 6;1(1):216. doi: 10.1186/1757-1626-1-216.
4
Assessment of Paravalvular Leak After Transcatheter Aortic Valve Replacement: Transesophageal Echocardiography Compared With Transthoracic Echocardiography.经导管主动脉瓣置换术后瓣周漏的评估:经食管超声心动图与经胸超声心动图的比较
J Cardiothorac Vasc Anesth. 2017 Aug;31(4):1278-1284. doi: 10.1053/j.jvca.2017.03.010. Epub 2017 Mar 7.
5
Assessment of Mitral Paravalvular Leakage After Mitral Valve Replacement Using Cardiac Computed Tomography: Comparison With Surgical Findings.使用心脏计算机断层扫描评估二尖瓣置换术后二尖瓣瓣周漏:与手术结果比较
Circ Cardiovasc Imaging. 2016 Jun;9(6). doi: 10.1161/CIRCIMAGING.115.004153.
6
Interventional treatment of paravalvular regurgitation by plug implantation following prosthetic valve replacement: a single-center experience.经皮植入封堵器治疗人工瓣膜置换术后瓣周漏:单中心经验。
Clin Res Cardiol. 2018 Dec;107(12):1160-1169. doi: 10.1007/s00392-018-1290-7. Epub 2018 Jun 12.
7
The value of real-time three-dimensional transesophageal echocardiography in the assessment of paravalvular leak origin following prosthetic mitral valve replacement.实时三维经食管超声心动图在人工二尖瓣置换术后瓣周漏起源评估中的价值
Turk Kardiyol Dern Ars. 2009 Sep;37(6):371-7.
8
Prosthetic mitral valve paravalvular leak: A problem that requires dexterity.人工二尖瓣瓣周漏:一个需要精湛技术的问题。
Cardiovasc Revasc Med. 2018 Jan-Feb;19(1 Pt B):126-132. doi: 10.1016/j.carrev.2017.07.014. Epub 2017 Jul 24.
9
EchoNavigator virtual marker and Agilis NxT steerable introducer facilitate transseptal transcatheter closure of mitral paravalvular leak.回声导航虚拟标记物和Agilis NxT可转向导引器有助于经房间隔经导管闭合二尖瓣瓣周漏。
World J Clin Cases. 2022 May 6;10(13):4236-4241. doi: 10.12998/wjcc.v10.i13.4236.
10
A Nearly Missed Case of Mitral Bioprosthetic Paravalvular Leak (PVL)-Related Waring Blender Syndrome Treated With Transcatheter Mitral PVL Closure.1例二尖瓣生物瓣瓣周漏(PVL)相关沃林搅拌器综合征险些漏诊,经导管二尖瓣PVL封堵术治疗
Cureus. 2024 Apr 3;16(4):e57552. doi: 10.7759/cureus.57552. eCollection 2024 Apr.

引用本文的文献

1
Incidence of valvular regurgitation and leaflet perforation by using automated titanium fasteners (CORKNOT®) in heart valve repair or replacement: less usual than reported.使用自动钛紧固件(CORKNOT®)进行心脏瓣膜修复或置换时瓣膜反流和瓣叶穿孔的发生率:比报道的少见。
J Cardiothorac Surg. 2021 Jun 7;16(1):163. doi: 10.1186/s13019-021-01512-z.

本文引用的文献

1
Percutaneous closure of paravalvular leak in the treatment of anemia of mixed etiology in a patient with diabetic complications and chronic inflammation.经皮封堵瓣周漏治疗合并糖尿病并发症及慢性炎症患者的混合病因贫血
J Geriatr Cardiol. 2016 Oct;13(10):866-868. doi: 10.11909/j.issn.1671-5411.2016.10.006.
2
Transcatheter closure of paravalvular leaks: state of the art.经导管封堵瓣周漏:现状
Neth Heart J. 2017 Feb;25(2):116-124. doi: 10.1007/s12471-016-0918-3.
3
Surgical management of very late paravalvular leaks after mitral valve replacement: a single institutional experience.
二尖瓣置换术后极晚期瓣周漏的外科治疗:单中心经验
J Thorac Dis. 2016 Sep;8(9):E952-E956. doi: 10.21037/jtd.2016.08.58.
4
Assessment of Mitral Paravalvular Leakage After Mitral Valve Replacement Using Cardiac Computed Tomography: Comparison With Surgical Findings.使用心脏计算机断层扫描评估二尖瓣置换术后二尖瓣瓣周漏:与手术结果比较
Circ Cardiovasc Imaging. 2016 Jun;9(6). doi: 10.1161/CIRCIMAGING.115.004153.
5
Cardiac imaging in prosthetic paravalvular leaks.人工瓣周漏的心脏影像学检查。
Cardiovasc Diagn Ther. 2014 Aug;4(4):307-13. doi: 10.3978/j.issn.2223-3652.2014.07.01.
6
Different clinical outcome of paravalvular leakage after aortic or mitral valve replacement.主动脉瓣或二尖瓣置换术后瓣周漏的不同临床转归。
Am J Cardiol. 2011 Jan 15;107(2):280-4. doi: 10.1016/j.amjcard.2010.09.014.
7
Postoperative outcome of patients with prosthetic valve leak.人工瓣膜漏患者的术后结果。
Arq Bras Cardiol. 2009 Sep;93(3):283-9. doi: 10.1590/s0066-782x2009000900013.
8
Comparison of transthoracic and transesophageal assessment of prosthetic valve dysfunction.经胸与经食管评估人工瓣膜功能障碍的比较。
Echocardiography. 1990 Mar;7(2):83-95. doi: 10.1111/j.1540-8175.1990.tb00352.x.