Suppr超能文献

在第三孕期的双胞胎妊娠中,对夹层颅内动脉瘤进行清醒状态下的血管内栓塞治疗:病例报告。

Awake endovascular coiling of a dissected intracranial aneurysm in a third-trimester twin pregnancy: A case report.

机构信息

Department of Neurosurgery.

Department of Neurosurgery, West China Hospital, Sichuan University, Chengdu, P. R. China.

出版信息

Medicine (Baltimore). 2021 Jan 8;100(1):e24239. doi: 10.1097/MD.0000000000024239.

Abstract

RATIONALE

Subarachnoid hemorrhages (SAHs) from ruptured intracranial aneurysms are very rare during pregnancy. Management of ruptured intracranial aneurysms with SAH in pregnancy is often challenging because of the risks to the fetus and the mother. We present the first successful awake endovascular coiling of a dissected intracranial aneurysm in a third trimester twin pregnancy.

PATIENT CONCERNS

A 28 years' old pregnant woman was admitted at the obstetric department of our hospital on account of very severe headaches associated with nausea and vomiting.

DIAGNOSIS

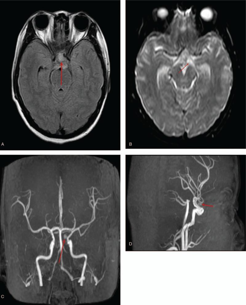
Emergency obstetric ultrasound scan done confirmed 32 weeks' twin gestation, whereas magnetic resonance imaging established hemorrhage in the suprasellar cistern and the subarachnoid space. Magnetic resonance angiography revealed a dissected aneurysm in the ophthalmic segment of the left internal carotid artery.

INTERVENTIONS

Awake cerebral angiography as well as embolization of the aneurysm with coils was done via the transarterial route and the twins were delivered via caesarean section at 37 weeks' gestation.

OUTCOMES

Two years' follow-up indicated no complications and children as well as their mother are healthy.

LESIONS

Awake endovascular coiling was very beneficial in our case because we avoided general anesthesia and the use of osmotic diuretics which are potentially hazardous during pregnancy.

摘要

背景

妊娠期间颅内破裂性动脉瘤引起的蛛网膜下腔出血非常罕见。由于对胎儿和母亲的风险,妊娠期间破裂性颅内动脉瘤伴蛛网膜下腔出血的处理常常具有挑战性。我们首次成功地在妊娠晚期双胎妊娠中进行了清醒状态下的颅内血管内夹闭术。

病例介绍

一名 28 岁的孕妇因严重头痛伴恶心呕吐而被收入我院妇产科。

诊断

急诊产科超声检查证实为 32 周的双胎妊娠,而磁共振成像显示鞍上池和蛛网膜下腔出血。磁共振血管造影显示左侧颈内动脉眼段夹层动脉瘤。

治疗

通过动脉途径进行清醒状态下的脑血管造影和线圈栓塞,并于 37 孕周行剖宫产术分娩双胞胎。

结果

2 年随访未见并发症,儿童及其母亲均健康。

病变

在我们的病例中,清醒状态下的血管内夹闭术非常有益,因为我们避免了全身麻醉和使用可能对妊娠有潜在危害的渗透性利尿剂。

https://cdn.ncbi.nlm.nih.gov/pmc/blobs/8aff/7793342/82434b09258a/medi-100-e24239-g001.jpg

文献AI研究员

20分钟写一篇综述,助力文献阅读效率提升50倍。

立即体验

用中文搜PubMed

大模型驱动的PubMed中文搜索引擎

马上搜索

文档翻译

学术文献翻译模型,支持多种主流文档格式。

立即体验