• 文献检索
  • 文档翻译
  • 深度研究
  • 学术资讯
  • Suppr Zotero 插件Zotero 插件
  • 邀请有礼
  • 套餐&价格
  • 历史记录
应用&插件
Suppr Zotero 插件Zotero 插件浏览器插件Mac 客户端Windows 客户端微信小程序
定价
高级版会员购买积分包购买API积分包
服务
文献检索文档翻译深度研究API 文档MCP 服务
关于我们
关于 Suppr公司介绍联系我们用户协议隐私条款
关注我们

Suppr 超能文献

核心技术专利:CN118964589B侵权必究
粤ICP备2023148730 号-1Suppr @ 2026

文献检索

告别复杂PubMed语法,用中文像聊天一样搜索,搜遍4000万医学文献。AI智能推荐,让科研检索更轻松。

立即免费搜索

文件翻译

保留排版,准确专业,支持PDF/Word/PPT等文件格式,支持 12+语言互译。

免费翻译文档

深度研究

AI帮你快速写综述,25分钟生成高质量综述,智能提取关键信息,辅助科研写作。

立即免费体验

一例疑似合并肝脏异位醛固酮分泌瘤的威廉姆斯综合征病例。

A case of Williams syndrome with suspected coexisting ectopic aldosterone-producing tumor in the liver.

作者信息

Baba Shuhei, Miyoshi Arina, Obara Shinji, Usubuchi Hiroaki, Terae Satoshi, Sunahara Masao, Oshima Takahiro, Misawa Kazuhito, Tsuji Takahiro, Takahashi Bunya, Yamazaki Yuto, Sasano Hironobu, Wada Norio

机构信息

Departments of Diabetes and Endocrinology, Sapporo City General Hospital, Sapporo, Japan.

Radiology, Sapporo City General Hospital, Sapporo, Japan.

出版信息

Endocrinol Diabetes Metab Case Rep. 2020 Sep 23;2020. doi: 10.1530/EDM-20-0057.

DOI:10.1530/EDM-20-0057
PMID:33434178
原文链接:https://pmc.ncbi.nlm.nih.gov/articles/PMC7576637/
Abstract

SUMMARY

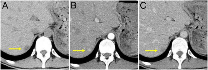
A 31-year-old man with Williams syndrome (WS) was referred to our hospital because of a 9-year history of hypertension, hypokalemia, and high plasma aldosterone concentration to renin activity ratio. A diagnosis of primary aldosteronism (PA) was clinically confirmed but an abdominal CT scan showed no abnormal findings in his adrenal glands. However, a 13-mm hypervascular tumor in the posterosuperior segment of the right hepatic lobe was detected. Adrenal venous sampling (AVS) subsequently revealed the presence of an extended tributary of the right adrenal vein to the liver surrounding the tumor. Segmental AVS further demonstrated a high plasma aldosterone concentration (PAC) in the right superior tributary vein draining the tumor. Laparoscopic partial hepatectomy was performed. The resected tumor histologically separated from the liver was composed of clear cells, immunohistochemically positive for aldesterone synthase (CYP11B2), and subsequently diagnosed as aldosterone-producing adrenal adenoma. After surgery, his blood pressure, serum potassium level, plasma renin activity and PAC were normalized. To the best of our knowledge, this is the first report of WS associated with PA. WS harbors a high prevalence of hypertension and therefore PA should be considered when managing the patients with WS and hypertension. In this case, the CT findings alone could not differentiate the adrenal rest tumor. Our case, therefore, highlights the usefulness of segmental AVS to distinguish adrenal tumors from hepatic adrenal rest tumors.

LEARNING POINTS

Williams syndrome (WS) is a rare genetic disorder, characterized by a constellation of medical and cognitive findings, with a hallmark feature of generalized arteriopathy presenting as stenoses of elastic arteries and hypertension. WS is a disease with a high frequency of hypertension but the renin-aldosterone system in WS cases has not been studied at all. If a patient with WS had hypertension and severe hypokalemia, low PRA and high ARR, the coexistence of primary aldosteronism (PA) should be considered. Adrenal rest tumors are thought to arise from aberrant adrenal tissues and are a rare cause of PA. Hepatic adrenal rest tumor (HART) should be considered in the differential diagnosis when detecting a mass in the right hepatic lobe. Segmental adrenal venous sampling could contribute to distinguish adrenal tumors from HART.

摘要

摘要

一名31岁患有威廉姆斯综合征(WS)的男性因9年的高血压、低钾血症及高血浆醛固酮浓度与肾素活性比值被转诊至我院。临床确诊为原发性醛固酮增多症(PA),但腹部CT扫描显示其肾上腺无异常发现。然而,在右肝叶后上段发现一个13毫米的高血管性肿瘤。随后肾上腺静脉采样(AVS)显示右肾上腺静脉有一条延伸至肿瘤周围肝脏的分支。分段AVS进一步证实引流肿瘤的右上分支静脉中血浆醛固酮浓度(PAC)较高。遂行腹腔镜肝部分切除术。切除的肿瘤在组织学上与肝脏分离,由透明细胞组成,醛固酮合酶(CYP11B2)免疫组化呈阳性,随后被诊断为分泌醛固酮的肾上腺腺瘤。术后,他的血压、血钾水平、血浆肾素活性和PAC均恢复正常。据我们所知,这是首例与PA相关的WS报告。WS患者高血压患病率高,因此在管理患有WS和高血压的患者时应考虑PA。在本病例中,仅CT表现无法鉴别肾上腺残余肿瘤。因此我们的病例突出了分段AVS在区分肾上腺肿瘤与肝肾上腺残余肿瘤方面的有用性。

学习要点

威廉姆斯综合征(WS)是一种罕见的遗传性疾病,其特征为一系列医学和认知表现,标志性特征为全身性动脉病变,表现为弹性动脉狭窄和高血压。WS是一种高血压发生率较高的疾病,但WS患者的肾素 - 醛固酮系统尚未得到研究。如果WS患者患有高血压且伴有严重低钾血症、低肾素活性(PRA)和高醛固酮肾素比值(ARR),应考虑原发性醛固酮增多症(PA)的共存。肾上腺残余肿瘤被认为起源于异常肾上腺组织且是PA的罕见病因。在右肝叶发现肿块时,鉴别诊断应考虑肝肾上腺残余肿瘤(HART)。分段肾上腺静脉采样有助于区分肾上腺肿瘤与HART。

https://cdn.ncbi.nlm.nih.gov/pmc/blobs/5c5f/7576637/571699b3b2a7/EDM20-0057fig4.jpg
https://cdn.ncbi.nlm.nih.gov/pmc/blobs/5c5f/7576637/695b88c9bba7/EDM20-0057fig1.jpg
https://cdn.ncbi.nlm.nih.gov/pmc/blobs/5c5f/7576637/0c9b872eebb6/EDM20-0057fig2.jpg
https://cdn.ncbi.nlm.nih.gov/pmc/blobs/5c5f/7576637/571699b3b2a7/EDM20-0057fig4.jpg
https://cdn.ncbi.nlm.nih.gov/pmc/blobs/5c5f/7576637/695b88c9bba7/EDM20-0057fig1.jpg
https://cdn.ncbi.nlm.nih.gov/pmc/blobs/5c5f/7576637/0c9b872eebb6/EDM20-0057fig2.jpg
https://cdn.ncbi.nlm.nih.gov/pmc/blobs/5c5f/7576637/571699b3b2a7/EDM20-0057fig4.jpg

相似文献

1
A case of Williams syndrome with suspected coexisting ectopic aldosterone-producing tumor in the liver.一例疑似合并肝脏异位醛固酮分泌瘤的威廉姆斯综合征病例。
Endocrinol Diabetes Metab Case Rep. 2020 Sep 23;2020. doi: 10.1530/EDM-20-0057.
2
Primary aldosteronism in Klinefelter's syndrome: two cases.克兰费尔特综合征中的原发性醛固酮增多症:两例报告。
Endocrinol Diabetes Metab Case Rep. 2019 Dec 16;2019. doi: 10.1530/EDM-19-0126.
3
A Case of Primary Aldosteronism Due to A Primary Adrenal Adenoma Diagnosed by Segmental Adrenal Venous Sampling (S-AVS) Using a Modified Catheter System and Lateral Cine Angiography.一例经改良导管系统和侧位电影血管造影术行节段性肾上腺静脉采血(S-AVS)诊断的原发性肾上腺腺瘤所致原发性醛固酮增多症病例
Am J Case Rep. 2019 Feb 2;20:139-145. doi: 10.12659/AJCR.913172.
4
Duplicated adrenal veins in primary aldosteronism misdiagnosed with ectopic aldosteronoma due to apparent bilateral aldosterone suppression.原发性醛固酮增多症中因双侧醛固酮明显抑制而误诊为异位醛固酮瘤的重复肾上腺静脉。
Blood Press. 2023 Dec;32(1):2209664. doi: 10.1080/08037051.2023.2209664.
5
A case of bilateral aldosterone-producing adenomas differentiated by segmental adrenal venous sampling for bilateral adrenal sparing surgery.一例通过双侧肾上腺静脉分段采样鉴别诊断的双侧醛固酮分泌性腺瘤,行双侧肾上腺保留手术。
J Hum Hypertens. 2016 Jun;30(6):379-85. doi: 10.1038/jhh.2015.100. Epub 2015 Nov 5.
6
Case Report: Primary Aldosteronism and Subclinical Cushing Syndrome in a 49-Year-Old Woman With Hypertension Plus Hypokalaemia.病例报告:一名49岁高血压合并低钾血症女性的原发性醛固酮增多症和亚临床库欣综合征
Front Cardiovasc Med. 2022 May 30;9:911333. doi: 10.3389/fcvm.2022.911333. eCollection 2022.
7
Bilateral co-secretory lesions presenting with coexisting Cushing syndrome and primary aldosteronism: a case report.双侧协同性分泌病变伴发库欣综合征和原发性醛固酮增多症:一例报告。
BMC Endocr Disord. 2023 Nov 29;23(1):263. doi: 10.1186/s12902-023-01454-8.
8
Pitfalls in the diagnosis and treatment of a hypertensive patient with unilateral primary aldosteronism and contralateral pheochromocytoma: a case report.单侧原发性醛固酮增多症伴对侧嗜铬细胞瘤的高血压患者的诊断和治疗失误:病例报告。
BMC Endocr Disord. 2023 Feb 16;23(1):44. doi: 10.1186/s12902-023-01297-3.
9
High aldosterone levels in the renal capsular vein from the left aldosterone-producing adenoma on adrenal venous sampling.肾上腺静脉采血时,来自左侧醛固酮分泌性腺瘤的肾包膜静脉中醛固酮水平升高。
Endocrinol Diabetes Metab Case Rep. 2023 Aug 2;2023(3):23-0041. doi: 10.1530/EDM-23-0041.
10
New diagnostic procedure for primary aldosteronism: adrenal venous sampling under adrenocorticotropic hormone and angiotensin II receptor blocker--application to a case of bilateral multiple adrenal microadenomas.原发性醛固酮增多症的新诊断方法:促肾上腺皮质激素和血管紧张素 II 受体阻滞剂下的肾上腺静脉采血——应用于一例双侧多发性肾上腺微腺瘤病例
Hypertens Res. 2002 Mar;25(2):145-52. doi: 10.1291/hypres.25.145.

引用本文的文献

1
A hepatic adrenal rest tumor with a benign gallbladder tumor: a case report and literature review.一例合并良性胆囊肿瘤的肝脏肾上腺残余瘤:病例报告及文献复习
Front Oncol. 2025 Jun 5;15:1497448. doi: 10.3389/fonc.2025.1497448. eCollection 2025.

本文引用的文献

1
Diagnosis and management of systemic hypertension due to renovascular and aortic stenosis in patients with Williams-Beuren syndrome.
Rev Assoc Med Bras (1992). 2018 Aug;64(8):723-728. doi: 10.1590/1806-9282.64.08.723.
2
Hepatic adrenal rest tumor mimicking hepatocellular carcinoma.酷似肝细胞癌的肝肾上腺残余瘤
Korean J Hepatol. 2010 Sep;16(3):338-41. doi: 10.3350/kjhep.2010.16.3.338.
3
Clinical features and management of arterial hypertension in children with Williams-Beuren syndrome.儿童威廉姆斯-贝伦综合征的动脉高血压的临床特征和管理。
Nephrol Dial Transplant. 2010 Feb;25(2):434-8. doi: 10.1093/ndt/gfp522. Epub 2009 Oct 8.
4
Mechanisms and treatment of cardiovascular disease in Williams-Beuren syndrome.威廉姆斯综合征中心血管疾病的机制与治疗
J Clin Invest. 2008 May;118(5):1606-15. doi: 10.1172/JCI35309.
5
Hemizygosity at the NCF1 gene in patients with Williams-Beuren syndrome decreases their risk of hypertension.患有威廉姆斯-贝伦综合征的患者中,NCF1基因半合子状态可降低其患高血压的风险。
Am J Hum Genet. 2006 Apr;78(4):533-42. doi: 10.1086/501073. Epub 2006 Jan 31.
6
Prospective study on the prevalence of secondary hypertension among hypertensive patients visiting a general outpatient clinic in Japan.日本某综合门诊高血压患者继发性高血压患病率的前瞻性研究。
Hypertens Res. 2004 Mar;27(3):193-202. doi: 10.1291/hypres.27.193.
7
Supravalvular aortic stenosis.瓣上主动脉狭窄
Circulation. 1961 Dec;24:1311-8. doi: 10.1161/01.cir.24.6.1311.
8
Nonfunctioning adrenal rest tumor of the liver: radiologic appearance.肝脏无功能肾上腺残余瘤:影像学表现
J Comput Assist Tomogr. 2001 Jan-Feb;25(1):98-101. doi: 10.1097/00004728-200101000-00018.
9
Aberrant adrenal tissue.肾上腺组织异常。
Ann Surg. 1968 Mar;167(3):421-6. doi: 10.1097/00000658-196803000-00017.
10
Systemic hypertension secondary to peripheral vascular anomalies in patients with Williams syndrome.
J Pediatr. 1985 Feb;106(2):249-51. doi: 10.1016/s0022-3476(85)80297-3.