• 文献检索
  • 文档翻译
  • 深度研究
  • 学术资讯
  • Suppr Zotero 插件Zotero 插件
  • 邀请有礼
  • 套餐&价格
  • 历史记录
应用&插件
Suppr Zotero 插件Zotero 插件浏览器插件Mac 客户端Windows 客户端微信小程序
定价
高级版会员购买积分包购买API积分包
服务
文献检索文档翻译深度研究API 文档MCP 服务
关于我们
关于 Suppr公司介绍联系我们用户协议隐私条款
关注我们

Suppr 超能文献

核心技术专利:CN118964589B侵权必究
粤ICP备2023148730 号-1Suppr @ 2026

文献检索

告别复杂PubMed语法,用中文像聊天一样搜索,搜遍4000万医学文献。AI智能推荐,让科研检索更轻松。

立即免费搜索

文件翻译

保留排版,准确专业,支持PDF/Word/PPT等文件格式,支持 12+语言互译。

免费翻译文档

深度研究

AI帮你快速写综述,25分钟生成高质量综述,智能提取关键信息,辅助科研写作。

立即免费体验

建立和鉴定哮喘小鼠模型及葎草花粉变应性的皮下免疫治疗。

Establishment and characterization of murine models of asthma and subcutaneous immunotherapy for Humulus pollen allergy.

机构信息

Department of Allergy, Peking Union Medical College Hospital, Chinese Academy of Medical Sciences, Peking Union Medical College, Beijing, China.

Beijing Key Laboratory of Precision Medicine for Diagnosis and Treatment on Allergic Diseases, Beijing, China.

出版信息

Immun Inflamm Dis. 2021 Jun;9(2):443-455. doi: 10.1002/iid3.405. Epub 2021 Jan 12.

DOI:10.1002/iid3.405
PMID:33434413
原文链接:https://pmc.ncbi.nlm.nih.gov/articles/PMC8127558/
Abstract

INTRODUCTION

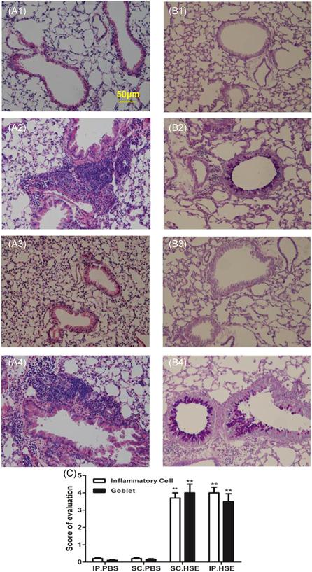
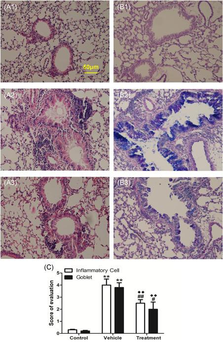
Humulus pollen is an important cause of allergic asthma in East Asia. There have been some murine models for Humulus pollen allergy established by intraperitoneal (IP) sensitization and nasal drip stimulation, but they were not comprehensive enough. Here, we used atomized inhalation for challenge and compared the subcutaneous (SC) and IP sensitization routes to determine the optimal method to establish a model of asthma induced by Humulus pollen. Subsequently, we tried to develop a rapid subcutaneous immunotherapy (SCIT) model for Humulus allergy.

METHODS

BALB/c Mice were sensitized through the SC or IP route, with respective reference to previously established sensitization methods and allergen dosing, and challenged with nebulized Humulus pollen extract to induce asthma. To compare the two sensitization methods, airway hyperresponsiveness (AHR), inflammatory cell infiltration, allergen-specific serum immunoglobulin (Ig)E (sIgE) levels, cytokine levels, and lung histopathology were assessed. The effects of SCIT (once every other day for 16 days) on airway inflammation, AHR, sIgE, and allergen-specific serum IgG2a (sIgG2a) levels were evaluated by using the model established in this study.

RESULTS

Although mice sensitized by the SC or IP routes both showed AHR and airway inflammation, the SC route elicited significantly higher levels of sIgE, eosinophil inflammation, and T helper type 2 cytokines, compared with the IP route. SCIT in the treatment group significantly reduced the titers of sIgE, enhanced the titers of sIgG2a, and effectively alleviated pulmonary inflammation and AHR, compared with the vehicle group.

CONCLUSIONS

The SC route can be used to establish a murine model of Humulus pollen allergy that recapitulates the characteristics of clinical allergic asthma. Short-term SCIT can significantly improve symptoms and pathophysiology in asthmatic mice.

摘要

简介

葎草花粉是东亚地区过敏性哮喘的一个重要病因。已经有一些通过腹腔(IP)致敏和鼻滴刺激建立的葎草花粉过敏的小鼠模型,但它们不够全面。在这里,我们使用雾化吸入进行挑战,并比较了皮下(SC)和 IP 致敏途径,以确定建立葎草花粉诱导哮喘模型的最佳方法。随后,我们试图开发一种快速皮下免疫治疗(SCIT)模型来治疗葎草过敏。

方法

BALB/c 小鼠通过 SC 或 IP 途径致敏,分别参照先前建立的致敏方法和过敏原剂量,并通过雾化葎草花粉提取物进行激发,以诱导哮喘。为了比较两种致敏方法,评估气道高反应性(AHR)、炎症细胞浸润、过敏原特异性血清免疫球蛋白(Ig)E(sIgE)水平、细胞因子水平和肺组织病理学。通过使用本研究建立的模型,评估 SCIT(每隔一天皮下注射 16 天)对气道炎症、AHR、sIgE 和过敏原特异性血清 IgG2a(sIgG2a)水平的影响。

结果

尽管通过 SC 或 IP 途径致敏的小鼠均表现出 AHR 和气道炎症,但与 IP 途径相比,SC 途径诱导的 sIgE、嗜酸性粒细胞炎症和辅助性 T 细胞 2 型细胞因子水平显著升高。与对照组相比,治疗组的 SCIT 显著降低了 sIgE 的滴度,提高了 sIgG2a 的滴度,有效缓解了肺部炎症和 AHR。

结论

SC 途径可用于建立一种能够重现临床变应性哮喘特征的葎草花粉过敏小鼠模型。短期 SCIT 可显著改善哮喘小鼠的症状和病理生理学。

https://cdn.ncbi.nlm.nih.gov/pmc/blobs/f3a1/8127558/32ce671e2fd6/IID3-9-443-g005.jpg
https://cdn.ncbi.nlm.nih.gov/pmc/blobs/f3a1/8127558/19dfcb6a0cb3/IID3-9-443-g001.jpg
https://cdn.ncbi.nlm.nih.gov/pmc/blobs/f3a1/8127558/009069a55b3a/IID3-9-443-g003.jpg
https://cdn.ncbi.nlm.nih.gov/pmc/blobs/f3a1/8127558/8ac3c2fd79ed/IID3-9-443-g004.jpg
https://cdn.ncbi.nlm.nih.gov/pmc/blobs/f3a1/8127558/845be522cac7/IID3-9-443-g006.jpg
https://cdn.ncbi.nlm.nih.gov/pmc/blobs/f3a1/8127558/9faeae4d34df/IID3-9-443-g007.jpg
https://cdn.ncbi.nlm.nih.gov/pmc/blobs/f3a1/8127558/32ce671e2fd6/IID3-9-443-g005.jpg
https://cdn.ncbi.nlm.nih.gov/pmc/blobs/f3a1/8127558/19dfcb6a0cb3/IID3-9-443-g001.jpg
https://cdn.ncbi.nlm.nih.gov/pmc/blobs/f3a1/8127558/009069a55b3a/IID3-9-443-g003.jpg
https://cdn.ncbi.nlm.nih.gov/pmc/blobs/f3a1/8127558/8ac3c2fd79ed/IID3-9-443-g004.jpg
https://cdn.ncbi.nlm.nih.gov/pmc/blobs/f3a1/8127558/845be522cac7/IID3-9-443-g006.jpg
https://cdn.ncbi.nlm.nih.gov/pmc/blobs/f3a1/8127558/9faeae4d34df/IID3-9-443-g007.jpg
https://cdn.ncbi.nlm.nih.gov/pmc/blobs/f3a1/8127558/32ce671e2fd6/IID3-9-443-g005.jpg

相似文献

1
Establishment and characterization of murine models of asthma and subcutaneous immunotherapy for Humulus pollen allergy.建立和鉴定哮喘小鼠模型及葎草花粉变应性的皮下免疫治疗。
Immun Inflamm Dis. 2021 Jun;9(2):443-455. doi: 10.1002/iid3.405. Epub 2021 Jan 12.
2
Subcutaneous immunotherapy suppresses Th2 inflammation and induces neutralizing antibodies, but sublingual immunotherapy suppresses airway hyperresponsiveness in grass pollen mouse models for allergic asthma.皮下免疫疗法抑制 Th2 炎症并诱导中和抗体,而舌下免疫疗法抑制草花粉变应性哮喘小鼠模型中的气道高反应性。
Clin Exp Allergy. 2018 Aug;48(8):1035-1049. doi: 10.1111/cea.13169. Epub 2018 Jun 8.
3
Efficacy of subcutaneous immunotherapy in a mouse model of Humulus pollen-induced allergic asthma.皮下免疫疗法在葎草花粉诱导的过敏性哮喘小鼠模型中的疗效。
Am J Transl Res. 2019 Jan 15;11(1):280-289. eCollection 2019.
4
Chinese Birch Pollen Allergy and Immunotherapy in Mice.中国桦树花粉过敏与免疫治疗在小鼠。
Inflammation. 2019 Jun;42(3):961-972. doi: 10.1007/s10753-019-00957-8.
5
Artemisia sieversiana pollen allergy and immunotherapy in mice.小鼠中西伯利亚艾蒿花粉过敏与免疫疗法
Am J Transl Res. 2021 Dec 15;13(12):13654-13664. eCollection 2021.
6
High dose vitamin D empowers effects of subcutaneous immunotherapy in a grass pollen-driven mouse model of asthma.高剂量维生素 D 可增强皮下免疫疗法在哮喘草花粉驱动小鼠模型中的作用。
Sci Rep. 2020 Nov 30;10(1):20876. doi: 10.1038/s41598-020-77947-6.
7
Methods for Experimental Allergen Immunotherapy: Subcutaneous and Sublingual Desensitization in Mouse Models of Allergic Asthma.实验变应原免疫治疗方法:过敏性哮喘小鼠模型中的皮下和舌下脱敏。
Methods Mol Biol. 2021;2223:295-335. doi: 10.1007/978-1-0716-1001-5_20.
8
Subcutaneous and Sublingual Immunotherapy in a Mouse Model of Allergic Asthma.变应性哮喘小鼠模型中的皮下和舌下免疫疗法。
Methods Mol Biol. 2017;1559:137-168. doi: 10.1007/978-1-4939-6786-5_11.
9
[Immunological characteristics of the recombinant major pollen allergen pTSX2 of Humulus scandens].[葎草重组主要花粉过敏原pTSX2的免疫学特性]
Nan Fang Yi Ke Da Xue Xue Bao. 2012 Oct;32(10):1431-4.
10
Microneedle-Mediated Allergen-Specific Immunotherapy for the Treatment of Airway Allergy in Mice.微针介导的变应原特异性免疫疗法治疗小鼠气道过敏。
Mol Pharm. 2020 Aug 3;17(8):3033-3042. doi: 10.1021/acs.molpharmaceut.0c00447. Epub 2020 Jul 23.

引用本文的文献

1
Characterization of the clinical relevance and hypoallergenic peptides of the newly evidenced major allergen Hum j 1.新证实的主要过敏原Hum j 1的临床相关性及低致敏性肽的特性分析
Front Immunol. 2025 Jun 23;16:1588870. doi: 10.3389/fimmu.2025.1588870. eCollection 2025.
2
Decoding innate lymphoid cells and innate-like lymphocytes in asthma: pathways to mechanisms and therapies.解析哮喘中的固有淋巴细胞和固有样淋巴细胞:从途径到机制与治疗
J Biomed Sci. 2025 May 12;32(1):48. doi: 10.1186/s12929-025-01142-w.
3
Intranasal dupilumab improves responsiveness to steroid in an asthma mouse model.

本文引用的文献

1
Efficacy of subcutaneous immunotherapy in a mouse model of Humulus pollen-induced allergic asthma.皮下免疫疗法在葎草花粉诱导的过敏性哮喘小鼠模型中的疗效。
Am J Transl Res. 2019 Jan 15;11(1):280-289. eCollection 2019.
2
Potential Risks Related to Modulating Interleukin-13 and Interleukin-4 Signalling: A Systematic Review.与调节白细胞介素-13 和白细胞介素-4 信号相关的潜在风险:系统评价。
Drug Saf. 2018 May;41(5):489-509. doi: 10.1007/s40264-017-0636-9.
3
Long-term Systemic Corticosteroid Exposure: A Systematic Literature Review.长期全身皮质类固醇暴露:系统文献回顾。
鼻内注射度普利尤单抗可改善哮喘小鼠模型对类固醇的反应性。
Inflamm Res. 2025 Feb 19;74(1):43. doi: 10.1007/s00011-024-01991-5.
4
Adjuvant-independent airway sensitization and infection mouse models leading to allergic asthma.导致过敏性哮喘的非佐剂依赖性气道致敏和感染小鼠模型。
Front Allergy. 2024 Aug 2;5:1423938. doi: 10.3389/falgy.2024.1423938. eCollection 2024.
5
Exposure to structurally unique β-d-glucans differentially affects inflammatory responses in male mouse lungs.暴露于结构独特的β-葡聚糖会对雄性小鼠肺部的炎症反应产生不同影响。
Physiol Rep. 2024 Jun;12(12):e16115. doi: 10.14814/phy2.16115.
6
Advances in respiratory physiology in mouse models of experimental asthma.实验性哮喘小鼠模型中呼吸生理学的进展。
Front Physiol. 2023 Mar 16;14:1099719. doi: 10.3389/fphys.2023.1099719. eCollection 2023.
Clin Ther. 2017 Nov;39(11):2216-2229. doi: 10.1016/j.clinthera.2017.09.011. Epub 2017 Oct 19.
4
Outstanding animal studies in allergy I. From asthma to food allergy and anaphylaxis.过敏领域杰出的动物研究I. 从哮喘到食物过敏和过敏反应
Curr Opin Allergy Clin Immunol. 2017 Jun;17(3):169-179. doi: 10.1097/ACI.0000000000000363.
5
IL-4 and IL-13 signaling in allergic airway disease.过敏性气道疾病中的白细胞介素-4和白细胞介素-13信号传导
Cytokine. 2015 Sep;75(1):68-78. doi: 10.1016/j.cyto.2015.05.014. Epub 2015 Jun 9.
6
Amelioration of allergic airway inflammation in mice by regulatory IL-35 through dampening inflammatory dendritic cells.调节性白细胞介素-35 通过抑制炎症性树突状细胞改善小鼠过敏性气道炎症。
Allergy. 2015 Aug;70(8):921-32. doi: 10.1111/all.12631. Epub 2015 May 15.
7
Birch pollen immunotherapy in mice: inhibition of Th2 inflammation is not sufficient to decrease airway hyper-reactivity.小鼠中的桦树花粉免疫疗法:抑制Th2炎症不足以降低气道高反应性。
Int Arch Allergy Immunol. 2014;165(2):128-39. doi: 10.1159/000368777. Epub 2014 Nov 18.
8
Novel allergic asthma model demonstrates ST2-dependent dendritic cell targeting by cypress pollen.新型变应性哮喘模型显示侧柏花粉通过 ST2 依赖的树突状细胞靶向作用。
J Allergy Clin Immunol. 2013 Sep;132(3):686-695.e7. doi: 10.1016/j.jaci.2013.02.037. Epub 2013 Apr 19.
9
Oral administration of allergen extracts from mugwort pollen desensitizes specific allergen-induced allergy in mice.口服艾蒿花粉变应原提取物可使特定变应原诱导的过敏在小鼠中脱敏。
Vaccine. 2012 Feb 14;30(8):1437-44. doi: 10.1016/j.vaccine.2012.01.005. Epub 2012 Jan 10.
10
Protective effects of Mentha haplocalyx ethanol extract (MH) in a mouse model of allergic asthma.夏枯草乙醇提取物(MH)对过敏性哮喘小鼠模型的保护作用。
Phytother Res. 2011 Jun;25(6):863-9. doi: 10.1002/ptr.3341. Epub 2010 Nov 24.