Suppr超能文献

网片和锚钉可改善原发性肱骨近端恶性骨肿瘤切除后假体置换的临床效果。

Mesh patch and anchors can improve clinical results of prosthetic replacement after resection of primary proximal humerus malignant tumor.

机构信息

Department of Orthopedic Oncology Surgery, Beijing Ji Shui Tan Hospital, Peking University, Beijing, People's Republic of China.

出版信息

Sci Rep. 2021 Jan 12;11(1):734. doi: 10.1038/s41598-020-78959-y.

Abstract

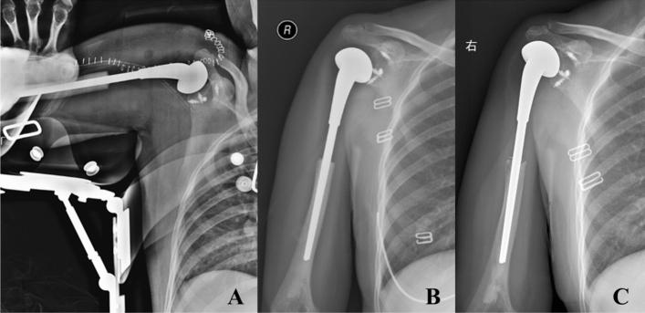
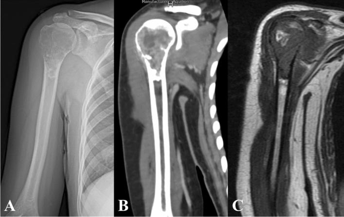
The purpose of this study was to evaluate the functional results, complications and related factors of prosthesis reconstruction after malignant tumor resection of primary proximal humeral, and also evaluate whether soft tissue reconstruction with mesh patch and anchors can improve clinical results. From 2002 to 2016, forty-one patients were enrolled in this study. The pathological diagnosis contained 27 cases of osteosarcoma, 7 cases of chondrosarcoma and other primary malignant bone tumors. Both mesh patch and anchors were used in the reconstruction of joint capsule and the surrounding soft tissues in 27 cases. The mean postoperative follow-up was 60.6 months. The average active abduction angle and passive abduction angle was 33.5 (5-71) degrees and 72.4 (52-104) degrees. The prosthetic humeral head displacement was over 2 cm in 5 cases (12.2%). The average MSTS score was 23.1. The overall 5-year survival rate of prosthesis was 88.2%. The length of osteotomy, whether preserving deltoid muscle, whether applying mesh patch and anchors had significant effects on the abduction angle of shoulder joint; the length of osteotomy, whether applying mesh patch and anchors had significant effects on the degree of upward displacement of prosthesis. The application of both mesh patch and anchors in prosthesis reconstruction achieved more stable result and better function of shoulder joint. To ensure the stability of shoulder joint and the firm wrapping of surrounding soft tissue are key factors affecting the postoperative function.

摘要

本研究旨在评估原发性肱骨近端恶性肿瘤切除后假体重建的功能结果、并发症及其相关因素,并评估网片和锚钉的软组织重建是否能改善临床结果。2002 年至 2016 年间,共纳入 41 例患者。病理诊断包括 27 例骨肉瘤、7 例软骨肉瘤等原发性恶性骨肿瘤。27 例患者同时使用网片和锚钉修复关节囊和周围软组织。术后平均随访 60.6 个月。术后平均主动外展角度和被动外展角度分别为 33.5(5-71)度和 72.4(52-104)度。5 例(12.2%)假体肱骨头移位超过 2cm。平均 MSTS 评分为 23.1。假体 5 年总体生存率为 88.2%。截骨长度、是否保留三角肌、是否应用网片和锚钉对肩关节外展角度有显著影响;截骨长度、是否应用网片和锚钉对假体向上移位程度有显著影响。假体重建中同时应用网片和锚钉可获得更稳定的结果和更好的肩关节功能。确保肩关节的稳定性和周围软组织的牢固包裹是影响术后功能的关键因素。

https://cdn.ncbi.nlm.nih.gov/pmc/blobs/c3ce/7804124/d7852534411d/41598_2020_78959_Fig1_HTML.jpg

文献检索

告别复杂PubMed语法,用中文像聊天一样搜索,搜遍4000万医学文献。AI智能推荐,让科研检索更轻松。

立即免费搜索

文件翻译

保留排版,准确专业,支持PDF/Word/PPT等文件格式,支持 12+语言互译。

免费翻译文档

深度研究

AI帮你快速写综述,25分钟生成高质量综述,智能提取关键信息,辅助科研写作。

立即免费体验