Suppr超能文献

猪生物假体的原位“人源化”:肌腱生物假体转化为人体前交叉韧带的演示及对心脏瓣膜生物假体的潜在影响

In Situ "Humanization" of Porcine Bioprostheses: Demonstration of Tendon Bioprostheses Conversion into Human ACL and Possible Implications for Heart Valve Bioprostheses.

作者信息

Galili Uri, Stone Kevin R

机构信息

Division of Cardiology, Department of Medicine, Rush Medical College, Chicago, IL 60612, USA.

The Stone Clinic and Research Foundation, San Francisco, CA 94123, USA.

出版信息

Bioengineering (Basel). 2021 Jan 12;8(1):10. doi: 10.3390/bioengineering8010010.

Abstract

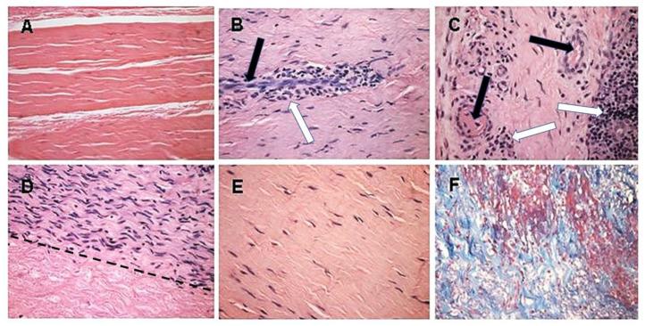
This review describes the first studies on successful conversion of porcine soft-tissue bioprostheses into viable permanently functional tissue in humans. This process includes gradual degradation of the porcine tissue, with concomitant neo-vascularization and reconstruction of the implanted bioprosthesis with human cells and extracellular matrix. Such a reconstruction process is referred to in this review as "humanization". Humanization was achieved with porcine bone-patellar-tendon-bone (BTB), replacing torn anterior-cruciate-ligament (ACL) in patients. In addition to its possible use in orthopedic surgery, it is suggested that this humanization method should be studied as a possible mechanism for converting implanted porcine bioprosthetic heart-valves (BHV) into viable tissue valves in young patients. Presently, these patients are only implanted with mechanical heart-valves, which require constant anticoagulation therapy. The processing of porcine bioprostheses, which enables humanization, includes elimination of α-gal epitopes and partial (incomplete) crosslinking with glutaraldehyde. Studies on implantation of porcine BTB bioprostheses indicated that enzymatic elimination of α-gal epitopes prevents subsequent accelerated destruction of implanted tissues by the natural anti-Gal antibody, whereas the partial crosslinking by glutaraldehyde molecules results in their function as "speed bumps" that slow the infiltration of macrophages. Anti-non gal antibodies produced against porcine antigens in implanted bioprostheses recruit macrophages, which infiltrate at a pace that enables slow degradation of the porcine tissue, neo-vascularization, and infiltration of fibroblasts. These fibroblasts align with the porcine collagen-fibers scaffold, secrete their collagen-fibers and other extracellular-matrix (ECM) components, and gradually replace porcine tissues degraded by macrophages with autologous functional viable tissue. Porcine BTB implanted in patients completes humanization into autologous ACL within ~2 years. The similarities in cells and ECM comprising heart-valves and tendons, raises the possibility that porcine BHV undergoing a similar processing, may also undergo humanization, resulting in formation of an autologous, viable, permanently functional, non-calcifying heart-valves.

摘要

本综述介绍了关于将猪软组织生物假体成功转化为人体中具有活力的永久功能性组织的首批研究。这一过程包括猪组织的逐渐降解,同时伴随着新血管形成以及植入的生物假体被人体细胞和细胞外基质重建。在本综述中,这样的重建过程被称为“人源化”。人源化是通过使用猪的骨 - 髌腱 - 骨(BTB)来实现的,用于替换患者撕裂的前交叉韧带(ACL)。除了其在骨科手术中的可能应用外,有人建议应研究这种人源化方法,作为将植入的猪生物人工心脏瓣膜(BHV)转化为年轻患者中具有活力的组织瓣膜的一种可能机制。目前,这些患者仅植入机械心脏瓣膜,而机械心脏瓣膜需要持续的抗凝治疗。能够实现人源化的猪生物假体的处理过程包括消除α - 半乳糖表位以及与戊二醛进行部分(不完全)交联。对猪BTB生物假体植入的研究表明,酶法消除α - 半乳糖表位可防止植入组织随后被天然抗Gal抗体加速破坏,而戊二醛分子的部分交联使其起到“减速带”的作用,减缓巨噬细胞的浸润。针对植入生物假体中的猪抗原产生的抗非半乳糖抗体招募巨噬细胞,巨噬细胞以一种能够使猪组织缓慢降解、新血管形成和成纤维细胞浸润的速度进行浸润。这些成纤维细胞与猪胶原纤维支架对齐,分泌它们的胶原纤维和其他细胞外基质(ECM)成分,并逐渐用自体功能性活组织替代被巨噬细胞降解的猪组织。植入患者体内的猪BTB在约2年内完成向自体ACL的人源化。构成心脏瓣膜和肌腱的细胞及ECM的相似性,增加了经过类似处理的猪BHV也可能经历人源化的可能性,从而导致形成自体的、有活力的、永久功能性的、无钙化的心脏瓣膜。

https://cdn.ncbi.nlm.nih.gov/pmc/blobs/a6b6/7826727/6a385e1718d4/bioengineering-08-00010-g001.jpg

文献检索

告别复杂PubMed语法,用中文像聊天一样搜索,搜遍4000万医学文献。AI智能推荐,让科研检索更轻松。

立即免费搜索

文件翻译

保留排版,准确专业,支持PDF/Word/PPT等文件格式,支持 12+语言互译。

免费翻译文档

深度研究

AI帮你快速写综述,25分钟生成高质量综述,智能提取关键信息,辅助科研写作。

立即免费体验