Institute of Biomedical Research of Salamanca (IBSAL), 37007 Salamanca, Spain.
Department of Physiology and Pharmacology, University of Salamanca, 37007 Salamanca, Spain.
Int J Mol Sci. 2021 Jan 13;22(2):729. doi: 10.3390/ijms22020729.
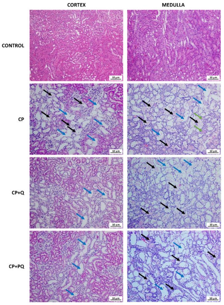
The antioxidant flavonoid quercetin has been shown to prevent nephrotoxicity in animal models and in a clinical study and is thus a very promising prophylactic candidate under development. Quercetin solubility is very low, which handicaps clinical application. The aim of this work was to study, in rats, the bioavailability and nephroprotective efficacy of a micellar formulation of Pluronic F127-encapsulated quercetin (P-quercetin), with improved hydrosolubility. Intraperitoneal administration of P-quercetin leads to an increased plasma concentration and bioavailability of quercetin compared to the equimolar administration of natural quercetin. Moreover, P-quercetin retains overall nephroprotective properties, and even slightly improves some renal function parameters, when compared to natural quercetin. Specifically, P-quercetin reduced the increment in plasma creatinine (from 3.4 ± 0.5 to 1.2 ± 0.3 mg/dL) and urea (from 490.9 ± 43.8 to 184.1 ± 50.1 mg/dL) and the decrease in creatinine clearance (from 0.08 ± 0.02 to 0.58 ± 0.19 mL/min) induced by the nephrotoxic chemotherapeutic drug cisplatin, and it ameliorated histological evidence of tubular damage. This new formulation with enhanced kinetic and biopharmaceutical properties will allow for further exploration of quercetin as a candidate nephroprotector at lower dosages and by administration routes oriented towards its clinical use.
抗氧化类黄酮槲皮素已被证明可预防动物模型和临床研究中的肾毒性,因此是一种非常有前途的正在开发的预防候选药物。槲皮素的溶解度非常低,这限制了其临床应用。本研究的目的是在大鼠中研究 Pluronic F127 包裹槲皮素(P-槲皮素)胶束制剂的生物利用度和肾保护作用,该制剂可提高水溶解度。与等摩尔剂量的天然槲皮素相比,腹腔内给予 P-槲皮素可增加血浆中槲皮素的浓度和生物利用度。此外,与天然槲皮素相比,P-槲皮素保留了总体的肾保护特性,甚至略微改善了一些肾功能参数。具体而言,P-槲皮素降低了顺铂引起的血浆肌酐(从 3.4 ± 0.5 增加到 1.2 ± 0.3 mg/dL)和尿素(从 490.9 ± 43.8 增加到 184.1 ± 50.1 mg/dL)的升高以及顺铂引起的肌酐清除率(从 0.08 ± 0.02 降低到 0.58 ± 0.19 mL/min)的降低,并且改善了肾小管损伤的组织学证据。这种具有增强的动力学和生物制药特性的新制剂将允许进一步探索槲皮素作为候选肾保护剂,以较低剂量和针对其临床应用的给药途径。