• 文献检索
  • 文档翻译
  • 深度研究
  • 学术资讯
  • Suppr Zotero 插件Zotero 插件
  • 邀请有礼
  • 套餐&价格
  • 历史记录
应用&插件
Suppr Zotero 插件Zotero 插件浏览器插件Mac 客户端Windows 客户端微信小程序
定价
高级版会员购买积分包购买API积分包
服务
文献检索文档翻译深度研究API 文档MCP 服务
关于我们
关于 Suppr公司介绍联系我们用户协议隐私条款
关注我们

Suppr 超能文献

核心技术专利:CN118964589B侵权必究
粤ICP备2023148730 号-1Suppr @ 2026

文献检索

告别复杂PubMed语法,用中文像聊天一样搜索,搜遍4000万医学文献。AI智能推荐,让科研检索更轻松。

立即免费搜索

文件翻译

保留排版,准确专业,支持PDF/Word/PPT等文件格式,支持 12+语言互译。

免费翻译文档

深度研究

AI帮你快速写综述,25分钟生成高质量综述,智能提取关键信息,辅助科研写作。

立即免费体验

吴茱萸碱通过靶向热休克蛋白 70 抑制人癌细胞中的干细胞和非干细胞群体。

Evodiamine inhibits both stem cell and non-stem-cell populations in human cancer cells by targeting heat shock protein 70.

机构信息

Creative Research Initiative Center for concurrent control of emphysema and lung cancer, College of Pharmacy, Seoul National University, Seoul 08826, Republic of Korea.

College of Pharmacy and Research Institute of Pharmaceutical Sciences, Seoul National University, Seoul 08826, Republic of Korea.

出版信息

Theranostics. 2021 Jan 1;11(6):2932-2952. doi: 10.7150/thno.49876. eCollection 2021.

DOI:10.7150/thno.49876
PMID:33456581
原文链接:https://pmc.ncbi.nlm.nih.gov/articles/PMC7806467/
Abstract

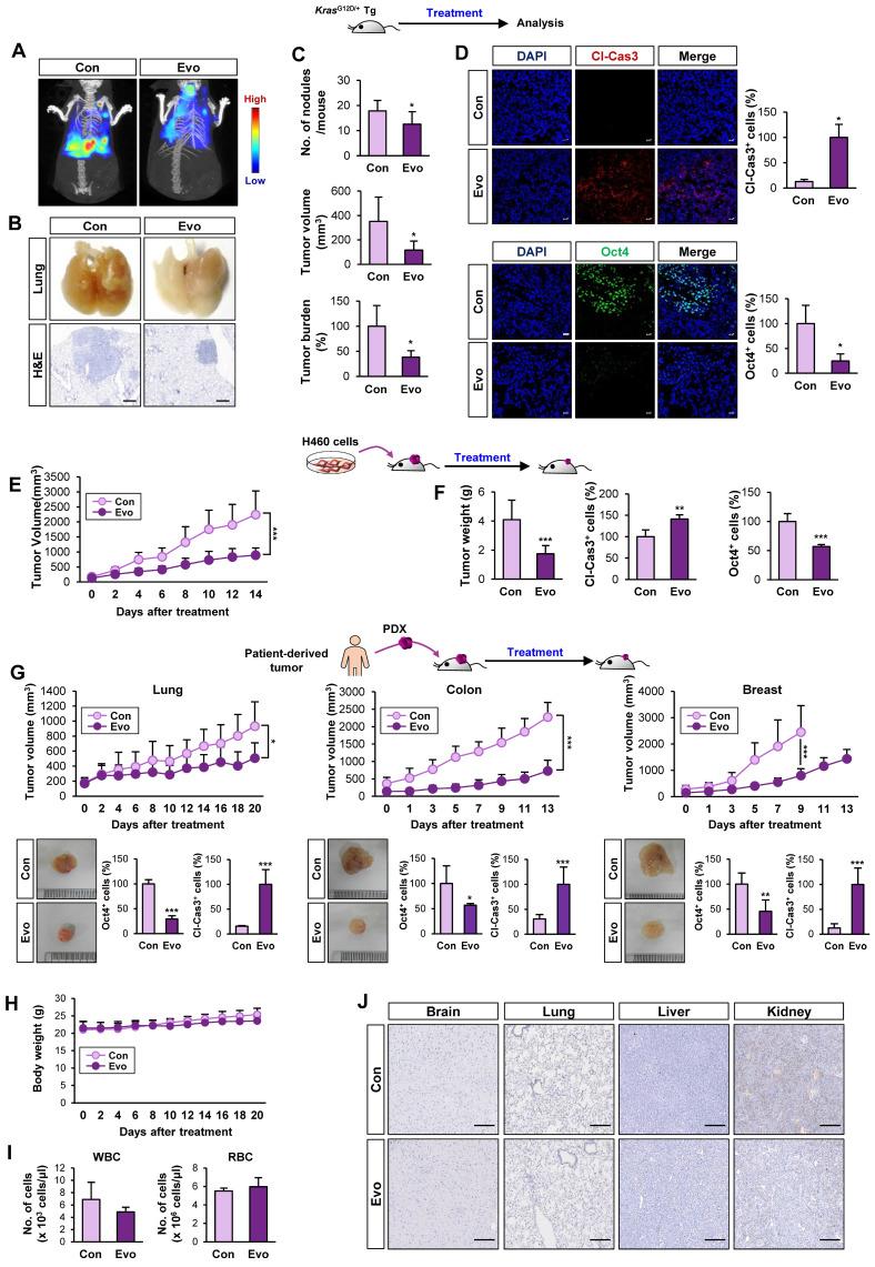
Cancer stem cells (CSCs) are known to cause tumor recurrence and drug resistance. The heat shock protein (HSP) system plays a major role in preserving expression and function of numerous oncoproteins, including those involved in the CSC activities. We explored novel anticancer drugs, especially those targeting HSP components required for the functional role of CSCs. Investigation of the role of the HSP system in CSCs and screening of a natural product chemical library were performed by utilizing cancer cell lines, primary cultures of patient-derived xenografts (PDXs), and their putative CSC subpopulations (i.e., those grown under sphere-forming conditions, stably transfected with reporter vectors carrying or promoters, or carrying high ALDH activity) in vitro and PDX and -driven tumor models in vivo. Regulation of the HSP system was investigated by immunoprecipitation, drug affinity responsive target stability assay, binding experiments using ATP-agarose beads and biotinylated drug, and docking analysis. The HSP system was activated in CSCs via transcriptional upregulation of the HSP system components, especially HSP70. Evodiamine (Evo) was identified to induce apoptosis in both CSC and bulk non-CSC populations in human lung, colon, and breast cancer cells and their sublines with chemoresistance. Evo administration decreased the multiplicity, volume, and load of lung tumors in transgenic mice and the growth of cancer cell line- and PDX-derived tumors without detectable toxicity. Mechanistically, Evo disrupted the HSP system by binding the N-terminal ATP-binding pocket of HSP70 and causing its ubiquitin-mediated degradation. Our findings illustrate HSP70 as a potential target for eliminating CSCs and Evo as an effective HSP70-targeting anticancer drug eradicating both CSCs and non-CSCs with a minimal toxicity.

摘要

肿瘤干细胞(CSCs)被认为会导致肿瘤复发和耐药。热休克蛋白(HSP)系统在维持许多癌蛋白的表达和功能方面发挥着重要作用,包括那些与 CSC 活性相关的蛋白。我们探索了新型抗癌药物,特别是那些针对 HSP 成分的药物,这些成分对于 CSCs 的功能至关重要。通过利用癌细胞系、患者来源的异种移植(PDX)的原代培养物及其假定的 CSC 亚群(即在球体形成条件下生长的、稳定转染携带 或 启动子的报告载体的、或携带高 ALDH 活性的),以及在体内 PDX 和 驱动的肿瘤模型,我们研究了 HSP 系统在 CSCs 中的作用,并对天然产物化学文库进行了筛选。通过免疫沉淀、药物亲和反应靶标稳定性测定、使用 ATP-琼脂糖珠和生物素化药物的结合实验以及对接分析,研究了 HSP 系统的调节。HSP 系统通过 HSP 系统成分(特别是 HSP70)的转录上调在 CSCs 中被激活。鉴定出吴茱萸碱(Evo)可诱导人肺、结肠和乳腺癌细胞及其具有化学抗性的亚系中的 CSC 和大量非 CSC 群体凋亡。Evo 的给药降低了 转基因小鼠肺部肿瘤的多发性、体积和负荷,以及癌症细胞系和 PDX 衍生肿瘤的生长,且没有可检测到的毒性。从机制上讲,Evo 通过结合 HSP70 的 N 端 ATP 结合口袋并导致其泛素介导的降解来破坏 HSP 系统。我们的研究结果表明 HSP70 是消除 CSCs 的潜在靶标,而 Evo 是一种有效的 HSP70 靶向抗癌药物,可在最小毒性的情况下根除 CSCs 和非 CSCs。

https://cdn.ncbi.nlm.nih.gov/pmc/blobs/9cab/7806467/71a7b46b6f95/thnov11p2932g007.jpg
https://cdn.ncbi.nlm.nih.gov/pmc/blobs/9cab/7806467/4bf3c00fdf2b/thnov11p2932g001.jpg
https://cdn.ncbi.nlm.nih.gov/pmc/blobs/9cab/7806467/c3eb495fd575/thnov11p2932g002.jpg
https://cdn.ncbi.nlm.nih.gov/pmc/blobs/9cab/7806467/a29497186a1d/thnov11p2932g003.jpg
https://cdn.ncbi.nlm.nih.gov/pmc/blobs/9cab/7806467/b967c16dd6b6/thnov11p2932g004.jpg
https://cdn.ncbi.nlm.nih.gov/pmc/blobs/9cab/7806467/a294db9f6c58/thnov11p2932g005.jpg
https://cdn.ncbi.nlm.nih.gov/pmc/blobs/9cab/7806467/8c1e0f18349b/thnov11p2932g006.jpg
https://cdn.ncbi.nlm.nih.gov/pmc/blobs/9cab/7806467/71a7b46b6f95/thnov11p2932g007.jpg
https://cdn.ncbi.nlm.nih.gov/pmc/blobs/9cab/7806467/4bf3c00fdf2b/thnov11p2932g001.jpg
https://cdn.ncbi.nlm.nih.gov/pmc/blobs/9cab/7806467/c3eb495fd575/thnov11p2932g002.jpg
https://cdn.ncbi.nlm.nih.gov/pmc/blobs/9cab/7806467/a29497186a1d/thnov11p2932g003.jpg
https://cdn.ncbi.nlm.nih.gov/pmc/blobs/9cab/7806467/b967c16dd6b6/thnov11p2932g004.jpg
https://cdn.ncbi.nlm.nih.gov/pmc/blobs/9cab/7806467/a294db9f6c58/thnov11p2932g005.jpg
https://cdn.ncbi.nlm.nih.gov/pmc/blobs/9cab/7806467/8c1e0f18349b/thnov11p2932g006.jpg
https://cdn.ncbi.nlm.nih.gov/pmc/blobs/9cab/7806467/71a7b46b6f95/thnov11p2932g007.jpg

相似文献

1
Evodiamine inhibits both stem cell and non-stem-cell populations in human cancer cells by targeting heat shock protein 70.吴茱萸碱通过靶向热休克蛋白 70 抑制人癌细胞中的干细胞和非干细胞群体。
Theranostics. 2021 Jan 1;11(6):2932-2952. doi: 10.7150/thno.49876. eCollection 2021.
2
A novel C-terminal heat shock protein 90 inhibitor that overcomes STAT3-Wnt-β-catenin signaling-mediated drug resistance and adverse effects.一种新型 C 端热休克蛋白 90 抑制剂,可克服 STAT3-Wnt-β-catenin 信号转导介导的耐药性和不良反应。
Theranostics. 2022 Jan 1;12(1):105-125. doi: 10.7150/thno.63788. eCollection 2022.
3
An A-ring substituted evodiamine derivative with potent anticancer activity against human non-small cell lung cancer cells by targeting heat shock protein 70.一种 A 环取代的吴茱萸碱衍生物,通过靶向热休克蛋白 70 对人非小细胞肺癌细胞具有强大的抗癌活性。
Biochem Pharmacol. 2023 May;211:115507. doi: 10.1016/j.bcp.2023.115507. Epub 2023 Mar 21.
4
Evodiamine Eliminates Colon Cancer Stem Cells via Suppressing Notch and Wnt Signaling.吴茱萸碱通过抑制 Notch 和 Wnt 信号通路消除结肠癌干细胞。
Molecules. 2019 Dec 10;24(24):4520. doi: 10.3390/molecules24244520.
5
Panaxynol, a natural Hsp90 inhibitor, effectively targets both lung cancer stem and non-stem cells.重楼醇,一种天然的 Hsp90 抑制剂,能有效针对肺癌干细胞和非干细胞。
Cancer Lett. 2018 Jan 1;412:297-307. doi: 10.1016/j.canlet.2017.10.013. Epub 2017 Oct 20.
6
Inhibition of pancreatic cancer stem cell characteristics by α-Mangostin: Molecular mechanisms involving Sonic hedgehog and Nanog.α-倒捻子素抑制胰腺癌细胞干性特征:涉及 Sonic hedgehog 和 Nanog 的分子机制。
J Cell Mol Med. 2019 Apr;23(4):2719-2730. doi: 10.1111/jcmm.14178. Epub 2019 Feb 3.
7
A curcumin analogue GO-Y030 depletes cancer stem cells by inhibiting the interaction between the HSP70/HSP40 complex and its substrates.姜黄素类似物 GO-Y030 通过抑制 HSP70/HSP40 复合物与其底物之间的相互作用来耗竭肿瘤干细胞。
FEBS Open Bio. 2023 Mar;13(3):434-446. doi: 10.1002/2211-5463.13550. Epub 2023 Jan 24.
8
Gambogic Acid Efficiently Kills Stem-Like Colorectal Cancer Cells by Upregulating ZFP36 Expression.藤黄酸通过上调ZFP36表达有效杀伤结直肠癌干细胞样细胞
Cell Physiol Biochem. 2018;46(2):829-846. doi: 10.1159/000488740. Epub 2018 Mar 29.
9
FOXM1-Induced PRX3 Regulates Stemness and Survival of Colon Cancer Cells via Maintenance of Mitochondrial Function.FOXM1 诱导的 PRX3 通过维持线粒体功能调节结肠癌细胞的干性和存活。
Gastroenterology. 2015 Oct;149(4):1006-16.e9. doi: 10.1053/j.gastro.2015.06.007. Epub 2015 Jun 17.
10
Trifluoperazine, an antipsychotic agent, inhibits cancer stem cell growth and overcomes drug resistance of lung cancer.三氟拉嗪,一种抗精神病药物,能够抑制癌症干细胞生长并克服肺癌的耐药性。
Am J Respir Crit Care Med. 2012 Dec 1;186(11):1180-8. doi: 10.1164/rccm.201207-1180OC. Epub 2012 Sep 28.

引用本文的文献

1
Target identification of natural products in cancer with chemical proteomics and artificial intelligence approaches.利用化学蛋白质组学和人工智能方法鉴定癌症中天然产物的靶点
Cancer Biol Med. 2025 Jul 9;22(6):549-97. doi: 10.20892/j.issn.2095-3941.2025.0145.
2
Incredible use of plant-derived bioactives as anticancer agents.植物源生物活性物质作为抗癌剂的惊人应用。
RSC Adv. 2025 Jan 20;15(3):1721-1746. doi: 10.1039/d4ra05089d. eCollection 2025 Jan 16.
3
Development of a novel N14-substituted antitumor evodiamine derivative with inhibiting heat shock protein 70 in non-small cell lung cancer.

本文引用的文献

1
Molecular Chaperones in Cancer Stem Cells: Determinants of Stemness and Potential Targets for Antitumor Therapy.肿瘤干细胞中的分子伴侣:干性决定因素和抗肿瘤治疗的潜在靶点。
Cells. 2020 Apr 6;9(4):892. doi: 10.3390/cells9040892.
2
The Interplay between Slow-Cycling, Chemoresistant Cancer Cells and Fibroblasts Creates a Proinflammatory Niche for Tumor Progression.慢周期、化疗耐药癌细胞与成纤维细胞之间的相互作用为肿瘤进展创造了一个促炎微环境。
Cancer Res. 2020 Jun 1;80(11):2257-2272. doi: 10.1158/0008-5472.CAN-19-0631. Epub 2020 Mar 19.
3
HSP70 and HSP90 in neurodegenerative diseases.
一种新型 N14-取代的抗肿瘤吴茱萸碱衍生物的开发,具有抑制非小细胞肺癌热休克蛋白 70 的作用。
Sci Rep. 2024 Oct 25;14(1):25436. doi: 10.1038/s41598-024-74926-z.
4
Evodiamine: A Extremely Potential Drug Development Candidate of Alkaloids from .吴茱萸碱:从. 中提取的极具潜力的生物碱类药物研发候选物
Int J Nanomedicine. 2024 Sep 23;19:9843-9870. doi: 10.2147/IJN.S459510. eCollection 2024.
5
Hsp70 Negatively Regulates Autophagy via Governing AMPK Activation, and Dual Hsp70-Autophagy Inhibition Induces Synergetic Cell Death in NSCLC Cells.Hsp70 通过调控 AMPK 激活负向调节自噬,双重 Hsp70-自噬抑制在非小细胞肺癌细胞中诱导协同性细胞死亡。
Int J Mol Sci. 2024 Aug 22;25(16):9090. doi: 10.3390/ijms25169090.
6
Drug tolerant persister cell plasticity in cancer: A revolutionary strategy for more effective anticancer therapies.肿瘤细胞耐药性休眠细胞的可塑性:提高抗癌疗法效果的革新策略。
Signal Transduct Target Ther. 2024 Aug 14;9(1):209. doi: 10.1038/s41392-024-01891-4.
7
Identification of 3-Aryl-1-benzotriazole-1-yl-acrylonitrile as a Microtubule-Targeting Agent (MTA) in Solid Tumors.鉴定出 3-芳基-1-苯并三唑-1-基-丙烯腈为实体瘤中的微管靶向剂(MTA)。
Int J Mol Sci. 2024 May 24;25(11):5704. doi: 10.3390/ijms25115704.
8
New roles of tumor-derived exosomes in tumor microenvironment.肿瘤来源的外泌体在肿瘤微环境中的新作用
Chin J Cancer Res. 2024 Apr 30;36(2):151-166. doi: 10.21147/j.issn.1000-9604.2024.02.05.
9
Sishen Pill and its active phytochemicals in treating inflammatory bowel disease and colon cancer: an overview.四神丸及其活性植物化学成分在治疗炎症性肠病和结肠癌中的应用概述
Front Pharmacol. 2024 Apr 8;15:1375585. doi: 10.3389/fphar.2024.1375585. eCollection 2024.
10
Evodiamine inhibits growth of vemurafenib drug-resistant melanoma via suppressing IRS4/PI3K/AKT signaling pathway.吴茱萸碱通过抑制 IRS4/PI3K/AKT 信号通路抑制维莫非尼耐药黑色素瘤的生长。
J Nat Med. 2024 Mar;78(2):342-354. doi: 10.1007/s11418-023-01769-9. Epub 2024 Feb 7.
热休克蛋白 70 和 90 在神经退行性疾病中的作用。
Neurosci Lett. 2020 Jan 18;716:134678. doi: 10.1016/j.neulet.2019.134678. Epub 2019 Dec 6.
4
Small molecules as theranostic agents in cancer immunology.小分子作为癌症免疫学中的治疗诊断一体化试剂。
Theranostics. 2019 Oct 15;9(25):7849-7871. doi: 10.7150/thno.37218. eCollection 2019.
5
Chaperones and Beyond as Key Players in Pluripotency Maintenance.分子伴侣及其他因素作为多能性维持的关键参与者
Front Cell Dev Biol. 2019 Aug 2;7:150. doi: 10.3389/fcell.2019.00150. eCollection 2019.
6
Evodiamine Augments NLRP3 Inflammasome Activation and Anti-bacterial Responses Through Inducing α-Tubulin Acetylation.吴茱萸碱通过诱导α-微管蛋白乙酰化增强NLRP3炎性小体激活和抗菌反应。
Front Pharmacol. 2019 Mar 26;10:290. doi: 10.3389/fphar.2019.00290. eCollection 2019.
7
Aldehyde Dehydrogenases: Not Just Markers, but Functional Regulators of Stem Cells.醛脱氢酶:不仅仅是标志物,更是干细胞的功能调节因子。
Stem Cells Int. 2019 Jan 13;2019:3904645. doi: 10.1155/2019/3904645. eCollection 2019.
8
Hsp90 and Hsp70 chaperones: Collaborators in protein remodeling.热休克蛋白 90 和 70 伴侣:蛋白质重塑的合作者。
J Biol Chem. 2019 Feb 8;294(6):2109-2120. doi: 10.1074/jbc.REV118.002806. Epub 2018 Nov 6.
9
Antiproliferative Effects of Alkaloid Evodiamine and Its Derivatives.生物碱吴茱萸碱及其衍生物的抗增殖作用。
Int J Mol Sci. 2018 Oct 30;19(11):3403. doi: 10.3390/ijms19113403.
10
Concise Reviews: Cancer Stem Cell Targeted Therapies: Toward Clinical Success.简明综述:癌症干细胞靶向治疗:迈向临床成功。
Stem Cells Transl Med. 2019 Jan;8(1):75-81. doi: 10.1002/sctm.18-0123. Epub 2018 Oct 17.