Lopez-Bujanda Zoila A, Chaimowitz Matthew G, Armstrong Todd D, Foote Jeremy B, Emens Leisha A, Drake Charles G
Department of Pathology, Johns Hopkins University School of Medicine, Baltimore, MD, USA.
Columbia Center for Translational Immunology, Columbia University Irving Medical Center, New York, NY, USA.
Oncoimmunology. 2020 Sep 6;9(1):1809926. doi: 10.1080/2162402X.2020.1809926.
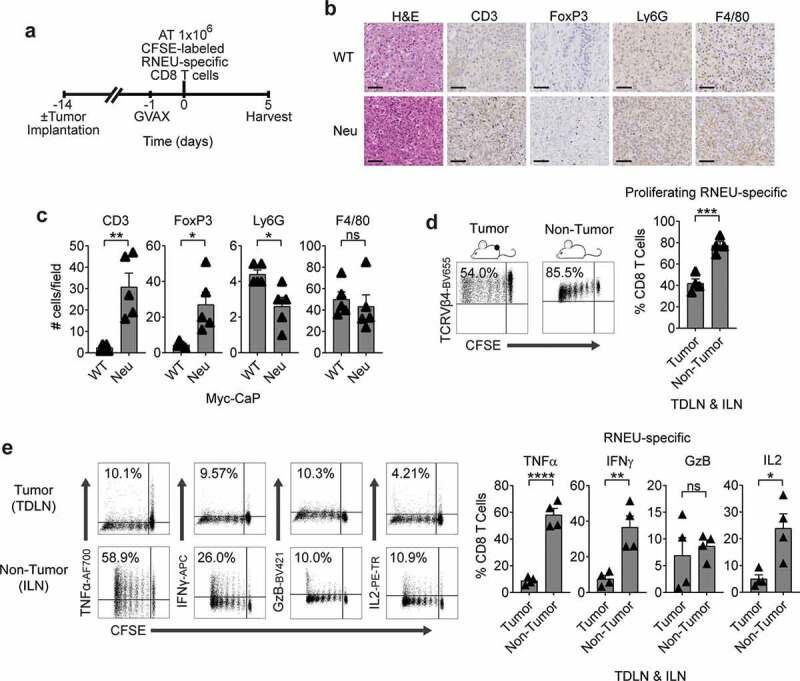
Immunotherapy has shown limited success in prostate cancer; this may be partially explained by its immunosuppressive tumor microenvironment (TME). Although androgen-deprivation therapy (ADT), the most common treatment for prostate cancer, initially promotes a robust T cell infiltrate, T cell responses are later attenuated. Based on the castration-sensitive Myc-CaP model, we developed an antigen-specific system to study CD8 T cell tolerance to prostate tumors. This model is unique in that CD8 T cells recognize a bona-fide tumor antigen (Her-2/neu), rather than an overexpressed xenogenic antigen like chicken ovalbumin or influenza hemagglutinin. Using this novel model, we demonstrate robust tolerance that is not alleviated by TLR agonists or ADT. This model may serve as a novel and useful tool to further interrogate methods by which to augment anti-tumor cancer immune responses to prostate cancer.
Prostate cancer is a leading cause of cancer-related death in men worldwide, with an estimated 33,000 deaths projected in the U.S. in 2020. Although primary (localized) tumors can be cured by surgery or radiation, approximately 40% of patients eventually develop recurrent disease. While initially responsive to androgen-deprivation, many patients with recurrent prostate cancer eventually progress to a more advanced disease state known as metastatic castration-resistant prostate cancer (mCRPC); this is the lethal phenotype. These studies describe a novel androgen-responsive murine cell line that expresses a bona-fide tumor antigen (Her-2/neu). Pre-clinical work with this model shows robust and antigen-specific CD8 T cell tolerance, providing a novel preclinical model to study CD8 T cell tolerance to prostate tumors.
免疫疗法在前列腺癌治疗中的成效有限;这可能部分归因于其具有免疫抑制作用的肿瘤微环境(TME)。尽管雄激素剥夺疗法(ADT)是前列腺癌最常见的治疗方法,最初能促使大量T细胞浸润,但T细胞反应随后会减弱。基于去势敏感的Myc-CaP模型,我们开发了一种抗原特异性系统来研究CD8 T细胞对前列腺肿瘤的耐受性。该模型的独特之处在于,CD8 T细胞识别的是真正的肿瘤抗原(Her-2/neu),而非像鸡卵清蛋白或流感血凝素那样过度表达的异种抗原。利用这个新模型,我们证明了强大的耐受性,且这种耐受性不会因TLR激动剂或ADT而减轻。该模型可作为一种新颖且有用的工具,用于进一步探究增强针对前列腺癌的抗肿瘤免疫反应的方法。
前列腺癌是全球男性癌症相关死亡的主要原因,预计2020年美国将有33000人死亡。尽管原发性(局限性)肿瘤可通过手术或放疗治愈,但约40%的患者最终会出现疾病复发。虽然最初对雄激素剥夺有反应,但许多复发性前列腺癌患者最终会进展为一种更晚期的疾病状态,即转移性去势抵抗性前列腺癌(mCRPC);这是致死性表型。这些研究描述了一种表达真正肿瘤抗原(Her-2/neu)的新型雄激素反应性小鼠细胞系。用该模型进行的临床前研究显示出强大且抗原特异性的CD8 T细胞耐受性,为研究CD8 T细胞对前列腺肿瘤的耐受性提供了一种新的临床前模型。